相关产品推荐更多 >
万千商家帮你免费找货
0 人在求购买到急需产品
- 详细信息
- 文献和实验
- 技术资料
- 免疫原:
Carrier-protein conjugated synthetic peptide encompassing a sequence within the N-terminus region of human Bax. The exact sequence is proprietary.
- 亚型:
IgG
- 形态:
Liquid
- 保存条件:
Store as concentrated solution. Centrifuge briefly prior to opening vial. For short-term storage (1-2 weeks), store at 4ºC. For long-term storage, aliquot and store at -20ºC or below. Avoid multiple freeze-thaw cycles.
- 克隆性:
Polyclonal
- 标记物:
Unconjugated
- 适应物种:
Human, Mouse, Rat
- 保质期:
12 months from the shipping date of the product.
- 抗原来源:
Human
- 目录编号:
GTX109683
- 级别:
Primary Antibodies
- 库存:
Available
- 供应商:
GeneTex
- 宿主:
Rabbit
- 应用范围:
WB, ICC/IF, IHC-P, IHC-Fr, IP
- 浓度:
1.15 mg/ml (Please refer to the vial label for the specific concentration.)
- 靶点:
Bax
- 抗体英文名:
Bax antibody [N1N2], N-term
- 抗体名:
Bax 抗体 [N1N2], N-term
- 规格:
100 μl/25 μl
| 规格: | 100 μl | 产品价格: | ¥4000.0 |
|---|---|---|---|
| 规格: | 25 μl | 产品价格: | ¥1700.0 |
Various whole cell extracts (30 μg) were separated by 12% SDS-PAGE, and the membrane was blotted with Bax antibody [N1N2], N-term (GTX109683) diluted at 1:1000. The HRP-conjugated anti-rabbit IgG antibody (GTX213110-01) was used to detect the primary antibody.
Various whole cell extracts (30 μg) were separated by 12% SDS-PAGE, and the membrane was blotted with Bax antibody [N1N2], N-term (GTX109683) diluted at 1:1000. The HRP-conjugated anti-rabbit IgG antibody (GTX213110-01) was used to detect the primary antibody.
Various whole cell extracts (30 μg) were separated by 12% SDS-PAGE, and the membrane was blotted with Bax antibody [N1N2], N-term (GTX109683) diluted at 1:1000. The HRP-conjugated anti-rabbit IgG antibody (GTX213110-01) was used to detect the primary antibody.
Bax antibody [N1N2], N-term detects Bax protein at cytoplasm, nucleus and mitochondria by immunofluorescent analysis.
Sample: HeLa cells were fixed in 4% PFA at RT for 15 min.
Green: Bax protein stained by Bax antibody [N1N2], N-term (GTX109683) diluted at 1:400.
Blue: Hoechst 33342 staining.
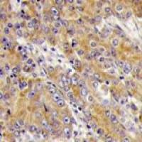
Bax antibody [N1N2], N-term detects Bax protein at cytoplasm on human lung carcinoma by immunohistochemical analysis.
Sample: Paraffin-embedded human lung carcinoma.
Bax antibody [N1N2], N-term (GTX109683) diluted at 1:500.
Antigen Retrieval: Trilogy™ (EDTA based, pH 8.0) buffer, 15min
Various whole cell extracts (30 μg) were separated by 12% SDS-PAGE, and the membrane was blotted with Bax antibody [N1N2], N-term (GTX109683) diluted at 1:1000. The HRP-conjugated anti-rabbit IgG antibody (GTX213110-01) was used to detect the primary antibody. Corresponding RNA expression data for the same cell lines are based on Human Protein Atlas program.
Bax antibody [N1N2], N-term immunoprecipitates BCL2-associated X protein in IP experiments.
IP samples: MCF-7 whole cell extract
A. Control with 4 μg of preimmune Rabbit IgG
B. Immunoprecipitation of BCL2-associated X protein by 4 μg Bax antibody [N1N2], N-term (GTX109683)
15 % SDS-PAGE
The immunoprecipitated BCL2-associated X protein was detected by Bax antibody [N1N2], N-term (GTX109683) diluted at 1:500.
[EasyBlot anti-rabbit IgG (GTX221666-01) was used as a secondary reagent]
Various tissue extracts (50 μg) were separated by 12% SDS-PAGE, and the membrane was blotted with Bax antibody [N1N2], N-term (GTX109683) diluted at 1:1000. The HRP-conjugated anti-rabbit IgG antibody (GTX213110-01) was used to detect the primary antibody.
