万千商家帮你免费找货
0 人在求购买到急需产品
- 详细信息
- 文献和实验
- 技术资料
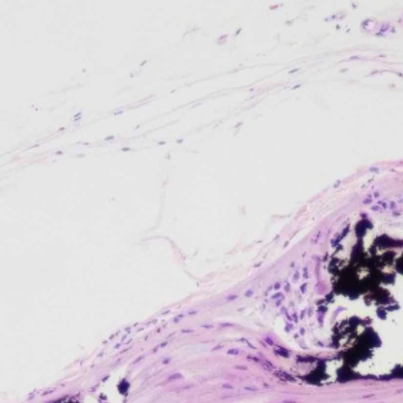
Von Kossa染色钙在人体内大量存在,构成骨骼作为支持人体的支架,在分泌、运送、肌肉收缩、神经传导等方面也起重要作用。许多染料可以与钙形成螯合物,包括茜素红S、红紫素、核固红等。
风险提示:丁香通仅作为第三方平台,为商家信息发布提供平台空间。用户咨询产品时请注意保护个人信息及财产安全,合理判断,谨慎选购商品,商家和用户对交易行为负责。对于医疗器械类产品,请先查证核实企业经营资质和医疗器械产品注册证情况。
文献和实验Von Kossa染色原理
钙盐染色常用方法有Von Kossa溶液和茜素红S法,本产品原理在于该法是一种金属置换法Von Kossa银溶液作用于含有不溶性钙盐的切片时,钙被银所置换,银盐在光的作用下被还原为黑色金属银,适用于大量样本的钙盐组织染色。
Von Kossa染色实验步骤:
(1)脱蜡至水:二甲苯Ⅰ5分钟,二甲苯Ⅱ5分钟,二甲苯Ⅲ5分钟,无水乙醇1分钟,95%乙醇1分钟,75%乙醇1分钟,蒸馏水洗1分钟。
(2)切片入Von Kossa银溶液强光照射15-60min。蒸馏水洗1min。
(3)入海波溶液处理2min。
(4)(可选)HE染色液或Van Gieson复染细胞。
(5)95%乙醇、无水乙醇脱水,二甲苯或浸蜡脱蜡透明液透明、中性树胶封固。
Multimeric Analysis of von Willebrand Factor
Von Willebrand Factor (vWF) in normal plasma is composed of a series of high molecular multimers, ranging in size from 8�105 to over 15�106 Daltons (1 ). The multimeric structure of vWF was first investigated by two-dimensional crossed
Molecular Analysis of the von Hippel-Lindau Disease Gene
Von Hippel-Lindau (VHL) disease is an autosomal dominant disorder that predisposes the affected individual to develop characteristic tumors. These include CNS hemangioblastoma, retinal angiomas, endolymphatic sac tumors, pancreatic cysts
亦称肝肾性糖原病(hepatorenal glycogeno- sis)。是一种先天性糖原蓄积病。即肝细胞和肾脏曲管上皮细胞内有糖原特殊的积存。此种糖原在代谢上不具活性,不受激素的影响。肝脏的葡萄糖-6-磷酸酶活性甚低。
技术资料暂无技术资料 索取技术资料










