相关产品推荐更多 >
万千商家帮你免费找货
0 人在求购买到急需产品
- 详细信息
- 询价记录
- 文献和实验
- 技术资料
- 保质期:
见包装
- 英文名:
RNeasy Mini Kit (50)
- 库存:
9999
- 供应商:
北京智杰方远科技有限公司
- 保存条件:
TR
- 规格:
50次/盒
| 名称 | 品牌 | 货号 | 规格 | 保存 |
| RNA小量提取试剂盒(50) RNeasy Mini Kit (50) |
Qiagen | 74104 | 50次 | RT |
一、产品详情
RNeasy试剂盒是总RNA分离的金标准。它们使用硅膜RNeasy旋转柱或96孔板,可以从小到大数量的细胞、组织和酵母中快速纯化高质量的RNA。组织样本可以方便地使用RNA保护组织试剂或所有保护组织试剂来稳定,并使用组织分子ll或组织分子ll或LT系统来有效地破坏。RNeasy 96 Kit可以使用二氧化硅膜RNeasy 96板从多达96个培养的细胞样本中高通量纯化总RINA。一个专用的RNeasyQIAcube工具包可以在QlAcube连接上自动纯化1-12个样品。
二、产品特点
●快速程序,在几分钟内提供高质量的总RNA
●现成RNA在任何下游应用中高性能
●一致RNA产量从小到大量的起始材料
●无苯酚/氯仿萃取,无氯化铯梯度,无氯化锂或乙醇沉淀
●高通量96孔格式处理和自动化协议
三、产品性能展示
RNeasy试剂盒和QIAwave RNA试剂盒可从小到大的样本中提供高度可重复的总RNA产量。总RNA可以从少量细胞(包括单个细胞)以及少量标准组织中可靠地纯化(见图"从单个细胞中可靠地分离RNA","高度可重复的敏感应用产量"和"来自细针抽吸的高质量总RNA")使用RNeasy微试剂盒。使用RNeasy Micro Kit提纯的RNA在定量基因表达分析(如实时RT-PCR)中提供了最大灵敏度,通过高效地柱上消化基因组DNA(见图"高效柱上去除基因组DNA")。
总RNA易于从动物或人类细胞、动物或人类组织以及酵母中纯化(见表"使用RNeasy试剂盒获得的总RNA产量"和图"最多从100个细胞中提取的RNA的RT-PCR")。
QIAwave RNA Mini Kit让您从动物或人类细胞、动物或人类组织以及酵母中获得高度可重复的RNA产量(见表“使用RNeasy和QIAwave RNA试剂盒获得的总RNA产量")。我们的QIAwave RNA迷你试剂盒和RNeasy迷你试用品之间的性能是相同的,因为化学成分相同。我们还展示了两个试剂盒的性能都优于竞争对手的试剂盒(见图"QIAwave RNA迷你试剂盒性能")。
专用的RNeasy Mini QIAcube试剂盒,包括预装RNeasy旋转柱和洗脱管的转子适配器,提供了更大的便利和节省时间(见图"使用专用QIAcube试剂盒节省大量时间")。
使用RNeasy Maxi试剂盒纯化的总RNA质量高,适用于许多下游应用(见图"来自多种样品的优质 RNA")。总RNA很容易用RNeasy Maxi Kit从大量的起始材料中纯化,包括动物或人细胞、动物或人组织以及酵母细胞(见表"使用RNeasy Kit获得的总RNA产量")。
RNeasy96系统为高通量基因表达谱分析提供快速可重复的总RNA纯化。RNA适用于敏感的应用,如定量、实时RT-PCR和微阵列分析(见图"用于低拷贝转录本敏感分析的优质RNA")。样本量从10到5x105个细胞(见图"从100个细胞中提取RNA的RT-PCR"),并且可以从大量样品中纯化高质量的RNA(见图"可重复的高质量RNA产量")。在整个纯化过程中,个体差异很低;TaqMan®阈值循环值在过程结束时很容易实现,变异系数(CV)小于3%,使用QuantiTect Probe RT-PCR试剂盒(见图"全自动RNA纯化的可重复性")。

从单个细胞中出可靠的分离RNA。
使用RNeasy微试剂盒从指定数量的Hela细胞中分离总RNA。[A]放大图。[B]交叉点(Cp)值与细胞数的相关性。使用实时荧光定量探针RT-PCR试剂盒在光循环系统上进行实时RT-PCR检测,并使用针对β-actin的引物和探针。

