相关产品推荐更多 >
万千商家帮你免费找货
0 人在求购买到急需产品
- 详细信息
- 文献和实验
- 技术资料
- 免疫原:
Peptide sequence around phosphorylation site of threonine 232(V-A-T(p)-P-E) derived from Human FOS .
- 形态:
liquid
- 保存条件:
Store at -20˚C
- 克隆性:
Polyclonal
- 适应物种:
Human
- 保质期:
12 months
- 抗原来源:
Rabbit
- 供应商:
南京赛戈巍生物科技有限公司
- 宿主:
Rabbit
- 应用范围:
WB IHC
- 靶点:
Uniprot:P01100
- 抗体英文名:
FOS (Phospho-Thr232) Antibody
- 规格:
50ul/100ul
配方:Rabbit IgG in phosphate buffered saline (without Mg2+ and Ca2+), pH 7.4, 150mM NaCl, 0.02% sodium azide and 50% glycerol.
应用详情:
Western blotting: 1:500~1:1000
Immunohistochemistry: 1:50~1:100
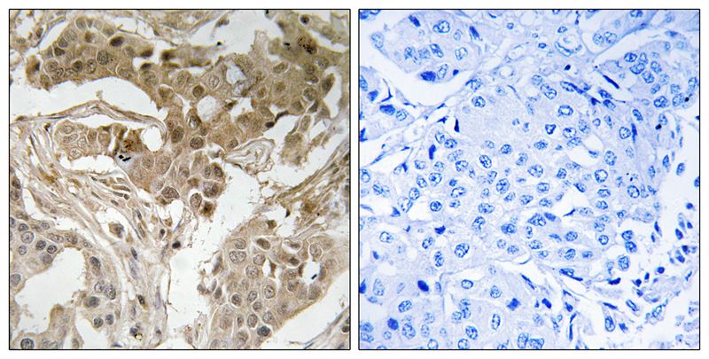
图片:

Western blot analysis of extracts from COS7 cells (Lane 2), using FOS (Phospho-Thr232) Antibody #11764. The lane on the left is treated with antigen-specific peptide.
,

Immunohistochemical analysis of paraffin-embedded human breast carcinoma tissue using FOS (Phospho-Thr232) antibody #11764 (left)or the same antibody preincubated with blocking peptide (right).
风险提示:丁香通仅作为第三方平台,为商家信息发布提供平台空间。用户咨询产品时请注意保护个人信息及财产安全,合理判断,谨慎选购商品,商家和用户对交易行为负责。对于医疗器械类产品,请先查证核实企业经营资质和医疗器械产品注册证情况。
文献和实验上海西唐生物科技有限公司 021-55229872, 65333639 www.westang.com 人C-Fos ELISA 试剂盒 原理 本实验采用双抗体夹心 ABC-ELISA 法。用抗人 C-Fos 单抗包被于酶标板上,标准品和样品中的 C-Fos与单抗结合,加入生物素化的抗人 C-Fos ,形成免疫复合物连接在板上,辣根过氧化物酶标记的 Streptavidin 与生物素结合
上海西唐生物科技有限公司 021-55229872, 65333639 www.westang.com 大鼠 C-Fos ELISA 试剂盒 原理 本实验采用双抗体夹心 ABC-ELISA 法。用抗大鼠 C-Fos 单抗包被于酶标板上,标准品和样品中的 C-Fos 与单抗结合,加入生物素化的抗大鼠 C-Fos ,形成免疫复合物连接在板上,辣根过氧化物酶标记的 Streptavidin 与生物素结合,加入底物工作液显蓝
运用Cell Based Elisa检测信号通路蛋白和磷酸化蛋白
using Phospho-p38 antibody (A) and Total-p38 antibody (B). Cell Based Elisa were performed directly in the 96-well plates using Phospho-p38 and Total-p38 antibodies (C). Figure 3: JNK detection with FACECells were serum-starved for 16 hours
技术资料暂无技术资料 索取技术资料





![Acetyl-Histone H4-K91 pAb[30920]](https://img1.dxycdn.com/p/s14/2025/0923/278/4431488150116040791.jpg!wh200)
![EpCAM Polyclonal Antibody Biotin Conjugated[C91099Bio]](https://img1.dxycdn.com/p/s14/2025/0922/498/0460884283108299691.jpg!wh200)
![S100A8 Monoclonal Antibody[42026]](https://img1.dxycdn.com/p/s14/2025/0922/568/0046652811090600791.jpg!wh200)
![ISL1 antibody[38866]](https://img1.dxycdn.com/p/s14/2025/0922/359/6146153295428599691.jpg!wh200)

