相关产品推荐更多 >
万千商家帮你免费找货
0 人在求购买到急需产品
- 详细信息
- 文献和实验
- 技术资料
- 免疫原:
Pigmented melanoma metastases from lymph nodes (HMB45). Recombinant human MART-1 protein (A103). Recombinant tyrosinase protein T311.
- 亚型:
IgG1|IgG2a
- 形态:
Liquid
- 保存条件:
Store as concentrated solution. Centrifuge briefly prior to opening vial. Store at 4℃.
- 克隆性:
Monoclonal
- 标记物:
Unconjugated
- 适应物种:
Human
- 保质期:
12 months from the shipping date of the product.
- 抗原来源:
Human
- 目录编号:
GTX14203
- 级别:
Primary Antibodies
- 库存:
Available
- 供应商:
GeneTex
- 宿主:
Mouse
- 应用范围:
IHC-P
- 浓度:
Batch dependent (Please refer to the vial label for the specific concentration.)
- 靶点:
Melanoma
- 抗体英文名:
Melanoma antibody [HMB45+A103+T311]
- 抗体名:
Melanoma 抗体 [HMB45+A103+T311]
- 规格:
200 μl
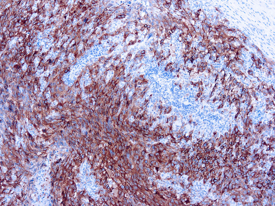
IHC-P analysis of human metastatic melanoma in lymph node tissue using GTX14203 Melanoma antibody [HMB45+A103+T311].
风险提示:丁香通仅作为第三方平台,为商家信息发布提供平台空间。用户咨询产品时请注意保护个人信息及财产安全,合理判断,谨慎选购商品,商家和用户对交易行为负责。对于医疗器械类产品,请先查证核实企业经营资质和医疗器械产品注册证情况。
文献和实验Detection of Chondroitin Sulfate Proteoglycan 4 (CSPG4) in Melanoma
The tumor antigen chondroitin sulfate proteoglycan 4 (CSPG4) appears to be a useful biomarker to identify melanoma cells and an attractive target to apply antibody-based immunotherapy for the treatment of melanoma. Here we described
Isolation of Melanoma Cell Subpopulations Using Negative Selection
are highly important to develop novel targeted therapies. However, this can be a challenging task as there is a lack of clearly defined markers to distinguish the melanoma subpopulations from a general tumor cell population. Also, there is a lack of optimal
【翻译】Development trends for monoclonal antibody cancer therapeutics
). However, since 2000, humanized and human mAbs have been entering clinical study at approximately the same rate (4.3 versus 4.5 mAbs per year, respectively). Figure 1 | Categories of monoclonal antibody cancer therapeutics entering clinical study during 1980–1989
技术资料暂无技术资料 索取技术资料







![beta Tubulin 3/ Tuj1 antibody [SDL.3D10]](https://img1.dxycdn.com/2022/0328/739/3304268614579700453-14.jpg!wh200)


