相关产品推荐更多 >
万千商家帮你免费找货
0 人在求购买到急需产品
- 详细信息
- 文献和实验
- 技术资料
- 免疫原:
Recombinant full-length human LAMP4 / CD68 protein
- 亚型:
IgG1
- 形态:
Liquid
- 保存条件:
Store as concentrated solution. Centrifuge briefly prior to opening vial. For short-term storage (1-2 weeks), store at 4ºC. For long-term storage, aliquot and store at -20ºC or below. Avoid multiple freeze-thaw cycles.
- 克隆性:
Monoclonal
- 标记物:
Unconjugated
- 适应物种:
Human
- 保质期:
12 months from the shipping date of the product.
- 抗原来源:
Human
- 目录编号:
GTX34545
- 级别:
Primary Antibodies
- 库存:
Available
- 供应商:
GeneTex
- 宿主:
Mouse
- 应用范围:
WB, IHC-P, FACS
- 浓度:
0.2 mg/ml (Please refer to the vial label for the specific concentration.)
- 靶点:
CD68
- 抗体英文名:
CD68 antibody [LAMP4/824]
- 抗体名:
CD68 抗体 [LAMP4/824]
- 规格:
100 μg
WB analysis of human spleen tissue lysate using GTX34545 CD68 antibody [LAMP4/824].
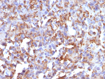
IHC-P analysis of human histiocytoma tissue using GTX34545 CD68 antibody [LAMP4/824].
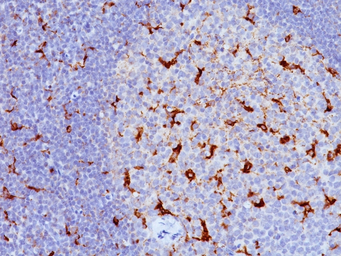
IHC-P analysis of human tonsil tissue using GTX34545 CD68 antibody [LAMP4/824].
FACS analysis of U87MG cells using GTX34545 CD68 antibody [LAMP4/824].
Blue : Primary antibody
Red : Isotype control
风险提示:丁香通仅作为第三方平台,为商家信息发布提供平台空间。用户咨询产品时请注意保护个人信息及财产安全,合理判断,谨慎选购商品,商家和用户对交易行为负责。对于医疗器械类产品,请先查证核实企业经营资质和医疗器械产品注册证情况。
文献和实验大鼠ED-1/sCD68分子(ED-1)ELISA试剂盒 说明书
上海西唐生物科技有限公司 021-55229872, 65333639 www.westang.com 大鼠 ED-1/sCD68 分子 (ED-1)ELISA 试剂盒 ( 用于血清、血浆、细胞培养上清液和其它生物体液内 ) 原理 本实验采用双抗体夹心 ABC-ELISA 法。用抗大鼠 CD68 单抗包被于酶标板上,标准品和样品中的 CD68 与单抗结合,加入生物素化的抗大鼠 CD68 ,形成免疫
," made up of fragments of up to seven nucleosomes in length, is incubated with an antiserum directed against the histone modification of interest. The antibody-bound fraction is separated from the unbound fraction and, after extraction of genomic DNA from the bound
) but this material is no longer available. RNA that is 50 bp DNA fragments, require alkaline transfer conditions and may have higher backgrounds.Hoeffer sponges are 6?x 9?and the gel must be cut to fit these dimensions.The Hoeffer gel box can blot 4 gels
技术资料暂无技术资料 索取技术资料








![NCR3 antibody [AT38D9]](https://img1.dxycdn.com/2022/0328/437/9740582768150800453-14.jpg!wh200)


