相关产品推荐更多 >
万千商家帮你免费找货
0 人在求购买到急需产品
- 详细信息
- 文献和实验
- 技术资料
- 免疫原:
Recombinant protein encompassing a sequence within the N-terminus region of human RecQ1. The exact sequence is proprietary.
- 亚型:
IgG
- 形态:
Liquid
- 保存条件:
Store as concentrated solution. Centrifuge briefly prior to opening vial. For short-term storage (1-2 weeks), store at 4ºC. For long-term storage, aliquot and store at -20ºC or below. Avoid multiple freeze-thaw cycles.
- 克隆性:
Polyclonal
- 标记物:
Unconjugated
- 适应物种:
Human
- 保质期:
12 months from the shipping date of the product.
- 抗原来源:
Human
- 目录编号:
GTX100084
- 级别:
Primary Antibodies
- 库存:
Available
- 供应商:
GeneTex
- 宿主:
Rabbit
- 应用范围:
WB, ICC/IF, IHC-P, IP
- 浓度:
1 mg/ml (Please refer to the vial label for the specific concentration.)
- 靶点:
RecQ1
- 抗体英文名:
RecQ1 antibody [N1N2], N-term
- 抗体名:
RecQ1 抗体 [N1N2], N-term
- 规格:
100 μl/25 μl
| 规格: | 100 μl | 产品价格: | ¥4000.0 |
|---|---|---|---|
| 规格: | 25 μl | 产品价格: | ¥1700.0 |
RecQ1 antibody [N1N2], N-term detects RecQ1 protein by Western blot analysis.
A. 30 μg A431 whole cell lysate/extract
B. 30 μg HeLa whole cell lysate/extract
C. 30 μg A375 whole cell lysate/extract
7.5 % SDS-PAGE
RecQ1 antibody [N1N2], N-term (GTX100084) dilution: 1:1000
Immunoprecipitation of RecQ1 protein from HeLa whole cell extracts using 5 μg of RecQ1 antibody [N1N2], N-term (GTX100084).
Western blot analysis was performed using RecQ1 antibody [N1N2], N-term (GTX100084).
EasyBlot anti-Rabbit IgG (GTX221666-01) was used as a secondary reagent.
RecQ1 antibody [N1N2], N-term detects RecQ1 protein at nucleus by immunofluorescent analysis.
Sample: HeLa cells were fixed in 4% PFA at RT for 15 min.
Green: RecQ1 protein stained by RecQ1 antibody [N1N2], N-term (GTX100084) diluted at 1:500.
Red: phalloidin, a cytoskeleton marker, diluted at 1:200.
Blue: Hoechst 33342 staining.
Scale bar = 10 μm.
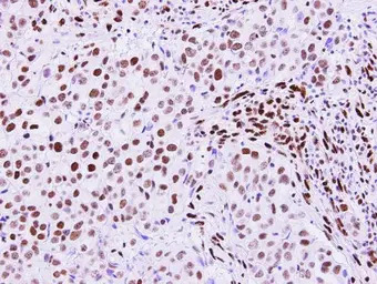
RecQ1 antibody [N1N2], N-term detects RecQ1 protein at nucleus on human breast carcinoma by immunohistochemical analysis.
Sample: Paraffin-embedded human breast carcinoma.
RecQ1 antibody [N1N2], N-term (GTX100084) diluted at 1:250.
Antigen Retrieval: Trilogy™ (EDTA based, pH 8.0) buffer, 15min
风险提示:丁香通仅作为第三方平台,为商家信息发布提供平台空间。用户咨询产品时请注意保护个人信息及财产安全,合理判断,谨慎选购商品,商家和用户对交易行为负责。对于医疗器械类产品,请先查证核实企业经营资质和医疗器械产品注册证情况。
文献和实验Sundararaman B et al., Mol Cell 2016 (PMID:26990993)
In the field of therapeutic recombinant proteins, monoclonal antibodies (mAbs) have achieved a rising success with more than 30 mAbs that have reached the market in the past 20 years. From a structural standpoint, one of the most important
to protect the antibody. These should be stored in smaller aliquots (about 1 ml) and frozen for long term storage though the protected solution is also stable for months at four degrees. Ascites fluid: This is a bit more problematic as it may contain
Materials 0.1M NaHC03 pH9 DMSO NHS-Biotin (N-Hydroxysuccinimidobiotin, Sigma #H-1759) PBS Procedure Dialyze the sample against carbonate buffer. After dialysis, adjust
技术资料暂无技术资料 索取技术资料







![Polynuclear Aromatic Hydrocarbons antibody [BAP-13]](https://img1.dxycdn.com/2022/0328/880/1363657818158300453-14.jpg!wh200)