风险提示:丁香通仅作为第三方平台,为商家信息发布提供平台空间。用户咨询产品时请注意保护个人信息及财产安全,合理判断,谨慎选购商品,商家和用户对交易行为负责。对于医疗器械类产品,请先查证核实企业经营资质和医疗器械产品注册证情况。
文献和实验Chang HP et al., Int J Oncol 2018 (PMID:29512708)
Xu YM et al., Oncotarget 2016 (PMID:26716417)
Gunes-Bayir A et al., Mol Cell Biochem 2018 (PMID:29442269)
Azmy MS et al., Mol Neurobiol 2018 (PMID:29327204)
Lin SC et al., Oncol Rep 2018 (PMID:29207188)
Toraih EA et al., Tumour Biol 2017 (PMID:29110584)
Abdi J et al., Blood Cancer J 2013 (PMID:23727662)
Lee WY et al., Int J Cancer 2017 (PMID:28710768)
Patricia Moreno-Londono A et al., Food Chem Toxicol 2017 (PMID:28870684)
Briest F et al., Neuroendocrinology 2017 (PMID:28910819)
Wang LT et al., PLoS One 2013 (PMID:24223196)
Hsu YL et al., PLoS One 2013 (PMID:24223959)
Tsui KH et al., Reproduction 2017 (PMID:28624766)
Lin LC et al., J Funct Foods 2017 33()
Liu JJ et al., Int J Mol Sci 2015 (PMID:26287183)
Hsu SW et al., BMC Complement Altern Med 2017 (PMID:28061780)
Chen MF et al., BMC Cancer 2016 (PMID:27461108)
Chen PH et al., Neuropharmacology 2016 (PMID:27487563)
Constantinescu AA et al., Mol Cell Biochem 2016 (PMID:27344165)
Fu X et al., PLoS One 2016 (PMID:26859149)
Dagistan Y et al., World Neurosurg 2015 (PMID:26211852)
Lee WY et al., Oncotarget 2015 (PMID:26363315)
Li CJ et al., Sci Rep 2015 (PMID:25909282)
Huang RF et al., Int J Nanomedicine 2015 (PMID:25914533)
Szu-Ting Lin et al., Cellular and Molecular Life Sciences 2015 (PMID:25596698)
Luciani-Torres MG et al., Carcinogenesis 2014 (PMID:25411358)
J. Abdi et al., The Journal of Nutritional Biochemistry 2014
Rodriguez-Berna G et al., Eur J Med Chem 2014 (PMID:24980118)
Lee JG et al., Toxicol In Vitro 2014 (PMID:24444450)
Chen YW et al., Evid Based Complement Alternat Med 2013 (PMID:23573126)
Chen JH et al., Food Chem Toxicol 2013 (PMID:23127597)
Li CJ et al., Evid Based Complement Alternat Med 2012 (PMID:23091557)
Li CJ et al., Cancer Lett 2012 (PMID:22306340)
Liu CH et al., J Ethnopharmacol 2011 (PMID:21708241)
Hsu YF et al., Biochim Biophys Acta 2011 (PMID:21376104)
Ma PW et al., Oxid Med Cell Longev 2022 (PMID:36531206)
Wang CH et al., J Am Heart Assoc 2022 (PMID:36314493)
Meng-Hui Zhang et al., Bioengineered 2022 (PMID:35412944)
Zhen Tian et al., Cell Cycle 2021 (PMID:33910455)
J Exp Med 2021;218(10)
Chiang-Wen Lee et al., Molecules 2022 (PMID:35056691)
Yu-Chan Chang et al., Front Oncol 2021 (PMID:35127525)
Jia-Wei Chen et al., Front Cell Neurosci 2022 (PMID:35210991)
Yuan-Kun Tu et al., Curr Neurovasc Res 2021 (PMID:34645375)
Hongzhi Hu et al., J Nanobiotechnology 2021 (PMID:34823543)
Wang S et al., Aging (Albany NY) 2021 (PMID:34887361)
Yang C et al., Oncol Lett 2022 (PMID:35317026)
Wang Y et al., Aging (Albany NY) 2020 (PMID:33099539)
Xu C et al., Oxid Med Cell Longev 2021 (PMID:34970414)
Lee CW et al., Molecules 2022;27(2)
Xie C et al., J Orthop Surg Res 2021 (PMID:34876170)
Zhang J et al., Mediators Inflamm 2021 (PMID:33958974)
Lanzillotta C et al., Prog Neurobiol 2020 (PMID:32795489)
Chang WT et al., Molecules 2017 (PMID:28531143)
Chang JW et al., Cereb Cortex 2020 (PMID:32248223)
Wu Z et al., Cancer Cell Int 2020 (PMID:32015693)
Takino JI et al., Sci Rep 2019 (PMID:31723205)
Chang WT et al., Int J Mol Sci 2019 (PMID:31480728)
Wei GJ et al., AAPS J 2019 (PMID:31292765)
Saat N et al., Biotech Histochem 2019 (PMID:31070494)
Dasgupta A et al., IUBMB Life 2019 (PMID:30977280)
Tang YJ et al., Drug Des Devel Ther 2019 (PMID:30774313)
Yu H et al., Microcirculation 2019 (PMID:30801897)
Lee CW et al., J Cell Physiol 2018 (PMID:30549031)
Tu HJ et al., Clin Epigenetics 2018 (PMID:30594243)
Yan-Rou Tsai et al., Int. J. Mol. Sci. 2018;19(10)
Abdel-Daim MM et al., Sci Total Environ 2019 (PMID:30290348)
Li J et al., Stem Cell Res Ther 2017 (PMID:28482861)
Wu DD et al., Oncotarget 2017 (PMID:28467781)
Lee CF et al., Biomedicine (Taipei) 2018 (PMID:30141402)
Ibanez-Cabellos JS et al., Biochim Biophys Acta 2018 (PMID:30006152)
Fan Z et al., Cell Physiol Biochem 2018 (PMID:29969756)
Dong T et al., Biomedicine & Pharmacotherapy 2018 102()
Kim SH et al., Biomedicine & Pharmacotherapy 2018 99()


![Bax antibody [N1N2], N-term](https://img1.dxycdn.com/2022/0328/177/4084684160408200453-14.jpg)





![p53 (Acetyl Lys120) antibody [10E5]](https://img1.dxycdn.com/2022/0328/382/9020403700917700453-14.jpg!wh200)
![Prostatic Acid Phosphatase antibody [SPM312]](https://img1.dxycdn.com/2022/0328/256/6687957281401700453-14.jpg!wh200)