高度可重复的敏感应用产量。
使用RNeasy Micro Kit,由5个不同的使用者从2mg的大鼠组织中分离总RNA。采用定量探针RT-PCR试剂盒在ABI序列检测系统上进行定量、实时RT-PCR,采用针对c-jun的引物和探针。

来自细针抽吸的高质量总RNA。
使用19.5-qauge活检针从兔肝中获得细针吸出物,样本立即稳定在RNA保护组织管中。总RNA使用RNeasy Micro Kit进行分离。用安捷伦2100生物分析仪扫描显示了高质量的RNAis。

高效柱上去除基因组DNA。
使用RNeasy微试剂盒从指定数量的Hela细胞中分离总RNA。采用QuantiTect探针PCR试剂盒,采用针对c-jun的引物和探针。为了评价柱上DNase酶切的效率,每个样品在逆转录+RT后进行直接扩增,不需要逆转录步骤(-RT)。在“-RT”样本中缺乏信号表明没有检测到DNA。在“-RT”结果中,只有50.000个单元格数据点是可见的。

仅从100个细胞中提取RNA的RT-PCR。
用RNeasy Mini Kit从指定数量的Hela细胞中分离的总RNA进行RT-PCR检测。10ul(1/5)洗脱液用无rnose的DNase酶切,用cDNA混合物的oligo-dT primer.2.5μl(1/20)逆转录,进行50μl PCR。扩增了一个452bp的GAPDHs片段。C-:阴性载体|C+:阳性对照;M:100bp阶梯。
使用RNeasy和QIAwave RNA试剂盒获得的总RNA产量
| Source | Starting material | Average yield | ||||||||
| Animal cells | Micro | Mini/ QIAwave Mini |
Midi | Maxi | 96-well | Micro | Mini/ QIAwave Mini |
Midi | Maxi | 96-well |
| LMH | 5x105 | 1x106 | 7x107 | 5x108 | 1x105 | 6µg | 12µg | 850µg | 5.7mg | 1.3µg* |
| HeLa | 5x105 | 1x106 | 7x107 | 4x108 | 1x105 | 5µg | 15µg | 1000µg | 6.0mg | 1.6µg* |
| COS-7 | 5x105 | 1x106 | 3x107 | 1.8x108 | 1x105 | 17.5µg | 35µg | 950µg | 5.8mg | 3.1µg* |
| Lymphocytes (unstimulated) |
5x105 | 1x106 | 1x108 | 5x108 | – | – | 0.5µg | 50µg | 0.3mg | – |
| Huh7 | 5x105 | – | – | – | 1x105 | 7.5µg | – | – | – | 2.0µg* |
| Jurkat | 5x105 | – | – | – | 1x105 | – | – | – | – | 1.4µg* |
| Mouse tissue | ||||||||||
| Liver | 5mg | 10mg | 200mg | 1g | – | 15µg | 40µg | 700µg | 3.6mg | – |
| Lung | 5mg | 10mg | 100mg | 0.5g | – | 5µg | 10µg | 130µg | 0.6mg | – |
| Spleen | 5mg | 10mg | 200mg | 1g | – | 15µg | 35µg | 600µg | 3.2mg | – |
| Yeast cells | ||||||||||
| S. cerevisiae | – | 1 x 107 | 2x108 | 1x109 | – | – | 25µg | 450µg | 2.4mg | – |
*数量可能因发育阶段、所用的生长条件等而有所不同。

QIAwave RNA迷你试剂盒性能。
使用QIAwave RNA迷你试剂盒、RNeasy迷你试剂盒或供应商n的试剂盒从1x106 Jurkat细胞中纯化RNA。在纯化过程中,通过DNase I消化去除gDNA污染,纯RNA在无RNase的水中洗脱。用荧光计测定总RNA产量。

使用专用 QIAcube 试剂盒可节省大量时间。
使用手工处理、使用QIAcube和使用QIAcube与专用套件进行样本准备所需的实际操作时间的平均百分比。值可能略有不同,取决于QIAcube应用程序和所使用的套件。

