相关产品推荐更多 >
万千商家帮你免费找货
0 人在求购买到急需产品
- 详细信息
- 文献和实验
- 技术资料
- 免疫原:
The immunogen used to generate this antibody corresponds to 5-HydroxymethylCytosine / 5-hmC
- 亚型:
IgG2b
- 形态:
Liquid
- 保存条件:
Store as concentrated solution. Centrifuge briefly prior to opening vial. For short-term storage (1-2 weeks), store at 4ºC. For long-term storage, aliquot and store at -20ºC or below. Avoid multiple freeze-thaw cycles.
- 克隆性:
Monoclonal
- 标记物:
Unconjugated
- 适应物种:
Species independent
- 保质期:
12 months from the shipping date of the product.
- 目录编号:
GTX629765
- 级别:
Primary Antibodies
- 库存:
Available
- 供应商:
GeneTex
- 宿主:
Mouse
- 应用范围:
IHC-P, IHC-Fr, Dot, EM, MeDIP
- 浓度:
0.81 mg/ml (Please refer to the vial label for the specific concentration.)
- 靶点:
5-Hydroxymethylcytosine / 5-hmC
- 抗体英文名:
5-Hydroxymethylcytosine / 5-hmC antibody [GT13612]
- 抗体名:
5-Hydroxymethylcytosine / 5-hmC 抗体 [GT13612]
- 规格:
100 μl/25 μl
| 规格: | 100 μl | 产品价格: | ¥4000.0 |
|---|---|---|---|
| 规格: | 25 μl | 产品价格: | ¥1700.0 |
GTX629765 5-HydroxymethylCytidine antibody [GT13612] in MeDIP experiment.
Human genomic DNA (500 ng) mixed with methylated cytosine standard kit (GTX400004) were subjected to MeDIP with 5-HydroxymethylCytidine antibody [GT13612] (GTX629765) at dilution of 1:500 and analyzed with semi-quantitative PCR. The immunoprecipitated DNA was plotted as % of input DNA.
5-HydroxymethylCytidine antibody [GT13612] detects 5-HydroxymethylCytidine protein at nucleus on mouse testis by immunohistochemical analysis.
Sample: Paraffin-embedded mouse testis.
5-HydroxymethylCytidine antibody [GT13612] (GTX629765) dilution: 1:100.
Antigen Retrieval: Trilogy™ (EDTA based, pH 8.0) buffer, 15min
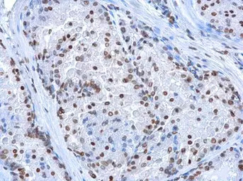
5-HydroxymethylCytidine antibody [GT13612] detects 5-HydroxymethylCytidine protein at nucleus on mouse prostate by immunohistochemical analysis.
Sample: Paraffin-embedded mouse prostate.
5-HydroxymethylCytidine antibody [GT13612] (GTX629765) dilution: 1:100.
Antigen Retrieval: Trilogy™ (EDTA based, pH 8.0) buffer, 15min
GTX629765 5-hydroxymethylcytosine antibody [GT13612] Dot blot analysis of anti-5-hmC antibody with the synthetic DNA controls (GTX400004). DNA samples (0.5 to 50 ng as indicated) were spotted onto the positively charged Nylon membrane and blotted with 5-hmC antibody (GTX629765) at a dilution of 1:500. A: Unmethylated DNA fragment B: DNA fragment containing 5-methylcytosine C: DNA fragment containing 5-hydroxymethylcytosine D: DNA fragment containing 5-formylcytosine E: DNA fragment containing 5-carboxylcytosine
5-HydroxymethylCytidine antibody [GT13612] detects 5-HydroxymethylCytidine protein at nucleus on mouse testis by immunohistochemical analysis.
Sample: Paraffin-embedded mouse testis.
5-HydroxymethylCytidine antibody [GT13612] (GTX629765) dilution: 1:100.
Antigen Retrieval: Trilogy™ (EDTA based, pH 8.0) buffer, 15min
风险提示:丁香通仅作为第三方平台,为商家信息发布提供平台空间。用户咨询产品时请注意保护个人信息及财产安全,合理判断,谨慎选购商品,商家和用户对交易行为负责。对于医疗器械类产品,请先查证核实企业经营资质和医疗器械产品注册证情况。
文献和实验Huang R et al., Ann Transl Med 2020 (PMID:32355773)
Wu J et al., J Exp Clin Cancer Res 2019 (PMID:31399111)
Yatagai N et al., Virchows Arch 2019 (PMID:30554333)
Sun J et al., Cell Stem Cell 2018 (PMID:30146412)
Cesar S.Huertas et al., Biosensors and Bioelectronics 2018 120()
Hsieh MC et al., J Pineal Res 2017 (PMID:28718992)
Hsieh MC et al., Sci Rep 2016 (PMID:27857218)
Southern Blotting(Fred Hutchinson Cancer Research Cente
with Blot Wash #1: 2 x 5' at room temp (RT). 3. Wash with Blot Wash #2: 2 x 15' at 55℃. 4. Wash with Buffer 1: briefly (1') at RT. 5. (Optional; see above) Block with Buffer 2: 30' (O/N okay) Save and store at 4℃. 6. Incubate with antibody-conjugate
Phage‐Based Expression Cloning to Identify Interacting Proteins
the interacting protein. This technique leads directly to the isolation of a cDNA encoding the interacting protein, bypassing the need for labor?intensive protein purification, microsequencing, or antibody production.
( min X….Mouse, Rat Sr Prot )。 以下是圆括号中所使用的一些简称: Bov = Bovine Ck = Chicken Gt = Goat GP = Guinea Pig Sy Hms = Syrian Hamster Hrs = Horse Hu = Human Ms = Mouse Rb = Rabbit Shp
技术资料暂无技术资料 索取技术资料






![Neurotrophin 4 antibody [31A1]](https://img1.dxycdn.com/2022/0328/938/0795621945689400453-14.jpg!wh200)




