相关产品推荐更多 >
万千商家帮你免费找货
0 人在求购买到急需产品
- 详细信息
- 文献和实验
- 技术资料
- 免疫原:
Recombinant protein encompassing a sequence within the center region of human NFYB. The exact sequence is proprietary.
- 亚型:
IgG
- 形态:
Liquid
- 保存条件:
Store as concentrated solution. Centrifuge briefly prior to opening vial. For short-term storage (1-2 weeks), store at 4ºC. For long-term storage, aliquot and store at -20ºC or below. Avoid multiple freeze-thaw cycles.
- 克隆性:
Polyclonal
- 标记物:
Unconjugated
- 适应物种:
Human, Mouse
- 保质期:
12 months from the shipping date of the product.
- 抗原来源:
Human
- 目录编号:
GTX114585
- 级别:
Primary Antibodies
- 库存:
Available
- 供应商:
GeneTex
- 宿主:
Rabbit
- 应用范围:
WB, ICC/IF, IHC-P
- 浓度:
0.3 mg/ml (Please refer to the vial label for the specific concentration.)
- 靶点:
NFYB
- 抗体英文名:
NFYB antibody [N1C3-2]
- 抗体名:
NFYB 抗体 [N1C3-2]
- 规格:
100 μl/25 μl
| 规格: | 100 μl | 产品价格: | ¥4000.0 |
|---|---|---|---|
| 规格: | 25 μl | 产品价格: | ¥1700.0 |
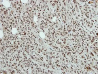
NFYB antibody [N1C3-2] detects NFYB protein at nucleus in mouse liver by immunohistochemical analysis.
Sample: Paraffin-embedded mouse liver.
NFYB antibody [N1C3-2] (GTX114585) diluted at 1:500.
Antigen Retrieval: Citrate buffer, pH 6.0, 15 min
Immunohistochemical analysis of paraffin-embedded SAS xenograft, using NFYB(GTX114585) antibody at 1:500 dilution.
Antigen Retrieval: Citrate buffer, pH 6.0, 15 min
Immunofluorescence analysis of PFA-fixed HeLa, using NFYB(GTX114585) antibody at 1:500 dilution.
Sample (20 ug )
A: HeLa
12% SDS PAGE
GTX114585 diluted at 1:1000
风险提示:丁香通仅作为第三方平台,为商家信息发布提供平台空间。用户咨询产品时请注意保护个人信息及财产安全,合理判断,谨慎选购商品,商家和用户对交易行为负责。对于医疗器械类产品,请先查证核实企业经营资质和医疗器械产品注册证情况。
文献和实验i 的概率,任何时刻一个变量被选取是随机的)的二项分布。这一二项分布可以很好地近似为参数泊松分布,而且计算起来也更容易。 7. 见注 2。对于这种情况,λ 可以计算如下。不同于等概率情况,λi 在这里是不同的。首先,为了计算 λ,我们需要计算所有的 n = 2110 个参数 λi,这个工作量很大,但是这里包含了很多重复,这一特征可以用来简化计算。而且,让我们确定一些由五元组(n1,n2,n3,n4,n5)确定的十肽,由密码子的数量可知,它们的概率在所描述的十肽中分别为 1/64,2/64,3/64
an important role in regulation of the immune system. In the method described, hepatoma MH134 (Fas− and FasL− ) is transfected with murine Fas and FasL cDNA. A single administration of monoclonal anti-Fas antibody efficiently suppresses the growth of F6b (MH134
SDS-PAGE,蛋白转印,western Blot试剂配制
1.5 mol/L Tris (PH8.8)1.称量181.7g Tris置于1L烧杯中。2.加入约800 ml去离子水,充分搅拌溶解。3.用浓盐酸调节pH值至8.8。4.定容至1L.5.高压灭菌后,室温保存注意:应使溶液冷却至室温后再调定pH值,因为Tris溶液的pH值随温度的变化差异很大,温度每升高1oC,溶液的pH值大约降低0.03个单位。(参照kara公司Catalog-N1)1 mol/L Tris (PH6.8)1.称量121.1g Tris置于1L烧杯中。2.加入约800 ml
技术资料暂无技术资料 索取技术资料








![Desmoglein 2 antibody [N1N2], N-term](https://img1.dxycdn.com/2022/0328/460/3612025919274200453-14.jpg!wh200)


