创伤感染模型为感染模型中合并有创伤这一基础疾病的一个亚类,属于复合型的动物模型。在该模型中,创伤是感染发生的前提。创伤后动物往往出现免疫、凝血等多种生理功能的紊乱,因此在感染的易感性、严重程度以及预后等方面均较单一感染模型更为复杂。根据合并感染方式的差异,目前常见的创伤感染模型又可分为创伤部位自发感染动物模型和创伤部位合并外源性感染动物模型等两种主要的类型。该模型广泛用于皮肤缺损修复以及局部抗感染用药的相关研究。
材料和方法:
SD大鼠(雌雄不限,6-8周龄)
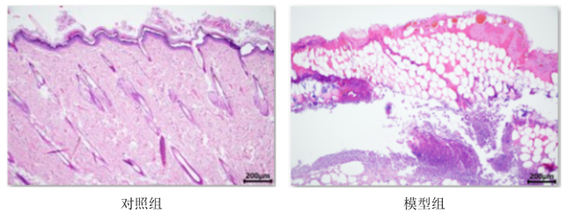
造模方法:切开皮肤后再锐性剥离,在创口筋膜层中注射金葡菌,7天后成功制备创伤感染模型。
评价指标:皮肤愈合率计算、HE染色
验证:
创面皮肤愈合率计算

创面皮肤HE染色













