相关产品推荐更多 >
万千商家帮你免费找货
0 人在求购买到急需产品
- 详细信息
- 文献和实验
- 技术资料
- 免疫原:
A phospho specific peptide corresponding to residues surrounding T11 of human HIST1H3B
- 亚型:
IgG
- 形态:
Liquid
- 保存条件:
Store as concentrated solution. Centrifuge briefly prior to opening vial. For short-term storage (1-2 weeks), store at 4ºC. For long-term storage, aliquot and store at -20ºC or below. Avoid multiple freeze-thaw cycles.
- 克隆性:
Polyclonal
- 标记物:
Unconjugated
- 适应物种:
Human, Mouse, Rat
- 保质期:
12 months from the shipping date of the product.
- 抗原来源:
Human
- 目录编号:
GTX32417
- 级别:
Primary Antibodies
- 库存:
Available
- 供应商:
GeneTex
- 宿主:
Rabbit
- 应用范围:
WB, ICC/IF, IHC-P
- 浓度:
Batch dependent (Please refer to the vial label for the specific concentration.)
- 靶点:
Histone H3T11ph (phospho Thr11)
- 抗体英文名:
Histone H3T11ph (phospho Thr11) antibody
- 抗体名:
Histone H3T11ph (phospho Thr11) 抗体
- 规格:
100 μl
ICC/IF analysis of C6 cells using GTX32417 Histone H3T11ph (phospho Thr11) antibody.
Blue : DAPI
Dilution : 1:100
WB analysis of HeLa, NIH/3T3 and C6 cellls treated by nocodazole (50 ng/mL) at 37ºC for 20 hours using GTX32417 Histone H3T11ph (phospho Thr11) antibody.
Dilution : 1:1000
Loading : 25μg per lane
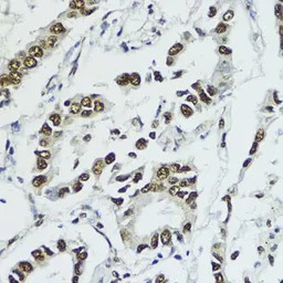
IHC-P analysis of human lung cancer tissue using GTX32417 Histone H3T11ph (phospho Thr11) antibody.
Dilution : 1:100
ICC/IF analysis of U2OS cells using GTX32417 Histone H3T11ph (phospho Thr11) antibody.
Blue : DAPI
Dilution : 1:100
IHC-P analysis of rat testis tissue using GTX32417 Histone H3T11ph (phospho Thr11) antibody.
Dilution : 1:100
ICC/IF analysis of NIH/3T3 cells using GTX32417 Histone H3T11ph (phospho Thr11) antibody.
Blue : DAPI
Dilution : 1:100
IHC-P analysis of mouse testis tissue using GTX32417 Histone H3T11ph (phospho Thr11) antibody.
Dilution : 1:100
WB analysis of HeLa cells, NIH/3T3, and C6 cells treated by Nocodazole (50 ng/mL) at 37ºC for 20 hours using GTX32417 Histone H3T11ph (phospho Thr11) antibody.
Dilution : 1:1000
Loading : 25μg per lane
风险提示:丁香通仅作为第三方平台,为商家信息发布提供平台空间。用户咨询产品时请注意保护个人信息及财产安全,合理判断,谨慎选购商品,商家和用户对交易行为负责。对于医疗器械类产品,请先查证核实企业经营资质和医疗器械产品注册证情况。
文献和实验IMMUNOSCREENING OF LAMBDA-GT11 BACTERIOPHAGE LIBRARIES WITH ANTIBODY PROBES
dishes of lysed E. coli to reduce anti-E. coli antibody background. These antibodies are present in all human sera, rabbit sera, and rodent sera. For each Petri dish containing solidified LB agar, mix 0.6ml of the Y1090 overnight-saturated culture with 30
Antibody Screening of Bacteriophage gt11 DNA Expression Libraries
Much of our current understanding of the molecular details of the activity and interactions of proteins has stemmed from the ability to isolate cDNA encoding these proteins. Computer-based analysis of deduced amino acid sequence allows
Antibody Screening of Bacteriophage gt-11 DNA Expression Libraries
Much of our current understanding of the molecular details of the activity and interactions of proteins has stemmed from the ability to isolate cDNA encoding these proteins. Computer-based analysis of deduced amino acid sequence allows
技术资料暂无技术资料 索取技术资料











