相关产品推荐更多 >
万千商家帮你免费找货
0 人在求购买到急需产品
- 详细信息
- 文献和实验
- 技术资料
- 免疫原:
Recombinant protein encompassing a sequence within the center region of human RPRD1B. The exact sequence is proprietary.
- 亚型:
IgG
- 形态:
Liquid
- 保存条件:
Store as concentrated solution. Centrifuge briefly prior to opening vial. For short-term storage (1-2 weeks), store at 4ºC. For long-term storage, aliquot and store at -20ºC or below. Avoid multiple freeze-thaw cycles.
- 克隆性:
Polyclonal
- 标记物:
Unconjugated
- 适应物种:
Human, Mouse
- 保质期:
12 months from the shipping date of the product.
- 抗原来源:
Human
- 目录编号:
GTX119969
- 级别:
Primary Antibodies
- 库存:
Available
- 供应商:
GeneTex
- 宿主:
Rabbit
- 应用范围:
WB, ICC/IF, IHC-P
- 浓度:
1 mg/ml (Please refer to the vial label for the specific concentration.)
- 靶点:
RPRD1B
- 抗体英文名:
RPRD1B antibody
- 抗体名:
RPRD1B 抗体
- 规格:
100 μl/25 μl
| 规格: | 100 μl | 产品价格: | ¥4000.0 |
|---|---|---|---|
| 规格: | 25 μl | 产品价格: | ¥1700.0 |
Sample (30 μg of whole cell lysate)
A: 293T
B: HeLa
C: HepG2
10% SDS PAGE
GTX119969 diluted at 1:1000
The HRP-conjugated anti-rabbit IgG antibody (GTX213110-01) was used to detect the primary antibody.
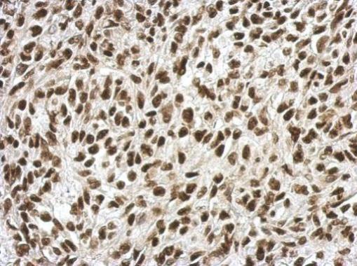
Immunohistochemical analysis of paraffin-embedded SkHep1 xenograft, using RPRD1B(GTX119969) antibody at 1:500 dilution.
Antigen Retrieval: Trilogy™ (EDTA based, pH 8.0) buffer, 15min
RPRD1B antibody detects RPRD1B protein at nucleus by immunofluorescent analysis.
Sample: HeLa cells were fixed in 4% PFA at RT for 15 min.
Green: RPRD1B protein stained by RPRD1B antibody (GTX119969) diluted at 1:500.
Blue: Hoechst 33342 staining.
RPRD1B antibody detects RPRD1B protein at cytoplasm and nucleus in mouse cervix by immunohistochemical analysis.
Sample: Paraffin-embedded mouse cervix.
RPRD1B antibody (GTX119969) diluted at 1:500.
Antigen Retrieval: Trilogy™ (EDTA based, pH 8.0) buffer, 15min
Immunohistochemical analysis of paraffin-embedded C2C12 xenograft, using RPRD1B(GTX119969) antibody at 1:500 dilution.
Antigen Retrieval: Trilogy™ (EDTA based, pH 8.0) buffer, 15min
风险提示:丁香通仅作为第三方平台,为商家信息发布提供平台空间。用户咨询产品时请注意保护个人信息及财产安全,合理判断,谨慎选购商品,商家和用户对交易行为负责。对于医疗器械类产品,请先查证核实企业经营资质和医疗器械产品注册证情况。
文献和实验Liu T et al., Am J Transl Res 2016 (PMID:27347318)
Wen N et al., J Int Med Res 2020 (PMID:31939329)
Bai J et al., Oncol Lett 2019 (PMID:31516587)
Jinping Bai et al., Oncology Letters 2019 (Epub)
Zheng G et al., Biochem Biophys Res Commun 2016 (PMID:27773816)
技术资料暂无技术资料 索取技术资料










