万千商家帮你免费找货
0 人在求购买到急需产品
- 详细信息
- 询价记录
- 文献和实验
- 技术资料
- 服务名称:
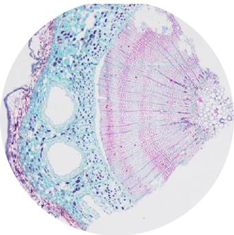
番红-固绿染色
- 提供商:
伊莱博生物科技(上海)有限公司
现代病理学吸收了当今分子生物学的新研究方法和取得的新成果,使病理学的观察从器官、细胞水平,深入到亚细胞、蛋白表达及基因的改变。这不仅使病理学的研究更深入一步,同时也使病理学的研究方法渗透到各基础学科、临床医学、预防医学和药学等方面。如某一基因的改变是否同时伴随蛋白表达及蛋白功能的异常,是否可以发生形态学改变;反之,某种形态上的异常是否出现某个(些)基因的异常或表达的改变。临床医学中一些症状、体征的解释、新病种的发现和预防以及敏感药物的筛选、新药物的研制和毒副作用等都离不开病理学方面的鉴定和解释。
如果你想了解本公司的其他产品,欢迎来电咨询,我们将热情为您服务。
风险提示:丁香通仅作为第三方平台,为商家信息发布提供平台空间。用户咨询产品时请注意保护个人信息及财产安全,合理判断,谨慎选购商品,商家和用户对交易行为负责。对于医疗器械类产品,请先查证核实企业经营资质和医疗器械产品注册证情况。
- 作者
- 内容
- 询问日期
文献和实验度为4%)和酒精(溶解度为9%)。固绿是一种染含有浆质的纤维素细胞组织的染色剂,在染细胞和植物组织上应用极广。它和苏木精、番红并列为植物组织学上三中最常用的染料。它和苏木精、番红并列为植物组织学上三中最常用的染料。 5. 苯胺蓝:是一种混合酸性染料,平常所用很难有一定的标准。此染料一般很难溶於水,也不易溶於酒精(1.5%)。植物制片中可与番红合用,作为组织染色;也可作藻类植物染色。因为这种染料的成分很不一致,染色效果不易掌握。 6. 苏丹Ⅲ:苏丹Ⅲ是弱酸性染料,不溶解於水,呈红色
二重染色,也可用作类淀粉染色,由于他能溶于水和酒精,所以洗涤和脱水处理要迅速。 3、甲基蓝 甲基蓝是弱酸性染料,能溶于水和酒精。甲基蓝在动植物的制片技术方面应用极广。他跟伊红合用能染神经细胞,也是细菌制片中不可缺少的染料。它的水溶液是原生动物的活体染色剂。甲基蓝极易氧化,因此用他染色后不能长久保存。 4、固绿 固绿是酸性染料,能溶于水(溶解度为4%)和酒精(溶解度为9%)。固绿是一种染含有浆质的纤维素细胞组织的染色剂,在染细胞和植物组织上应用极广。他和苏木精、番红并列为植物
应用极广。他跟伊红合用能染神经细胞,也是细菌制片中不可缺少的染料。它的水溶液是原生动物的活体染色剂。甲基蓝极易氧化,因此用他染色后不能长久保存。4、固绿 固绿是酸性染料,能溶于水(溶解度为4%)和酒精(溶解度为9%)。固绿是一种染含有浆质的纤维素细胞组织的染色剂,在染细胞和植物组织上应用极广。他和苏木精、番红并列为植物组织学上三中最常用的染料。5、苏丹Ⅲ 苏丹Ⅲ是弱酸性染料,呈红色粉末状,易溶于脂肪和酒精(溶解度为0.15%)。苏丹Ⅲ是脂肪染色剂。6、伊红 这类染料种类很多。常用的伊红Y,是酸性
技术资料暂无技术资料 索取技术资料