来自多种样品的优质RNA。
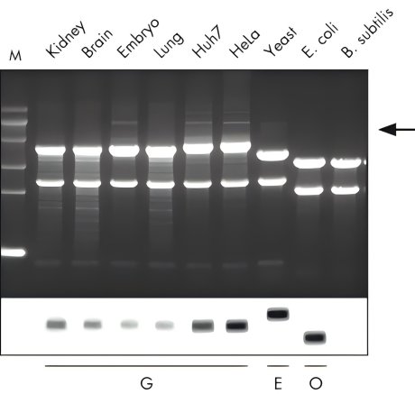
用RNeasy Maxi试剂盒纯化的甲醛琼脂糖凝胶和总RNA的北玻片。从每个来源分离出的总RNA(10μg)被装载在每车道上。所有组织均来自小鼠。酵母:酿酒酵母;大肠杆菌菌株:HB101。32 P-标记的探针识别(G)GAPDH;(E)翻译延伸因子EF-1α;和(O)外膜蛋白A序列。(E和O分别由P. Philippsen,瑞士巴塞尔大学和U. Henning,德国蒂宾根马克斯·普朗克生物研究所提供。)枯草芽孢杆菌未进行探测。M :0.24-9.5 kb RNA阶梯。7.5 kb波段(指示)在胚胎、Huh7和HeLa细胞通道中是一种核前体RNA。

