相关产品推荐更多 >
万千商家帮你免费找货
0 人在求购买到急需产品
- 详细信息
- 文献和实验
- 技术资料
- 免疫原:
Recombinant prokaryotic protein corresponding to an external region of the C-terminus of the perforin molecule.
- 亚型:
IgG1
- 形态:
Liquid
- 保存条件:
Store as concentrated solution. Centrifuge briefly prior to opening vial. Store at 4ºC. DO NOT FREEZE.
- 克隆性:
Monoclonal
- 标记物:
Unconjugated
- 适应物种:
Human
- 保质期:
12 months from the shipping date of the product.
- 抗原来源:
Human
- 目录编号:
GTX01949
- 级别:
Primary Antibodies
- 库存:
Available
- 供应商:
GeneTex
- 宿主:
Mouse
- 应用范围:
IHC-P
- 浓度:
>40 μg/ml (Please refer to the vial label for the specific concentration.)
- 靶点:
This antibofy shows cross-reactivity with smooth muscle and differentiated epithelium.
- 抗体英文名:
Perforin antibody [5B10]
- 抗体名:
Perforin 抗体 [5B10]
- 规格:
500 μl
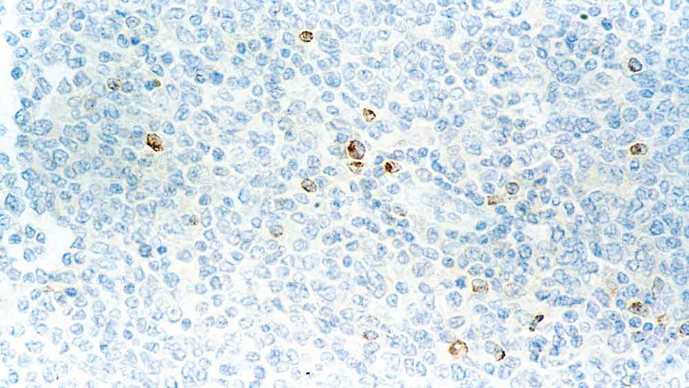
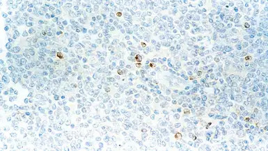
IHC-P analysis of human follicular lymphoma using GTX01949 Perforin antibody [5B10]. Note focal granular staining of occasional cytotoxic T lymphocytes.
风险提示:丁香通仅作为第三方平台,为商家信息发布提供平台空间。用户咨询产品时请注意保护个人信息及财产安全,合理判断,谨慎选购商品,商家和用户对交易行为负责。对于医疗器械类产品,请先查证核实企业经营资质和医疗器械产品注册证情况。
文献和实验上海西唐生物科技有限公司 021-55229872, 65333639 www.westang.com 人穿孔素 (Perforin)ELISA 试剂盒 ( 用于血清、血浆、细胞培养上清液和其它生物体液内 ) 原理 本实验采用双抗体夹心 ABC-ELISA 法。用抗人 Perforin 单抗包被于酶标板上,标准品和样品中的 Perforin与单抗结合,加入生物素化的抗人
上海西唐生物科技有限公司 021-55229872, 65333639 www.westang.com 大鼠穿孔素 (Perforin)ELISA 试剂盒 ( 用于血清、血浆、细胞培养上清液和其它生物体液内 ) 原理 本实验采用双抗体夹心 ABC-ELISA 法。用抗大鼠 Perforin 单抗包被于酶标板上,标准品和样品中的 Perforin 与单抗结合,加入生物素化的抗大鼠 Perforin
上海西唐生物科技有限公司 021-55229872, 65333639 www.westang.com 小鼠穿孔素 (Perforin)ELISA 试剂盒 ( 用于血清、血浆、细胞培养上清液和其它生物体液内 ) 原理 本实验采用双抗体夹心 ABC-ELISA 法。用抗小鼠 Perforin 单抗包被于酶标板上,标准品和样品中的 Perforin与单抗结合,加入生物
技术资料暂无技术资料 索取技术资料







![CXCL16 antibody [GT5212]](https://img1.dxycdn.com/2022/0329/397/3297001497616020453-14.jpg!wh200)
![Desmin antibody [DE-R-11]](https://img1.dxycdn.com/2022/0328/387/8858762478987700453-14.jpg!wh200)


