相关产品推荐更多 >
万千商家帮你免费找货
0 人在求购买到急需产品
- 详细信息
- 技术资料
- 免疫原:
A bacterially expressed fusion protein containing amino acid residues 1-317 of mouse TRANCE was used as immunogen.
- 亚型:
IgG1
- 形态:
Liquid
- 保存条件:
Store as concentrated solution. Centrifuge briefly prior to opening vial. For short-term storage (1-2 weeks), store at 4ºC. For long-term storage, aliquot and store at -20ºC or below. Avoid multiple freeze-thaw cycles.
- 克隆性:
Monoclonal
- 标记物:
Unconjugated
- 适应物种:
Human, Mouse, Rat
- 保质期:
12 months from the shipping date of the product.
- 抗原来源:
Mouse
- 目录编号:
GTX13582
- 级别:
Primary Antibodies
- 库存:
Available
- 供应商:
GeneTex
- 宿主:
Mouse
- 应用范围:
WB, ICC/IF, IHC-P, FACS, ChIP assay
- 浓度:
1 mg/ml (Please refer to the vial label for the specific concentration.)
- 靶点:
sRANKL
- 抗体英文名:
sRANKL antibody [12A668]
- 抗体名:
sRANKL 抗体 [12A668]
- 规格:
100 μg
ICC/IF analysis of mouse splenocytes using GTX13582 sRANKL antibody [12A668].
Red : primary antibody
Blue : DAPI
Dilution : 20 μg/mL
WB analysis of human lymph node tissue lysate (in RIPA buffer) using GTX13582 sRANKL antibody [12A668].
Loading : 35μg
Dilution : 0.5 μg/ml
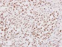
IHC-P analysis of human lymph node tissue using GTX13582 sRANKL antibody [12A668].
Dilution : 5 μg/ml
Antigen retrieval : 10 mM sodium citrate buffer, pH 6.0
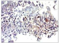
IHC-P analysis of human liver tissue using GTX13582 sRANKL antibody [12A668].
Dilution : 1 μg/ml
风险提示:丁香通仅作为第三方平台,为商家信息发布提供平台空间。用户咨询产品时请注意保护个人信息及财产安全,合理判断,谨慎选购商品,商家和用户对交易行为负责。对于医疗器械类产品,请先查证核实企业经营资质和医疗器械产品注册证情况。
技术资料暂无技术资料 索取技术资料


![sRANKL antibody [12A668]](https://img1.dxycdn.com/2022/0329/726/3500796043604020453-14.jpg)







