- 详细信息
- 文献和实验
- 技术资料
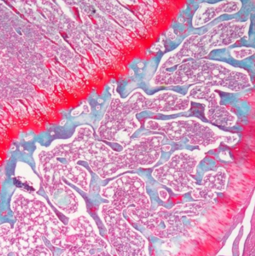
番红-固绿染色服务番红-固绿染色(软骨)在涉及关节软骨及软骨下骨的形态学研究中,常需要联合使用多种染料以显示其组织学结构。其中,起源于上世纪60年代的番红O-固绿染色因可以直观反映关节软骨、软骨下骨和骨组织的结构而备受青睐。
风险提示:丁香通仅作为第三方平台,为商家信息发布提供平台空间。用户咨询产品时请注意保护个人信息及财产安全,合理判断,谨慎选购商品,商家和用户对交易行为负责。对于医疗器械类产品,请先查证核实企业经营资质和医疗器械产品注册证情况。
文献和实验番红-固绿染色(软骨)
番红-固绿染色(软骨)在涉及关节软骨及软骨下骨的形态学研究中,常需要联合使用多种染料以显示其组织学结构。其中,起源于上世纪60年代的番红O-固绿染色因可以直观反映关节软骨、软骨下骨和骨组织的结构而备受青睐。
软骨组织由软骨细胞和软骨基质组成,软骨组织及其周围的软骨膜构成软骨。软骨根据基质内所含纤维素成分不同分为透明软骨、弹性软骨、纤维软骨。软骨染色方法有很多种,例如甲苯胺蓝法、阿利新蓝法、番红O法等。番红O-固绿软骨染色法的染色原理在于嗜碱性的软骨与碱性染料番红O结合呈现红色,嗜酸性的骨和酸性染料固绿结合而呈绿色或蓝色,与呈现红色的软骨对比鲜明,从而将软骨组织与骨组织区分开。
番红-固绿染色步骤:
(1)骨组织固定、脱钙,制成石蜡切片;
(2)切片常规脱蜡至水;
(3)入新鲜配制的Weigert染液染色;
(4)流水冲洗;
(5)酸性乙醇分化液分化;
(6)蒸馏水洗;
(7)在固绿染色液内浸染;
(8)蒸馏水洗;
(9)入番红O染液内浸染;
(10)蒸馏水洗;
(11)用乙酸溶液洗涤切片,以便去除残留的固绿,再用蒸馏水洗;
(12)分别用95%乙醇,无水乙醇脱水;
(13)二甲苯透明,中性树脂封固;
(14)镜检。
染色结果:软骨基质深红色,软骨细胞核蓝色,细胞浆、肌肉、胶原纤维及骨组织呈灰绿色。
度为4%)和酒精(溶解度为9%)。固绿是一种染含有浆质的纤维素细胞组织的染色剂,在染细胞和植物组织上应用极广。它和苏木精、番红并列为植物组织学上三中最常用的染料。它和苏木精、番红并列为植物组织学上三中最常用的染料。 5. 苯胺蓝:是一种混合酸性染料,平常所用很难有一定的标准。此染料一般很难溶於水,也不易溶於酒精(1.5%)。植物制片中可与番红合用,作为组织染色;也可作藻类植物染色。因为这种染料的成分很不一致,染色效果不易掌握。 6. 苏丹Ⅲ:苏丹Ⅲ是弱酸性染料,不溶解於水,呈红色
二重染色,也可用作类淀粉染色,由于他能溶于水和酒精,所以洗涤和脱水处理要迅速。 3、甲基蓝 甲基蓝是弱酸性染料,能溶于水和酒精。甲基蓝在动植物的制片技术方面应用极广。他跟伊红合用能染神经细胞,也是细菌制片中不可缺少的染料。它的水溶液是原生动物的活体染色剂。甲基蓝极易氧化,因此用他染色后不能长久保存。 4、固绿 固绿是酸性染料,能溶于水(溶解度为4%)和酒精(溶解度为9%)。固绿是一种染含有浆质的纤维素细胞组织的染色剂,在染细胞和植物组织上应用极广。他和苏木精、番红并列为植物
应用极广。他跟伊红合用能染神经细胞,也是细菌制片中不可缺少的染料。它的水溶液是原生动物的活体染色剂。甲基蓝极易氧化,因此用他染色后不能长久保存。4、固绿 固绿是酸性染料,能溶于水(溶解度为4%)和酒精(溶解度为9%)。固绿是一种染含有浆质的纤维素细胞组织的染色剂,在染细胞和植物组织上应用极广。他和苏木精、番红并列为植物组织学上三中最常用的染料。5、苏丹Ⅲ 苏丹Ⅲ是弱酸性染料,呈红色粉末状,易溶于脂肪和酒精(溶解度为0.15%)。苏丹Ⅲ是脂肪染色剂。6、伊红 这类染料种类很多。常用的伊红Y,是酸性
技术资料暂无技术资料 索取技术资料










