相关产品推荐更多 >
万千商家帮你免费找货
0 人在求购买到急需产品
- 详细信息
- 文献和实验
- 技术资料
- 免疫原:
Amino acids 409-425 (LQNNLSPKTKGTPVHLG) of human TEM7 were used to develop this monoclonal antibody.
- 亚型:
IgG1
- 形态:
Liquid
- 保存条件:
Store as concentrated solution. Centrifuge briefly prior to opening vial. For short-term storage (1-2 weeks), store at 4ºC. For long-term storage, aliquot and store at -20ºC or below. Avoid multiple freeze-thaw cycles.
- 克隆性:
Monoclonal
- 标记物:
Unconjugated
- 适应物种:
Human, Mouse, Rat
- 保质期:
12 months from the shipping date of the product.
- 抗原来源:
Human
- 目录编号:
GTX13667
- 级别:
Primary Antibodies
- 库存:
Available
- 供应商:
GeneTex
- 宿主:
Mouse
- 应用范围:
WB, ICC/IF, IHC-P, IHC-Fr, IP
- 浓度:
0.5 mg/ml (Please refer to the vial label for the specific concentration.)
- 靶点:
TEM7
- 抗体英文名:
TEM7 antibody [197C193(IM193)]
- 抗体名:
TEM7 抗体 [197C193(IM193)]
- 规格:
100 μg
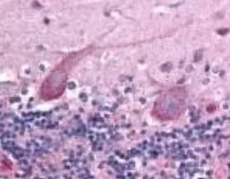
IHC-P analysis of human cerebellum (purkinje neuron) tissue using GTX13667 TEM7 antibody [197C193(IM193)].
Dilution : 2.5 μg/ml
IHC-P analysis of human breast tissue using GTX13667 TEM7 antibody [197C193(IM193)].
Dilution : 5 μg/ml
WB analysis of HCT116 cell lysate using GTX13667 TEM7 antibody [197C193(IM193)].
Dilution : 1 μg/ml
WB analysis of human breast carcinoma tissue (in RIPA buffer) using GTX13667 TEM7 antibody [197C193(IM193)].
Loading : 35μg
Dilution : 0.03 μg/ml
风险提示:丁香通仅作为第三方平台,为商家信息发布提供平台空间。用户咨询产品时请注意保护个人信息及财产安全,合理判断,谨慎选购商品,商家和用户对交易行为负责。对于医疗器械类产品,请先查证核实企业经营资质和医疗器械产品注册证情况。
文献和实验【分享】Methods in Molecular Medicine and biology的几本好书
Vol.192 - PCR Cloning Protocols.pdf Vol.193 - RT-PCR Protocols.pdf Vol.196 - Oxidants And Antioxidants, Ultrastructure And Molecular Biology Protocols.pdf Vol.197 - Mitochondrial DNA.pdf Vol.200 - DNA Methylation Protocols.pdf Vol.205 - E.Coli
Preparation and Staining of Paraffin Sections
in 3% H2 O2 solution in methanol for 10 minutes. Rinse in PBS 2X for 5 minutes each time. If the antibody staining requires antigen retrieval to unmask the antigenic epitope refer below to section C. If antigen retrieval is not required
Labelling Drosophila pupae with BrdU
Labelling Drosophila pupae with BrdU ITO Kei, 1992 October COLLECTING STAGED PUPAE 1. Prepare a couple of bottles containing late 3rd instar larvae, which wander on the botlle wall (110-120 hours after egg laying at 25 C
技术资料暂无技术资料 索取技术资料






![CD45 antibody [MEM-28]](https://img1.dxycdn.com/2022/0328/843/5332509002920400453-14.jpg!wh200)

![IZUMO1 antibody [#125]](https://img1.dxycdn.com/2022/0328/293/8220713982717700453-14.jpg!wh200)


