肝纤维化是肝脏对慢性损伤的动态愈合反应,如果不加以有效治疗,肝纤维化会最终导致肝硬化。慢性肝损伤弓|起肝纤维化的主要特点是肝细胞外基质的异常改变。此外,不同类型慢性损伤都会引起肝纤维化,例如寄生虫病、慢性病毒感染(乙肝和丙肝)、兔疫性疾病(自身免疫性肝炎)、中毒等。硫代乙酰胺(hioacetamide, TAA)是一种肝脏毒物, 会对细胞产生严重损伤,对大分子物质(蛋白质和氨基酸)合成有毒性作用,TAA会引起实验动物发生肝损伤、肝纤维化和肝硬化。
材料和方法:
Wistar大鼠(雄性,250-280g)
造模方法:腹腔注射TAA (硫代乙酰胺),每周2次, 连续3周。
评价指标: HE染色、Masson染色、 血清生化检测
验证:
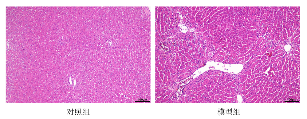
肝组织HE染色

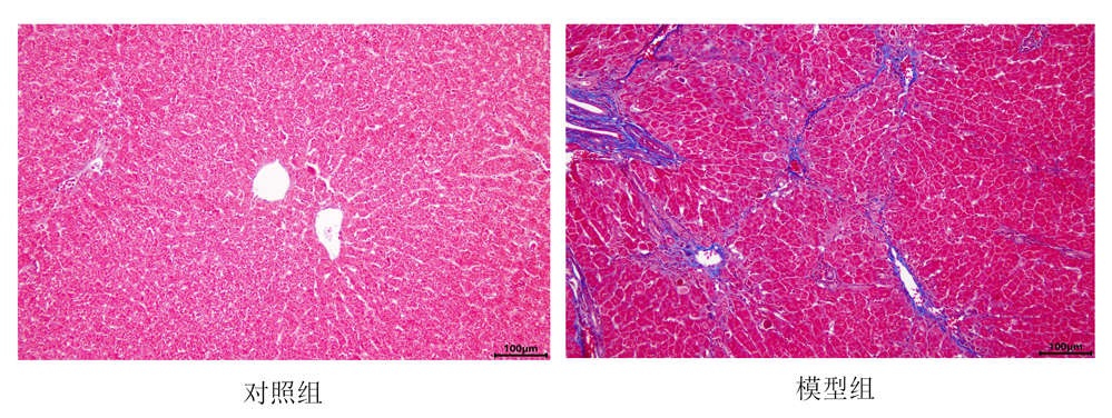
肝组织Masson染色

血清生化检测











