相关产品推荐更多 >
万千商家帮你免费找货
0 人在求购买到急需产品
- 详细信息
- 文献和实验
- 技术资料
- 保存条件:
见包装
- 库存:
现货
- 供应商:
广州市左克生物
- 规格:
100mL
产品性质:
项目 | 描述 |
序列来源 | Fusarium oxysporum |
外观 | 透明 |
分子量 | 22.2 kDa |
纯度(尺寸排阻色谱) | ≥95% |
比活* | ≥27,000 U/mg |
细菌内毒素 | <5 EU/ml |
宿主蛋白残留 | <10 PPM |
最适PH | 7.0-7.4 |
储存温度 | 2-8℃ |
酶活性单位定义:25℃,pH 7.6,反应体系3.2 mL (1cm 光路),每分钟酶解BAEE(N-Benzoyl-L-Arginine-Ethyl ester)使253nm波长吸收值增加0.003定义为一个活力单位(Unit/mg protein)(2020版《中国药典》)
产品特点:
- 消化温和
- 室温稳定
- 即开即用
- 无动物源(AOF)
- 适用于有血清和无血清环境
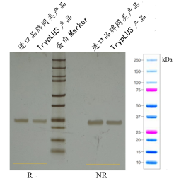
SDS-PAGE鉴定:

还原(R)和非还原(NR)条件SDS-PAGE 蛋白胶银染比较(上样0.1μg),未见杂蛋白活性数据
应用案例:
TrypLUS消化液VS进口:优良的消化性能、低细胞毒性!

运输和保存方法:2℃ ~ 8℃保存,有效期2年。
使用方法:
1. TrypLUS 可在室温条件下使用,也可在使用前预热至37℃以达到较好的消化效果 。
2. 操作步骤(T25 瓶为例) 。
2.1 T25 培养的细胞达到90%以上融合后进行消化传代。
2.2 去掉细胞培养基,加入10mL PBS 洗一次。
2.3 每瓶加入1.7mL的TrypLUS 酶,放置37℃消化3min。
2.4 使用8.3mL完全培养基重悬细胞,并使用移液器轻轻吹散细胞。
2.5 使用细胞计数仪检测细胞数和活率。
2.6 将1 ×106个细胞传代到T25培养瓶中。
2.7 传代24h后观察细胞贴壁情况。
注:消化后无需使用胰酶抑制剂
订购信息:
产品货号 | 产品名称 | 级别 | 产品规格 |
CY016R0100 | TrypLUS消化液 | 科研级 | 100mL |
CY016R0500 | TrypLUS消化液 | 科研级 | 500mL |
CYG016R0100 | TrypLUS消化液 | GMP级 | 100mL |
CYG016R0500 | TrypLUS消化液 | GMP级 | 500mL |
CYG016R5000 | TrypLUS消化液 | GMP级 | 5000mL |
CY020R0100 | 10xTrypLUS消化液 | 科研级 | 100mL |
CYG020R0100 | 10xTrypLUS消化液 | GMP级 | 100mL |
CYG020R0500 | 10xTrypLUS消化液 | GMP级 | 500mL |
风险提示:丁香通仅作为第三方平台,为商家信息发布提供平台空间。用户咨询产品时请注意保护个人信息及财产安全,合理判断,谨慎选购商品,商家和用户对交易行为负责。对于医疗器械类产品,请先查证核实企业经营资质和医疗器械产品注册证情况。
文献和实验(一) 唾液 1、直接抽取法 在急性实验中,可用吸管直接插入动物口腔或唾液腺导管抽吸唾液,此法非常简单,但从口腔抽吸唾液会有杂质混入。 2、制造腮腺瘘法 在慢性实验中,收集狗的唾液,要用外科手术方法将腮腺导管开口移向体外,即以腮腺导管为中心,切成一直径约2~3cm的圆形粘膜片,将此粘膜片,与周围组织分开,穿过皮肤切口引到颊外,将带有导管开口的粘膜片与周围的皮肤缝合,腮腺分泌的唾液就流出颊外。这种方法可以收集
夜 3 .滤过消毒 4 .分装成等份使用(1-2周内) 5 .长时间贮存在-20度 四、贴壁细胞——消化法——细胞悬液 1 .吸除或倒掉瓶内培养液。 2 .以25cm2 培养瓶为例,向瓶内加入1ml消化液(胰蛋白酶或与EDTA混合液)轻轻摇动培养瓶,使消化液流遍所有细胞表面,然后吸掉或倒掉消化液后再加1ml消化液
(一) 唾液 1、直接抽取法 在急性实验中,可用吸管直接插入动物口腔或唾液腺导管抽吸唾液,此法非常简单,但从口腔抽吸唾液会有杂质混入。 2、制造腮腺瘘法 在慢性实验中,收集狗的唾液,要用外科手术方法将腮腺导管开口移向体外,即以腮腺导管为中心,切成一直径约2~3cm的圆形粘膜片,将此粘膜片,与周围组织分开,穿过皮肤切口引到颊外,将带有导管开口的粘膜片与周围的皮肤缝合,腮腺
技术资料暂无技术资料 索取技术资料







