相关产品推荐更多 >
万千商家帮你免费找货
0 人在求购买到急需产品
- 详细信息
- 文献和实验
- 技术资料
- 免疫原:
Purified recombinant fragment of human RAB4A expressed in E. Coli.
- 亚型:
IgG1
- 形态:
Liquid
- 保存条件:
Store as concentrated solution. Centrifuge briefly prior to opening vial. For short-term storage (1-2 weeks), store at 4ºC. For long-term storage, aliquot and store at -20ºC or below. Avoid multiple freeze-thaw cycles.
- 克隆性:
Monoclonal
- 标记物:
Unconjugated
- 适应物种:
Human, Mouse
- 保质期:
12 months from the shipping date of the product.
- 抗原来源:
Human
- 目录编号:
GTX60601
- 级别:
Primary Antibodies
- 库存:
Available
- 供应商:
GeneTex
- 宿主:
Mouse
- 应用范围:
WB, IHC-P, FACS, ELISA
- 浓度:
1 mg/ml (Please refer to the vial label for the specific concentration.)
- 靶点:
RAB4A
- 抗体英文名:
RAB4A antibody [4E11]
- 抗体名:
RAB4A 抗体 [4E11]
- 规格:
100 μg
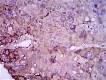
IHC-P analysis of liver cancer tissue using GTX60601 RAB4A antibody [4E11].
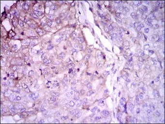
IHC-P analysis of lung cancer tissue using GTX60601 RAB4A antibody [4E11].
FACS analysis of MCF-7 cells using GTX60601 RAB4A antibody [4E11].
Green : RAB4A
Red : negative control
ELISA analysis of antigen using GTX60601 RAB4A antibody [4E11].
Black : Control antigen 100ng
Purple : Antigen 10ng
Blue : Antigen 50ng
Red : Antigen 100ng
WB analysis of Jurkat (1), HeLa (2), A549 (3), HEK293 (4), K562 (5), NIH3T3 (6), PC-12 (7), and COS7 (8) cell lysate using GTX60601 RAB4A antibody [4E11].
WB analysis of human RAB4A (AA: 22-218) recombinant protein using GTX60601 RAB4A antibody [4E11].
风险提示:丁香通仅作为第三方平台,为商家信息发布提供平台空间。用户咨询产品时请注意保护个人信息及财产安全,合理判断,谨慎选购商品,商家和用户对交易行为负责。对于医疗器械类产品,请先查证核实企业经营资质和医疗器械产品注册证情况。
文献和实验Hematopoietic Stem Cell Enrichment From the AGM Region of the Mouse Embryo
in the intraembryonic aorta-gonad-mesonephros region at embryonic day (E) 10.5. After E11, these HSCs are thought to seed the liver and then the bone marrow just before birth. So far, many questions concerning the origin, properties, and functionality of these HSCs
Wholemount in situ hybridisation
. Each batch should ideally be tested. As a rough guide, use 5 min for E7.5, 7 min for E8.5, 9 min for E9.5, 11 min for E10.5, 12-14 min for E11.5. 8 Wash twice with PBTX for 5 minutes each. Be careful - the embryos are fragile
技术资料暂无技术资料 索取技术资料





![CYP17A1 antibody [6E1-H9-F6]](https://img1.dxycdn.com/2022/0329/773/7559745018194020453-14.jpg!wh200)
![beta 2 Microglobulin antibody [236-12301 (B2M-01)]](https://img1.dxycdn.com/2022/0328/607/8113715654948300453-14.jpg!wh200)

![Nkx2.2 antibody [NX2/294]](https://img1.dxycdn.com/2022/0328/112/7709297106660700453-14.jpg!wh200)


