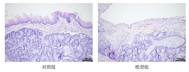
急性咽炎作为一种临床常见病、多发病,人体吸入刺激性化学气体为其主要致病因素之一。本模型采用NH3·H2O在咽部喷雾的方法,可以模拟临床上人类急性咽炎的发病因素。NH3·H2O作为碱性刺激物质,应用其高浓度局部喷雾能刺激动物咽部黏膜,使之充血肿胀,形成急性炎症。模型动物临床表现、病理形态学、超微结构等方面的观察结果均可出现典型急性咽炎的病理生理特征,与临床上人类急性咽炎的病理表现基本一致。本方法复制的动物模型可用于临床上急性咽炎药物治疗和药物筛选方面的研究。
材料和方法:
SD大鼠(雌性,8周龄)
造模方法:使用含有NH3·H2O的棉签刺激咽喉,连续3天成功制备急性咽炎模型。
评价指标:HE染色
验证:
咽部黏膜HE染色