用于低拷贝转录本敏感分析的优质RNA。

可重复的高质量RNA产量。

全自动RNA纯化的可重复性。
四、应用程序
使用 RNeasy 和 QIAwave RNA 技术纯化的 RNA 260/280 比值为 1.9-2.1(在10mMTris·Cl,pH7.5中测量),适用于所有应用。下游应用包括:
▶RNA测序
▶定量实时RT-PCR
▶从仅一个细胞开始的实时RT-PCR
▶终点RT-PCR
▶北方、点状和槽状斑点
▶阵列分析
▶poly A+ RNA选择
五、试剂盒组份表
| RNeasy Mini Kit | (50) |
| Catalog no. | 74104 |
| Number of preps | 50 |
| RNeasy Mini Spin Columns (pink) | 50 |
| Collection Tubes (1.5ml) | 50 |
| Collection Tubes (2ml) | 50 |
| Buffer RLT | 45ml |
| Buffer RW1 | 45ml |
| Buffer RPE(concentrate) | 11ml |
| RNAse-Free Water | 10ml |
| Quick-Start Protocol | 2 |
六、实验原理
1.样本裂解:使用含高浓度胍盐的Buffer RLT裂解样本,破坏细胞膜和核膜,释放RNA,并使RNase失活,保护RNA不被降解。
2.RNA结合:裂解液中加入乙醇调节核酸结合条件后,将样本裂解物加载到RNeasy Mini Spin Columns上,RNA在高盐条件下特异性吸附于硅胶膜表面。
3.杂质洗涤:通过Buffer RW1去除残留的蛋白质、多糖等大分子杂质,再用经乙醇稀释的Buffer RPE洗涤去除盐分和小分子污染物,确保硅胶膜上仅保留RNA。
4.RNA洗脱:用无RNase的RW1-Free Water或低盐缓冲液(如TE缓冲液)洗脱硅胶膜上的RNA,获得高纯度、高完整性的总RNA。
七、操作步骤概要
(1)样本准备:
1.培养细胞:直接加入Buffer RLT裂解,或离心收集细胞后重悬裂解。
2.动物组织:新鲜或冷冻组织需在液氮中研磨成粉末后加入Buffer RLT裂解。
3.植物/细菌/酵母:根据样本类型,可能需要先进行预处理(如酶解、机械破碎)后再加入Buffer RLT。
(2)RNA结合:
向裂解液中加入指定体积的70%乙醇,混匀后将混合物转移至RNeasy Mini Spin Column,12,000×g离心30~60秒,弃滤液。
(3)洗涤:
1.加入Buffer RW1至离心柱,12,000×g离心30~60秒,弃滤液和收集管。
2.将离心柱转移至新的2ml收集管,加入经乙醇稀释的Buffer RPE,12,000×g离心30–60秒,弃滤液。
3.重复加入Buffer RPE进行第二次洗涤,12,000×g离心2分钟,彻底去除残留洗涤液。
(4)RNA洗脱:
将离心柱转移至1.5ml收集管,加入30–50μl RNase-Free Water(可根据需要调整体积),室温静置1分钟,12,000×g离心1分钟,洗脱RNA。
八、注意事项
1.RNase污染防控:实验全程需严格遵守无RNase操作规范,使用无RNase的离心管、吸头及试剂,戴一次性手套并勤更换,避免徒手接触离心柱膜和RNA洗脱区域。
2.Buffer RPE准备:使用前必须按照说明书要求向Buffer RPE中加入指定体积的无水乙醇(通常为4 volumes),并在瓶上做好标记。
3.样本量控制:避免过量上样,以免超过离心柱的RNA结合容量,影响纯化效率和纯度。
4.洗脱效率:为提高RNA回收率,可将洗脱液在离心柱膜上静置2分钟后再离心,或进行二次洗脱(第二次洗脱体积可减半)。
5.安全提示:Buffer RLT含有刺激性化学物质,操作时应戴手套和护目镜,避免接触皮肤和黏膜,若不慎接触,立即用大量清水冲洗。
九、故障排除(常见问题与解决方案)
| 问题 | 可能原因 | 解决方案 |
| RNA产量低 | 样本裂解不充分; 洗脱体积过大; 离心柱堵塞 |
确保样本彻底裂解(如组织研磨充分); 减少洗脱体积(如使用30μl); 离心前确保裂解液无沉淀 |
| RNA纯度低 (OD260/OD280<1.8) |
蛋白质残留; Buffer RPE洗涤不充分 |
增加Buffer RW1洗涤次数; 确保Buffer RPE按要求加入乙醇并充分洗涤; 避免样本过量 |
| RNA降解 | 样本处理时间过长; RNase污染 |
使用新鲜样本并快速处理; 严格无RNase操作; 确保Buffer RLT充分裂解并失活RNase |
十、存储
RNeasy Mini Kit、RNeasy Protect Mini Kit(包括RNAprotect Tissue Reagent)和RNeasy Plant Mini Kit应储存在室温(15~25°C)干燥环境中,若标签上无其他说明,则在该条件下可稳定储存至少9个月。
RNAprotect试剂在较低温度下储存可能引起沉淀,使用前将沉淀物加热至37°C并振荡使其重新溶解。
风险提示:丁香通仅作为第三方平台,为商家信息发布提供平台空间。用户咨询产品时请注意保护个人信息及财产安全,合理判断,谨慎选购商品,商家和用户对交易行为负责。对于医疗器械类产品,请先查证核实企业经营资质和医疗器械产品注册证情况。
- 作者
- 内容
- 询问日期
文献和实验Alpha-calcitonin gene-related peptide can reverse the catabolic influence of UHMWPE particles on RANKL expression in primary human osteoblasts.
Kauther MD; Xu J; Wedemeyer C;
Int J Biol Sci; 2010; 6 (6):525-36 2010 Sep 15 PMID:20877694
Characterization of immortalized choroid plexus epithelial cell lines for studies of transport processes across the blood-cerebrospinal fluid barrier.
Kläs J; Wolburg H; Terasaki T; Fricker G; Reichel V;
Cerebrospinal Fluid Res; 2010; 7 :11 2010 Aug 12 PMID:20704740
Notch and Wnt signaling mediated rod photoreceptor regeneration by Müller cells in adult mammalian retina.
Del Debbio CB; Balasubramanian S; Parameswaran S; Chaudhuri A; Qiu F; Ahmad I;
PLoS One; 2010; 5 (8):e12425 2010 Aug 26 PMID:20865053
Facilitated leaky scanning and atypical ribosome shunting direct downstream translation initiation on the tricistronic S1 mRNA of avian reovirus.
Racine T; Duncan R;
Nucleic Acids Res; 2010; 38 (20):7260-72 2010 Jul 7 PMID:20610435
High-definition DNA methylation profiles from breast and ovarian carcinoma cell lines with differing doxorubicin resistance.
Boettcher M; Kischkel F; Hoheisel JD;
PLoS One; 2010; 5 (6):e11002 2010 Jun 8 PMID:20544021
【共享】经验:The RNeasy Mini Kit from Qiagen
The RNeasy Mini Kit from Qiagen is designed for RNA extraction, although the basic format is similar to other Qiagen products designed to purify nucleic acids: ion exchange columns specifically bind RNA which is purified by wash steps
Isolation of Total RNA from Animal Cells use RNeasy Mini Kit
.) to 70 µl Buffer RDD. Mix gently. 8. Add the DNase I incubation mix (80 µl) directly onto the RNeasy membrane, 20–30°C for 15 min. 9. Run 700µl RW1 through the mini column, 15 seconds at 12,000 rpm. 10.
Materials For purifying plasmid DNA from Escherichia coli cells, the Qiagen Spin Miniprep Kit produces quite reliable results. Do not autoclave solutions containing isopropanol or MOPS; use sterile filtration if necessary.











