相关产品推荐更多 >
万千商家帮你免费找货
0 人在求购买到急需产品
- 详细信息
- 文献和实验
- 技术资料
- 免疫原:
Recombinant protein encompassing a sequence within the C-terminus region of human Filamin A. The exact sequence is proprietary.
- 亚型:
IgG
- 形态:
Liquid
- 保存条件:
Store as concentrated solution. Centrifuge briefly prior to opening vial. For short-term storage (1-2 weeks), store at 4ºC. For long-term storage, aliquot and store at -20ºC or below. Avoid multiple freeze-thaw cycles.
- 克隆性:
Polyclonal
- 标记物:
Unconjugated
- 适应物种:
Human, Mouse, Rat
- 保质期:
12 months from the shipping date of the product.
- 抗原来源:
Human
- 目录编号:
GTX112939
- 级别:
Primary Antibodies
- 库存:
Available
- 供应商:
GeneTex
- 宿主:
Rabbit
- 应用范围:
WB, ICC/IF, IHC-P
- 浓度:
0.42 mg/ml (Please refer to the vial label for the specific concentration.)
- 靶点:
Filamin A
- 抗体英文名:
Filamin A antibody [C2], C-term
- 抗体名:
Filamin A 抗体 [C2], C-term
- 规格:
100 μl/25 μl
| 规格: | 100 μl | 产品价格: | ¥4000.0 |
|---|---|---|---|
| 规格: | 25 μl | 产品价格: | ¥1700.0 |
Immunofluorescence analysis of methanol-fixed HeLa, using Filamin A alpha 2(GTX112939) antibody at 1:200 dilution.
Filamin A antibody detects Filamin A protein by western blot analysis.
A. 30 μg PC-12 whole cell lysate/extract
B. 30 μg Rat2 whole cell lysate/extract
5 % SDS-PAGE
Filamin A antibody (GTX112939) dilution: 1:1000
Sample (30 ug of whole cell lysate)
A: H1299
B: Hep G2 (GTX27900)
5% SDS PAGE
GTX112939 diluted at 1:1000
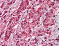
Filamin A antibody [C2], C-term detects Filamin A protein at cytosol on mouse esophagus by immunohistochemical analysis.
Sample: Paraffin-embedded mouse esophagus.
Filamin A antibody [C2], C-term (GTX112939) dilution: 1:500.
Antigen Retrieval: Trilogy™ (EDTA based, pH 8.0) buffer, 15min
Sample (50 ug of whole cell lysate)
A: mouse kidney
5% SDS PAGE
GTX112939 diluted at 1:1000
风险提示:丁香通仅作为第三方平台,为商家信息发布提供平台空间。用户咨询产品时请注意保护个人信息及财产安全,合理判断,谨慎选购商品,商家和用户对交易行为负责。对于医疗器械类产品,请先查证核实企业经营资质和医疗器械产品注册证情况。
文献和实验Yang HH et al., Proteomics Clin Appl 2016 (PMID:27863071)
Salim C et al., J Orofac Orthop 2021 (PMID:34735580)
技术资料暂无技术资料 索取技术资料


![Filamin A antibody [C2], C-term](https://img1.dxycdn.com/2022/0328/012/7357178873159200453-14.jpg)




![Laminin alpha 2 antibody [Mer3/22B2]](https://img1.dxycdn.com/2022/0328/885/1616467303097700453-14.jpg!wh200)
![Raf1 (phospho Ser259) antibody [GT1309]](https://img1.dxycdn.com/2022/0328/027/6909606302240800453-14.jpg!wh200)

