相关产品推荐更多 >
万千商家帮你免费找货
0 人在求购买到急需产品
- 详细信息
- 文献和实验
- 技术资料
- 免疫原:
Bovine Rhodopsin
- 亚型:
IgG1
- 形态:
Liquid
- 保存条件:
Store as concentrated solution. Centrifuge briefly prior to opening vial. For short-term storage (1-2 weeks), store at 4ºC. For long-term storage, aliquot and store at -20ºC or below. Avoid multiple freeze-thaw cycles.
- 克隆性:
Monoclonal
- 标记物:
Biotin
- 适应物种:
Human, Mouse, Rat, Bovine
- 保质期:
12 months from the shipping date of the product.
- 抗原来源:
Bovine
- 目录编号:
GTX18143
- 级别:
Primary Antibodies
- 库存:
Available
- 供应商:
GeneTex
- 宿主:
Mouse
- 应用范围:
WB, ICC/IF, IHC-P, IP, ELISA
- 浓度:
1 mg/ml (Please refer to the vial label for the specific concentration.)
- 靶点:
Detects ~40kDa. Binds specifically to the N-terminus of Rhodopsin. Does not detect Rhodopsin in invertebrates.
- 抗体英文名:
Rhodopsin antibody [1D4] (Biotin)
- 抗体名:
Rhodopsin 抗体 [1D4] (Biotin)
- 规格:
100 μg
WB analysis of human cell lysates using GTX18143 Rhodopsin antibody [1D4] (Biotin).
Loading : 15 μg
Dilution : 1:1000
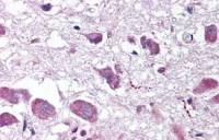
IHC-P analysis mouse backskin tissue using GTX18143 Rhodopsin antibody [1D4] (Biotin).
Fixation : Bouin’s Fixative
Dilution : 1:100
风险提示:丁香通仅作为第三方平台,为商家信息发布提供平台空间。用户咨询产品时请注意保护个人信息及财产安全,合理判断,谨慎选购商品,商家和用户对交易行为负责。对于医疗器械类产品,请先查证核实企业经营资质和医疗器械产品注册证情况。
文献和实验Tse LV et al., Proc Natl Acad Sci U S A 2022 (PMID:35476513)
技术资料暂无技术资料 索取技术资料


![Rhodopsin antibody [1D4] (Biotin)](https://img1.dxycdn.com/2022/0328/137/1875517274271700453-14.jpg)




![C1qBP antibody [04]](https://img1.dxycdn.com/2022/0328/974/2345783521048700453-14.png!wh200)
![Rab25 antibody [3F12F3]](https://img1.dxycdn.com/2022/0328/895/6907666125967500453-14.jpg!wh200)
![Histone H4S1ph (phospho Ser1) antibody [RM194]](https://img1.dxycdn.com/2022/0329/024/9066978000745020453-14.jpg!wh200)
