相关产品推荐更多 >
万千商家帮你免费找货
0 人在求购买到急需产品
- 详细信息
- 技术资料
- 免疫原:
Recombinant protein
- 形态:
liquid
- 保存条件:
Store at -20˚C
- 克隆性:
Monoclonal antibody
- 适应物种:
Human;Mouse;Rat
- 保质期:
12 months
- 抗原来源:
Recombinant Rabbit
- 供应商:
南京赛戈巍生物科技有限公司
- 宿主:
Recombinant Rabbit
- 应用范围:
WB,IHC
- 靶点:
Uniprot:P00918
- 抗体英文名:
Carbonic anhydrase 2 Rabbit mAb
- 规格:
50ul/100ul
CA II antibody
CA-II antibody
Ca2 antibody
CAC antibody
CAH2_HUMAN antibody
CAII antibody
Car 2 antibody
Car2 antibody
Carbonate dehydratase II antibody
Carbonic anhydrase 2 antibody
Carbonic anhydrase B antibody
Carbonic anhydrase C antibody
Carbonic anhydrase C, formerly antibody
Carbonic anhydrase II antibody
Carbonic dehydratase antibody
epididymis luminal protein 76 antibody
Epididymis secretory protein Li 282 antibody
HEL-76 antibody
HEL-S-282 antibody
计算分子量:29 kDa
配方:1*TBS (pH7.4), 1%BSA, 40%Glycerol. Preservative: 0.05% Sodium Azide.
应用详情:WB: 1:1,000-1:2,000
IHC: 1:50-1:200
图片:

Western blot analysis of Carbonic anhydrase 2 on different lysates using anti-Carbonic anhydrase 2 antibody at 1/1,000 dilution.
Positive control:
Lane 1: Mouse brain
Lane 2: 293T
Lane 3: Rat liver
Lane 4: Mouse colon
,

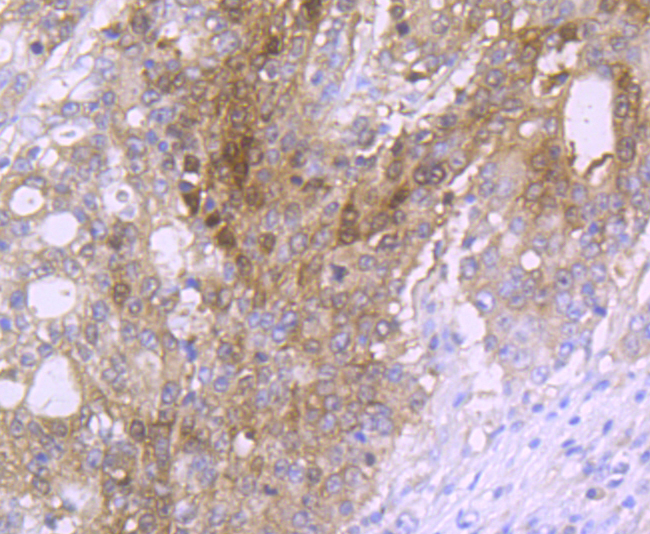
Immunohistochemical analysis of paraffin-embedded rat stomach tissue using anti-Carbonic anhydrase 2 antibody. Counter stained with hematoxylin.
,

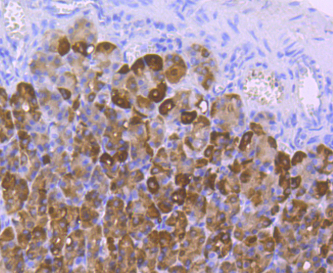
Immunohistochemical analysis of paraffin-embedded human stomach cancer tissue using anti-Carbonic anhydrase 2 antibody. Counter stained with hematoxylin.
,

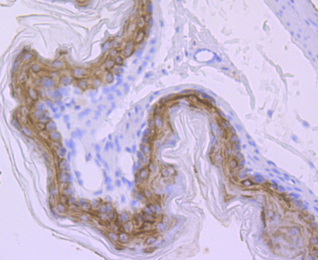
Immunohistochemical analysis of paraffin-embedded mouse stomach tissue using anti-Carbonic anhydrase 2 antibody. Counter stained with hematoxylin.
风险提示:丁香通仅作为第三方平台,为商家信息发布提供平台空间。用户咨询产品时请注意保护个人信息及财产安全,合理判断,谨慎选购商品,商家和用户对交易行为负责。对于医疗器械类产品,请先查证核实企业经营资质和医疗器械产品注册证情况。
技术资料暂无技术资料 索取技术资料


![Carbonic anhydrase 2 Rabbit mAb[49733]](https://img1.dxycdn.com/p/s14/2025/0923/278/4431488150116040791.jpg)


![Golgi membrane protein 1 Polyclonal Antibody[42527]](https://img1.dxycdn.com/p/s14/2025/0922/568/0046652811090600791.jpg!wh200)
![MTR4 antibody[38672]](https://img1.dxycdn.com/p/s14/2025/0922/359/6146153295428599691.jpg!wh200)
![MRPL28 Conjugated Antibody[C56920]](https://img1.dxycdn.com/p/s14/2025/0922/632/2321321568067599691.jpg!wh200)
![Hemopexin Conjugated Antibody[C49698]](https://img1.dxycdn.com/p/s14/2025/0923/305/2150219664296040791.jpg!wh200)
