相关产品推荐更多 >
万千商家帮你免费找货
0 人在求购买到急需产品
- 详细信息
- 文献和实验
- 技术资料
- 免疫原:
KLH-conjugated synthetic peptide encompassing a sequence within the C-term region of human Rhodopsin.
- 形态:
liquid
- 保存条件:
Store at -20˚C
- 克隆性:
Polyclonal
- 适应物种:
Human;Mouse
- 保质期:
12 months
- 抗原来源:
Rabbit
- 供应商:
南京赛戈巍生物科技有限公司
- 宿主:
Rabbit
- 应用范围:
WB, IHC
- 靶点:
Uniprot:P08100
- 抗体英文名:
Rhodopsin Antibody
- 规格:
50ul/100ul
计算分子量:39KD
配方:Liquid in 0.42% Potassium phosphate, 0.87% Sodium chloride, pH 7.3, 30% glycerol, and 0.01% sodium azide.
应用详情:
Western blotting:1:500 - 1:1000
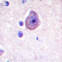
图片:

Western blot analysis of Rhodopsin expression in HL60 (A) whole cell lysates
,

Immunohistochemical analysis of Rhodopsin staining in human brain formalin fixed paraffin embedded tissue section. The section was pre-treated using heat mediated antigen retrieval with sodium citrate buffer (pH 6.0). The section was then incubated with the antibody at room temperature and detected using an HRP conjugated compact polymer system. DAB was used as the chromogen. The section was then counterstained with haematoxylin and mounted with DPX.
风险提示:丁香通仅作为第三方平台,为商家信息发布提供平台空间。用户咨询产品时请注意保护个人信息及财产安全,合理判断,谨慎选购商品,商家和用户对交易行为负责。对于医疗器械类产品,请先查证核实企业经营资质和医疗器械产品注册证情况。
文献和实验一种结合蛋白,由视黄醛(也称网膜素, retinal)和视蛋白( opsin)结合而成。视黄醛由维生素 A氧化而形成,是维生素 A的醛化合物,有多个同分异构体(此处主要为两个)。在视紫红质内与视蛋白结合的为分子构象较为卷曲的一种,即 11-顺视黄醛( 11-cisretinal),在光照下它即转变为构象较直的全 -反视黄醛( all-trans retinal)。全 -反视黄醛能进而引起视蛋白分子构象改变,并开始和视蛋白部分分离,以后又在酶的作用下继续分离,直至分解
In Vitro Biochemical Assays to Monitor Rhodopsin Function
Rhodopsin is the dim-light photoreceptor responsible for initiation of the visual transduction cascade. In the dark its activity is very low, while light activation catalyzes the activation of its G-protein transducin. The first step
视紫红(质) rhodopsin,visual purple
脊椎动物视网膜的视细胞、杆细胞外段等所含的视色素,是以 11- 顺视黄醛为生色基因,分子量约 40 , 000 的色蛋白。蛙、牛的视杆细胞外段,它占构成蛋白质的 80% 以上。把视网膜磨碎,悬浮于 36% 蔗糖液中,远心分离,收集上浮的杆细胞外段,可在表面活性剂溶液中抽提视紫红。视觉的初始过程,是由视色素的光反应而引起外段膜的 Na 离子的透性被受抑制。视紫红的光反应过程是通过低温抑制热反应,对随温度逐步上升而出现的中间产物做光谱分析而得到阐明的。从视紫红到红移视紫
技术资料暂无技术资料 索取技术资料





![MRAS Antibody[47510]](https://img1.dxycdn.com/p/s14/2025/0923/496/0462304380155040791.jpg!wh200)
![PLCB1 Conjugated Antibody[C57055]](https://img1.dxycdn.com/p/s14/2025/0922/632/2321321568067599691.jpg!wh200)
![GDF15 Antibody[34712]](https://img1.dxycdn.com/p/s14/2025/0922/359/6146153295428599691.jpg!wh200)

