相关产品推荐更多 >
万千商家帮你免费找货
0 人在求购买到急需产品
- 详细信息
- 文献和实验
- 技术资料
- 库存:
500+
- 供应商:
上海曼博生物医药科技有限公司
- 规格:
0.5g aliquots/EA
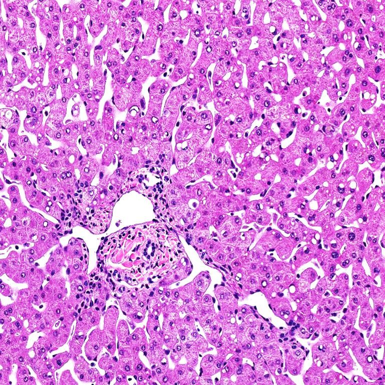
提供健康与病变组织样本,详细的供体病史和病理报告、病理诊断(包括炎症和纤维化评分)以及相应的H&E和三色图像。

速冻组织(SFT)
速冻组织(SFT)样本涵盖了 0-6 级的非酒精性脂肪肝 / 非酒精性脂肪性肝炎(NAFLD/NASH)谱系。每个样本均包含完整的捐赠者医疗及社会史报告,以及详细的组织病理学评估,包括非酒精性脂肪肝活动度评分(NAS)和纤维化分期。
福尔马林固定石蜡包埋组织样本( FFPE )
LifeNet Health 提供一系列非酒精性脂肪肝 / 非酒精性脂肪性肝炎(NAFLD/NASH)捐赠者的人肝组织福尔马林固定石蜡包埋块。

组织样本特点
- 丰富类型,更好的满足客户对样本的需求;
- 详细的报告,更有利于科研人员针对性的选择样本进行研究。

风险提示:丁香通仅作为第三方平台,为商家信息发布提供平台空间。用户咨询产品时请注意保护个人信息及财产安全,合理判断,谨慎选购商品,商家和用户对交易行为负责。对于医疗器械类产品,请先查证核实企业经营资质和医疗器械产品注册证情况。
文献和实验面积的大小:因为芯片捕获区域的面积为6.5mm X 6.5mm,所以我们要控制切割区域在这个面积以内; 2,冰冻切片的厚度:冰冻切片的厚度一般设置在10μm,但是根据不同的组织类型,切片厚度也会有所调整。例如脂肪含量较高的乳腺组织可能需要更厚的切片; 3,冰冻切片质量:由于不同的组织样本中脂质、蛋白质含量有所差异,冷冻组织的硬度和延展性并不相同,因此切片的环境温度也有所要求。温度过低,会导致组织块过硬,切片出现碎裂、薄厚不均或孔洞;而温度过高,导致组织变软,硬度不够,切片无法成形或者出现褶皱。 冰冻切片
结合的捕获探针,每个探针上都带有独特的spatial barcodes,用以标记捕获的mRNA的空间位置。 Visium FFPE的特色 采用RNA模板连接(RTL)探针组来确保高灵敏度和高特异性 对存档样本重新利用,挖掘新的生物标记物 进行回顾性研究和纵向研究,全面了解疾病复杂性 结合免疫荧光实现蛋白质与RNA的共检测或与H&E染色相结合来观察形态背景 空间转录组测序整体实验流程 对新鲜冷冻组织或FFPE组织进行切片,并将其放置在文库制备玻片上,然后进行固定,通过H&E
在无血清细胞培养条件下将人 iPS 细胞体外分化为结肠类器官
胶滴的起始数量为每管四个(假设每个胶滴的密度为 90%)。如果密度低于 90%,则每管可冷冻更多胶滴。 当类器官准备好传代进行冷冻保存时,将板从培养箱中取出。 用 P-1000 移液器上下吹打 5 次,将每个 ECM 基质胶胶滴重悬在其现有的 1 mL 培养基中。 将类器官悬液转移至锥形管中。 用 10 mL 移液器沿锥形管壁侧吹打 10 次,继续分散类器官。 以 265 x g 至 700 x g 离心锥形管。 吸出上清液并用 1 mL 1X PBS 重悬沉淀。 继续用 P
技术资料暂无技术资料 索取技术资料










