相关产品推荐更多 >
万千商家帮你免费找货
0 人在求购买到急需产品
- 详细信息
- 文献和实验
- 技术资料
- 免疫原:
Recombinant human TYR protein
- 亚型:
IgG2a
- 形态:
Liquid
- 保存条件:
Store as concentrated solution. Centrifuge briefly prior to opening vial. For short-term storage (1-2 weeks), store at 4ºC. For long-term storage, aliquot and store at -20ºC or below. Avoid multiple freeze-thaw cycles.
- 克隆性:
Monoclonal
- 标记物:
Unconjugated
- 适应物种:
Human
- 保质期:
12 months from the shipping date of the product.
- 抗原来源:
Human
- 目录编号:
GTX35153
- 级别:
Primary Antibodies
- 库存:
Available
- 供应商:
GeneTex
- 宿主:
Mouse
- 应用范围:
ICC/IF, IHC-P, FACS, ELISA
- 浓度:
0.2 mg/ml (Please refer to the vial label for the specific concentration.)
- 靶点:
Recognizes a cluster of proteins between 70-80kDa, identified as tyrosinase. Occasionally a minor band at 55kDa is also detected. This MAb shows no cross-reaction with MAGE-1 and tyrosinase-related protein 1, TRP-1/gp75.
- 抗体英文名:
Tyrosinase antibody [OCA1/812]
- 抗体名:
Tyrosinase 抗体 [OCA1/812]
- 规格:
100 μg
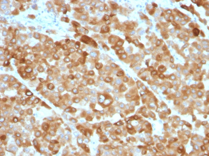
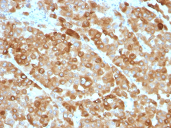
IHC-P analysis of melanoma tissue using GTX35153 Tyrosinase antibody [OCA1/812].
风险提示:丁香通仅作为第三方平台,为商家信息发布提供平台空间。用户咨询产品时请注意保护个人信息及财产安全,合理判断,谨慎选购商品,商家和用户对交易行为负责。对于医疗器械类产品,请先查证核实企业经营资质和医疗器械产品注册证情况。
文献和实验Methods for the Preparation of Electrochemical Composite Biosensors Based on Gold Nanoparticles
electrode matrices are highlighted, giving rise to bioelectrodes with improved analytical performance in terms of stability and sensitivity with respect to other biosensor designs. Three different biosensors have been considered: a tyrosinase biosensor
Whole-mount in situ hybridization for the detection of RNA in C. elegans embryos
(Boehringer Mannheim Cat# 604 205, 812 854)- Triton X-100 (Sigma Cat# X-100) - X-phosphate: 5-Bromo-4-chloro-3-indolyl-phosphate. (Boehringer Mannheim Cat# 1383 221) B. Stock solutions DEPC treatment of solutions is not needed. Solutions are stored
Encapsulation of Cardiomyocytes in a Fibrin Hydrogel for Cardiac Tissue Engineering
autoclave bag Fisher 01-812-54 Isolation gauze pad Fisher Scientific 13-761-52
技术资料暂无技术资料 索取技术资料





![Melan A antibody [MLANA/1761R]](https://img1.dxycdn.com/2022/0328/266/1565524872280700453-14.jpg!wh200)

![Transgelin antibody [SPM606]](https://img1.dxycdn.com/2022/0328/823/4560485939321700453-14.jpg!wh200)

![DOM3Z antibody [N1C1]](https://img1.dxycdn.com/2022/0328/759/6555287811039200453-14.jpg!wh200)

