相关产品推荐更多 >
万千商家帮你免费找货
0 人在求购买到急需产品
- 详细信息
- 技术资料
- 免疫原:
recombinant protein
- 形态:
liquid
- 保存条件:
Store at -20˚C
- 克隆性:
Monoclonal antibody
- 适应物种:
Human
- 保质期:
12 months
- 抗原来源:
Recombinant Rabbit
- 供应商:
南京赛戈巍生物科技有限公司
- 宿主:
Recombinant Rabbit
- 应用范围:
WB, IHC
- 靶点:
Uniprot:Q16790
- 抗体英文名:
Carbonic anhydrase 9 Rabbit mAb
- 规格:
50ul/100ul
别名:CA-IX antibody
CA9 antibody
CAH9_HUMAN antibody
CAIX antibody
Carbonate dehydratase IX antibody
Carbonic anhydrase 9 antibody
Carbonic anhydrase IX antibody
Carbonic dehydratase antibody
G250 antibody
Membrane antigen MN antibody
MN antibody
P54/58N antibody
pMW1 antibody
RCC associated protein G250 antibody
RCC-associated antigen G250 antibody
Renal cell carcinoma-associated antigen G250 antibody
计算分子量:50 kDa
配方:1*TBS (pH7.4), 1%BSA, 40%Glycerol. Preservative: 0.05% Sodium Azide.
应用详情:WB: 1:1,000-1:2,000
IHC: 1:50-1:200
图片:
CA9 antibody
CAH9_HUMAN antibody
CAIX antibody
Carbonate dehydratase IX antibody
Carbonic anhydrase 9 antibody
Carbonic anhydrase IX antibody
Carbonic dehydratase antibody
G250 antibody
Membrane antigen MN antibody
MN antibody
P54/58N antibody
pMW1 antibody
RCC associated protein G250 antibody
RCC-associated antigen G250 antibody
Renal cell carcinoma-associated antigen G250 antibody
计算分子量:50 kDa
配方:1*TBS (pH7.4), 1%BSA, 40%Glycerol. Preservative: 0.05% Sodium Azide.
应用详情:WB: 1:1,000-1:2,000
IHC: 1:50-1:200
图片:

Western blot analysis of Carbonic anhydrase 9 on human lung lysates using anti- Carbonic anhydrase 9 antibody at 1/1,000 dilution.
,

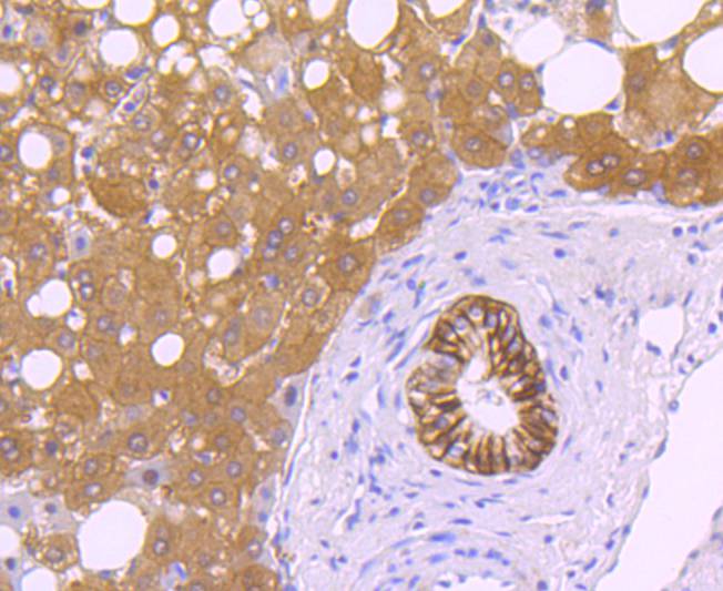
Immunohistochemical analysis of paraffin-embedded human liver cancer tissue using anti- Carbonic anhydrase 9 antibody. Counter stained with hematoxylin.
风险提示:丁香通仅作为第三方平台,为商家信息发布提供平台空间。用户咨询产品时请注意保护个人信息及财产安全,合理判断,谨慎选购商品,商家和用户对交易行为负责。对于医疗器械类产品,请先查证核实企业经营资质和医疗器械产品注册证情况。
技术资料暂无技术资料 索取技术资料
Carbonic anhydrase 9 Rabbit mAb[49262]
询价


![Carbonic anhydrase 9 Rabbit mAb[49262]](https://img1.dxycdn.com/p/s14/2025/0923/496/0462304380155040791.jpg)


![HSP 75 Polyclonal Conjugated Antibody[C46868]](https://img1.dxycdn.com/p/s14/2025/0923/305/2150219664296040791.jpg!wh200)

![Ribosomal Protein L7 Polyclonal Conjugated Antibody[C41408]](https://img1.dxycdn.com/p/s14/2025/0923/278/4431488150116040791.jpg!wh200)
![TP53 (Phospho-Ser215) Antibody[SAB468P]](https://img1.dxycdn.com/p/s14/2025/0922/498/0460884283108299691.jpg!wh200)
