相关产品推荐更多 >
万千商家帮你免费找货
0 人在求购买到急需产品
- 详细信息
- 文献和实验
- 技术资料
- 免疫原:
Recombinant protein encompassing a sequence within the center region of human Islet 1. The exact sequence is proprietary.
- 亚型:
IgG
- 形态:
Liquid
- 保存条件:
Store as concentrated solution. Centrifuge briefly prior to opening vial. For short-term storage (1-2 weeks), store at 4ºC. For long-term storage, aliquot and store at -20ºC or below. Avoid multiple freeze-thaw cycles.
- 克隆性:
Polyclonal
- 标记物:
Unconjugated
- 适应物种:
Human, Mouse, Rat, Zebrafish
- 保质期:
12 months from the shipping date of the product.
- 抗原来源:
Human
- 目录编号:
GTX102807
- 级别:
Primary Antibodies
- 库存:
Available
- 供应商:
GeneTex
- 宿主:
Rabbit
- 应用范围:
WB, ICC/IF, IHC-P, IHC-Fr, IHC-Wm
- 浓度:
0.55 mg/ml (Please refer to the vial label for the specific concentration.)
- 靶点:
Islet 1
- 抗体英文名:
Islet 1 antibody
- 抗体名:
Islet 1 抗体
- 规格:
100 μl/25 μl
| 规格: | 100 μl | 产品价格: | ¥4000.0 |
|---|---|---|---|
| 规格: | 25 μl | 产品价格: | ¥1700.0 |
Islet 1 antibody detects Islet 1 protein by immunohistochemical analysis.
Sample: Frozen sectioned adult mouse retina.
Green: Islet 1 protein stained by Islet 1 antibody (GTX102807) diluted at 1:250.
Red: Protein kinase C alpha staining.
Blue: Fluoroshield with DAPI (GTX30920).
Islet 1 antibody detects Islet 1 protein at nucleus by immunofluorescent analysis.
Sample: SK-N-AS cells were fixed in 4% PFA at RT for 15 min.
Green: Islet 1 protein stained by Islet 1 antibody (GTX102807) diluted at 1:500.
Blue: Hoechst 33342 staining.
Scale bar = 10 μm.
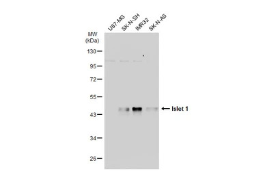
Various whole cell extracts (30 μg) were separated by 10% SDS-PAGE, and the membrane was blotted with Islet 1 antibody (GTX102807) diluted at 1:10000. The HRP-conjugated anti-rabbit IgG antibody (GTX213110-01) was used to detect the primary antibody.
Islet 1 antibody detects Islet 1 protein at nucleus on rat fore brain by immunohistochemical analysis.
Sample: Paraffin-embedded rat fore brain.
Islet 1 antibody (GTX102807) dilution: 1:100.
Antigen Retrieval: Trilogy™ (EDTA based, pH 8.0) buffer, 15min
Whole cell extract (30 μg) was separated by 10% SDS-PAGE, and the membrane was blotted with Islet 1 antibody (GTX102807) diluted at 1:1000. The HRP-conjugated anti-rabbit IgG antibody (GTX213110-01) was used to detect the primary antibody.
SH-SY5Y whole cell and nuclear extracts (30 μg) were separated by 10% SDS-PAGE, and the membrane was blotted with Islet 1 antibody (GTX102807) diluted at 1:10000. The HRP-conjugated anti-rabbit IgG antibody (GTX213110-01) was used to detect the primary antibody.
风险提示:丁香通仅作为第三方平台,为商家信息发布提供平台空间。用户咨询产品时请注意保护个人信息及财产安全,合理判断,谨慎选购商品,商家和用户对交易行为负责。对于医疗器械类产品,请先查证核实企业经营资质和医疗器械产品注册证情况。
文献和实验Li J et al., Nucleic Acids Res 2021 (PMID:33476374)
Kudoh S et al., Histochem Cell Biol 2020 (PMID:32170367)
Lingling Chen et al., J Nanobiotechnology 2022 (PMID:35524268)
Transplantation Models to Characterize the Mechanisms of Stem Cell–Induced Islet Regeneration
our current knowledge regarding the isolation human bone marrow?derived progenitor cells for the paracrine stimulation of islet regeneration after transplantation into immunodeficient mouse models of diabetes. By using high aldehyde dehydrogenase (ALDHhi
【进展|热点】Nature Immunology: 让T细胞动起来
cells; however, the biological context in which PD-1 controls T cell tolerance remains unclear. Using two-photon laser-scanning microscopy, we show here that unlike naive or activated islet antigen–specific T cells, tolerized islet antigen–specific T
5-hydroxytryptamine(serotonin) 5-羟色氨 HTLV human T-lymphocyte virus 人T-淋巴细胞病毒 LCAb islet cell antibody 胰岛细胞抗体 ICAM intercellular adhersion molecule 细胞间粘附因子 ICC immunocytochemistry 免疫细胞学 IDD insulin dependent diabetes 胰岛素依赖性糖尿病 IDRC (IRC
技术资料暂无技术资料 索取技术资料











