相关产品推荐更多 >
万千商家帮你免费找货
0 人在求购买到急需产品
- 详细信息
- 文献和实验
- 技术资料
- 免疫原:
Carrier-protein conjugated synthetic peptide encompassing a sequence within the C-terminus region of human SOCS1. The exact sequence is proprietary.
- 亚型:
IgG
- 形态:
Liquid
- 保存条件:
Store as concentrated solution. Centrifuge briefly prior to opening vial. For short-term storage (1-2 weeks), store at 4ºC. For long-term storage, aliquot and store at -20ºC or below. Avoid multiple freeze-thaw cycles.
- 克隆性:
Polyclonal
- 标记物:
Unconjugated
- 适应物种:
Human, Mouse
- 保质期:
12 months from the shipping date of the product.
- 抗原来源:
Human
- 目录编号:
GTX100657
- 级别:
Primary Antibodies
- 库存:
Available
- 供应商:
GeneTex
- 宿主:
Rabbit
- 应用范围:
WB, ICC/IF, IHC-P
- 浓度:
1 mg/ml (Please refer to the vial label for the specific concentration.)
- 靶点:
SOCS1
- 抗体英文名:
SOCS1 antibody
- 抗体名:
SOCS1 抗体
- 规格:
100 μl/25 μl
| 规格: | 100 μl | 产品价格: | ¥4000.0 |
|---|---|---|---|
| 规格: | 25 μl | 产品价格: | ¥1700.0 |
Sample (30 ug of whole cell lysate)
A: Hep G2 (GTX27900)
12% SDS PAGE
GTX100657 diluted at 1:1000
SOCS1 antibody detects SOCS1 protein at cytoplasm and nucleus by immunofluorescent analysis.
Sample: HeLa cells were fixed in 4% PFA at RT for 15 min.
Green: SOCS1 protein stained by SOCS1 antibody (GTX100657) diluted at 1:200.
Blue: Hoechst 33342 staining.
Scale bar = 10 μm.
Immunohistochemical analysis of paraffin-embedded A549 xenograft, using SOCS1(GTX100657) antibody at 1:100 dilution.
Antigen Retrieval: Trilogy™ (EDTA based, pH 8.0) buffer, 15min
SOCS1 antibody detects SOCS1 protein by Western blot analysis.
A. 50 μg mouse brain lysate/extract
12 % SDS-PAGE
SOCS1 antibody (GTX100657) dilution: 1:2000
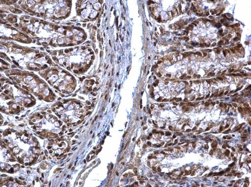
SOCS1 antibody detects SOCS1 protein at nucleus on mouse colon by immunohistochemical analysis.
Sample: Paraffin-embedded mouse colon.
SOCS1 antibody (GTX100657) dilution: 1:500.
Antigen Retrieval: Trilogy™ (EDTA based, pH 8.0) buffer, 15min
风险提示:丁香通仅作为第三方平台,为商家信息发布提供平台空间。用户咨询产品时请注意保护个人信息及财产安全,合理判断,谨慎选购商品,商家和用户对交易行为负责。对于医疗器械类产品,请先查证核实企业经营资质和医疗器械产品注册证情况。
文献和实验Wang J et al., Oncoimmunology 2016 (PMID:27999745)
Koh EH et al., Diabetes 2018 (PMID:30002134)
Chang CJ et al., Biochem Pharmacol 2021 (PMID:33285108)
Detection of Endogenous SOCS1 and SOCS3 Proteins by Immunoprecipitation and Western Blot Analysis
The suppressors of cytokine signalling (SOCS) protein family consist of eight members (SOCS 1–7, and CIS). SOCS1 and SOCS3 are the best-studied family members and have been shown to act as negative feedback inhibitors of the JAK/STAT
Generation of Antibody Molecules Through Antibody Engineering
been overcome to a large extent using genetic-engineering techniques to produce chimeric mouse/human and completely human antibodies. Such an approach is particularly suitable because of the domain structure of the antibody molecule ( 2 ), where functional
The importance of antibody molecules was first recognized in the 1890s, when it was shown that immunity to tetanus and diphtheria was caused by antibodies against the bacterial exotoxins (1 ). Around the same time, it was shown that antisera
技术资料暂无技术资料 索取技术资料











