相关产品推荐更多 >
万千商家帮你免费找货
0 人在求购买到急需产品
- 详细信息
- 文献和实验
- 技术资料
- 免疫原:
Recombinant protein encompassing a sequence within the center region of human CFDP1. The exact sequence is proprietary.
- 亚型:
IgG2a
- 形态:
Liquid
- 保存条件:
Store as concentrated solution. Centrifuge briefly prior to opening vial. For short-term storage (1-2 weeks), store at 4ºC. For long-term storage, aliquot and store at -20ºC or below. Avoid multiple freeze-thaw cycles.
- 克隆性:
Monoclonal
- 标记物:
Unconjugated
- 适应物种:
Human
- 保质期:
12 months from the shipping date of the product.
- 抗原来源:
Human
- 目录编号:
GTX630190
- 级别:
Primary Antibodies
- 库存:
Available
- 供应商:
GeneTex
- 宿主:
Mouse
- 应用范围:
WB, ICC/IF, IHC-P
- 浓度:
1 mg/ml (Please refer to the vial label for the specific concentration.)
- 靶点:
CFDP1
- 抗体英文名:
CFDP1 antibody [GT11811]
- 抗体名:
CFDP1 抗体 [GT11811]
- 规格:
100 μl/25 μl
| 规格: | 100 μl | 产品价格: | ¥4000.0 |
|---|---|---|---|
| 规格: | 25 μl | 产品价格: | ¥1700.0 |
Non-transfected (–) and transfected (+) 293T whole cell extracts (30 μg) were separated by 10% SDS-PAGE, and the membrane was blotted with CFDP1 antibody [GT11811] (GTX630190) diluted at 1:500.
CFDP1 antibody [GT11811] detects CFDP1 protein at nucleus by immunohistochemical analysis.
Sample: Paraffin-embedded human breast carcinoma.
CFDP1 stained by CFDP1 antibody [GT11811] (GTX630190) diluted at 1:2000.
Antigen Retrieval: Citrate buffer, pH 6.0, 15 min
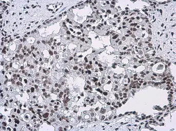
CFDP1 antibody [GT11811] detects CFDP1 protein at nucleus by immunohistochemical analysis.
Sample: Paraffin-embedded human ovarian cancer.
CFDP1 stained by CFDP1 antibody [GT11811] (GTX630190) diluted at 1:2000.
Antigen Retrieval: Citrate buffer, pH 6.0, 15 min
CFDP1 antibody [GT11811] detects CFDP1 protein by western blot analysis.
A U87-MG whole cell lysate/extract
B SK-N-SH whole cell lysate/extract
C IMR32 whole cell lysate/extract
D SK-N-AS whole cell lysate/extract
12 % SDS-PAGE
CFDP1 antibody [GT11811] (GTX630190) dilution: 1:1000
CFDP1 antibody [GT11811] detects CFDP1 protein at nucleus by immunofluorescent analysis.
Sample: HeLa cells were fixed in 4% PFA at RT for 15 min.
Green: CFDP1 stained by CFDP1 antibody [GT11811] (GTX630190) diluted at 1:100.
Red: alpha Tubulin 4a, a cytoskeleton marker, stained by alpha Tubulin 4a antibody (GTX112141) diluted at 1:500.
Scale bar= 10 μm.
风险提示:丁香通仅作为第三方平台,为商家信息发布提供平台空间。用户咨询产品时请注意保护个人信息及财产安全,合理判断,谨慎选购商品,商家和用户对交易行为负责。对于医疗器械类产品,请先查证核实企业经营资质和医疗器械产品注册证情况。
文献和实验IMMUNOSCREENING OF LAMBDA-GT11 BACTERIOPHAGE LIBRARIES WITH ANTIBODY PROBES
dishes of lysed E. coli to reduce anti-E. coli antibody background. These antibodies are present in all human sera, rabbit sera, and rodent sera. For each Petri dish containing solidified LB agar, mix 0.6ml of the Y1090 overnight-saturated culture with 30
Antibody Screening of Bacteriophage gt11 DNA Expression Libraries
Much of our current understanding of the molecular details of the activity and interactions of proteins has stemmed from the ability to isolate cDNA encoding these proteins. Computer-based analysis of deduced amino acid sequence allows
Antibody Screening of Bacteriophage gt-11 DNA Expression Libraries
Much of our current understanding of the molecular details of the activity and interactions of proteins has stemmed from the ability to isolate cDNA encoding these proteins. Computer-based analysis of deduced amino acid sequence allows
技术资料暂无技术资料 索取技术资料





![Choline Acetyltransferase antibody [HL2014]](https://img1.dxycdn.com/2023/0605/071/6332431565931755661-14.jpg!wh200)

![IL6 Receptor antibody [3H7D3H1]](https://img1.dxycdn.com/2022/0328/606/9339798055508700453-14.jpg!wh200)



