万千商家帮你免费找货
0 人在求购买到急需产品
- 详细信息
- 文献和实验
- 技术资料
- 提供商:
XSL
- 服务名称:
番红O固绿染色实验服务
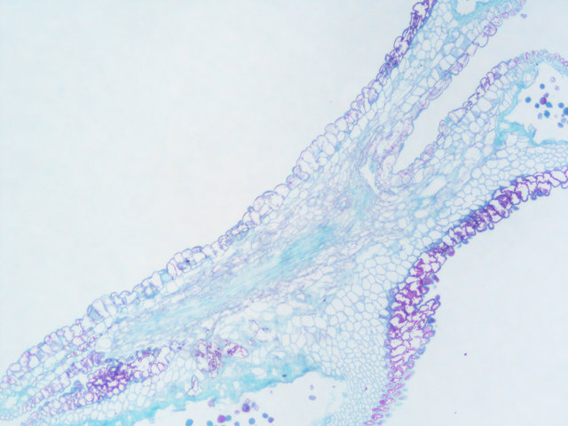
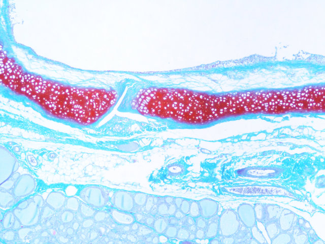
番红O固绿染色(软骨)在涉及关节软骨及软骨下骨的形态学研究中,常需要联合使用多种染料以显示其组织学结构。其中,起源于上世纪60年代的番红O(safranin O)-固绿(fast green)染色因可以直观反映关节软骨、软骨下骨和骨组织的 结构而备受青睐。软骨呈红色,成骨呈绿色。
番红O固绿染色实验意义:
番红O固绿染色染色是针对软骨及植物进行染色的方法,此方法简易,节约时间、用具器皿及药品,染色清晰。
实验步骤:
- 软骨染色步骤: ①骨组织固定、脱钙,制成石蜡切片。 ②切片常规脱蜡至水。 ③入新鲜配制的weigert染液染色。 ④流水冲洗。 ⑤酸性乙醇分化液分化。 ⑥蒸馏水洗。 ⑦在固绿染色液内浸染。 ⑧蒸馏水洗。 ⑨入番红O染液内浸染。 ⑩蒸馏水洗。 ⑪用乙酸溶液洗涤切片,以便去除残留的固绿,再用蒸馏水洗。 ⑫分别用95%乙醇、无水乙醇脱水。 ⑬二甲苯透明,中性树脂封固。 ⑭镜检。
染色结果:
- 软骨染色结果: 软骨基质深红色;软骨细胞核蓝色;细胞浆、肌肉、胶原纤维及骨组织呈灰绿色。
- 植物染色结果: 木质化、木栓化的细胞壁染成红色;纤维素细胞壁染成绿色;导管染成红色,筛管染成绿色。
- 软骨染色: 固绿与胶原纤维结合,不宜褪色,番红o-固绿染色的分化很关键,分化过度容易导致切片不着色,分化不足易导致切片着色 过深。
- 植物染色: 番红染色后,在50%乙醇中脱色需经实践,如果脱色不够绿色会不好染;脱色过度会导致红色过淡,甚至全部绿色。
收费标准/服务周期/提供结果:
欢迎咨询详谈,我们会根据您的方案及需求制定详细的服务协议。
更多实验技术服务请浏览网站其他内容,或来电咨询!
风险提示:丁香通仅作为第三方平台,为商家信息发布提供平台空间。用户咨询产品时请注意保护个人信息及财产安全,合理判断,谨慎选购商品,商家和用户对交易行为负责。对于医疗器械类产品,请先查证核实企业经营资质和医疗器械产品注册证情况。
文献和实验背景:真核生物的基因组DNA以染色质的形式存在,研究蛋白质与DNA在染色质环境下的相互作用是阐明真核生物基因表达机制的基本途径。与传统的EMSA技术相比,染色质免疫沉淀技术(CHIP)能真实完整地反映结合在DNA序列上的调控蛋白,是目前研究体内DNA与蛋白质相互作用的最佳方法。原理:是在活细胞状态下以甲醛固定蛋白质-DNA复合物,超声将其随机切断为一定长度范围内的染色质小片段,然后加入目的蛋白抗体,通过抗体沉淀靶蛋白-DNA复合物,通过洗脱的方法得到富集的靶蛋白-DNA复合物,特异性地富集目的
成正比。 目前 ELISA 法应用 1、免疫酶染色各种细胞内成份的定位。 2、研究抗酶抗体的合成。 3、显现微量的免疫沉淀反应。 4、定量检测体液中抗原或抗体成份。 小优 ELISA 实验检测服务 优宁维公司提供空白板,buffer 缓冲液等 客户只需提供样本 小优结果形式:统计结果,实验流程,全程提供疑问解答 优宁维是专业的抗体公司,我们的实验服务团队是由博士后领衔的团队。我们实验室拥有先进的实验仪器平台,服务的价格是实惠亲民
质分子所带的净电荷多少不同。如在生理条件下,整个蛋白质所带负电荷多,则为酸性蛋白质;带正电荷多,则为碱性蛋白质。据此,可将标本经三氯醋酸处理提出核酸后,用不同pH值的固绿染液分别染色,细胞内的酸性蛋白和碱性蛋白质显示出来。 (二)方法 1.以破坏脊髓法处死蟾蜍,将其腹面向上放人蜡盘中,剪开胸腔,打开心包。小心将心脏剪一小口,取心脏血一滴滴在干净载玻片一端,推片,按此法制备二张血涂片,室温晾干。 2. 将涂片作好标记放在70%乙醇中固定5分钟,室温
技术资料暂无技术资料 索取技术资料










