相关产品推荐更多 >
万千商家帮你免费找货
0 人在求购买到急需产品
- 详细信息
- 技术资料
- 免疫原:
Amino acids 409-425 (LQNNLSPKTKGTPVHLG) of human TEM7 were used to develop this monoclonal antibody.
- 亚型:
IgG1
- 形态:
Liquid
- 保存条件:
Store as concentrated solution. Centrifuge briefly prior to opening vial. For short-term storage (1-2 weeks), store at 4ºC. For long-term storage, aliquot and store at -20ºC or below. Avoid multiple freeze-thaw cycles.
- 克隆性:
Monoclonal
- 标记物:
Unconjugated
- 适应物种:
Human, Mouse, Rat
- 保质期:
12 months from the shipping date of the product.
- 抗原来源:
Human
- 目录编号:
GTX13667
- 级别:
Primary Antibodies
- 库存:
Available
- 供应商:
GeneTex
- 宿主:
Mouse
- 应用范围:
WB, ICC/IF, IHC-P, IHC-Fr, IP
- 浓度:
0.5 mg/ml (Please refer to the vial label for the specific concentration.)
- 靶点:
TEM7
- 抗体英文名:
TEM7 antibody [197C193(IM193)]
- 抗体名:
TEM7 抗体 [197C193(IM193)]
- 规格:
100 μg
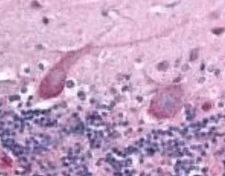
IHC-P analysis of human cerebellum (purkinje neuron) tissue using GTX13667 TEM7 antibody [197C193(IM193)].
Dilution : 2.5 μg/ml
IHC-P analysis of human breast tissue using GTX13667 TEM7 antibody [197C193(IM193)].
Dilution : 5 μg/ml
WB analysis of HCT116 cell lysate using GTX13667 TEM7 antibody [197C193(IM193)].
Dilution : 1 μg/ml
WB analysis of human breast carcinoma tissue (in RIPA buffer) using GTX13667 TEM7 antibody [197C193(IM193)].
Loading : 35μg
Dilution : 0.03 μg/ml
风险提示:丁香通仅作为第三方平台,为商家信息发布提供平台空间。用户咨询产品时请注意保护个人信息及财产安全,合理判断,谨慎选购商品,商家和用户对交易行为负责。对于医疗器械类产品,请先查证核实企业经营资质和医疗器械产品注册证情况。
技术资料暂无技术资料 索取技术资料


![TEM7 antibody [197C193(IM193)]](https://img1.dxycdn.com/2023/0711/451/6106825198874858761-14.jpg)


![CXCL8 / IL8 antibody [I8-60]](https://img1.dxycdn.com/2023/0711/451/6106825198874858761-14.jpg!wh200)

