相关产品推荐更多 >
万千商家帮你免费找货
0 人在求购买到急需产品
- 详细信息
- 技术资料
- 免疫原:
A bacterially expressed fusion protein containing amino acid residues 1-317 of mouse TRANCE was used as immunogen.
- 亚型:
IgG1
- 形态:
Liquid
- 保存条件:
Store as concentrated solution. Centrifuge briefly prior to opening vial. For short-term storage (1-2 weeks), store at 4ºC. For long-term storage, aliquot and store at -20ºC or below. Avoid multiple freeze-thaw cycles.
- 克隆性:
Monoclonal
- 标记物:
Unconjugated
- 适应物种:
Human, Mouse
- 保质期:
12 months from the shipping date of the product.
- 抗原来源:
Mouse
- 目录编号:
GTX12125
- 级别:
Primary Antibodies
- 库存:
Available
- 供应商:
GeneTex
- 宿主:
Mouse
- 应用范围:
WB, IHC-P, IHC-Fr, FACS
- 浓度:
0.5 mg/ml (Please refer to the vial label for the specific concentration.)
- 靶点:
sRANKL
- 抗体英文名:
sRANKL antibody [12A380]
- 抗体名:
sRANKL 抗体 [12A380]
- 规格:
50 μg
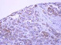
IHC-P analysis of human tonsil tissue using GTX12125 sRANKL antibody [12A380].
Dilution : 1:50
Antigen retrieval : Heat induced antigen retrieval (HIER) using 10mM sodium citrate buffer (pH 6.0)
FACS analysis of mouse splenocytes using GTX12125 sRANKL antibody [12A380].
Green : untreated mouse splenocytes
Red : 72 hour ConA-stimulated mouse splenocytes
Antibody amount : 1μg
FACS analysis of RAW264.7 cells using GTX12125 sRANKL antibody [12A380].
Purple : Primary antibody
Green : isotype control
Shaded histogram : cell only
Antibody amount : 2μg
WB analysis of recombinant sRANKL (partial) protien using GTX12125 sRANKL antibody [12A380].
Dilution : 1 μg/ml
风险提示:丁香通仅作为第三方平台,为商家信息发布提供平台空间。用户咨询产品时请注意保护个人信息及财产安全,合理判断,谨慎选购商品,商家和用户对交易行为负责。对于医疗器械类产品,请先查证核实企业经营资质和医疗器械产品注册证情况。
技术资料暂无技术资料 索取技术资料


![sRANKL antibody [12A380]](https://img1.dxycdn.com/2022/0328/039/2182505109293300453-14.jpg)


![PD-L1 antibody [MSVA-711R] HistoMAX](https://custom.dxycdn.com/trademd/upload/pic/2013/11/12/A1383891150.jpg!small.t.1)
![Nesprin 2 antibody [C3], C-term](https://img1.dxycdn.com/2022/0328/269/6158343673414300453-14.jpg!wh200)



