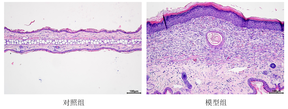
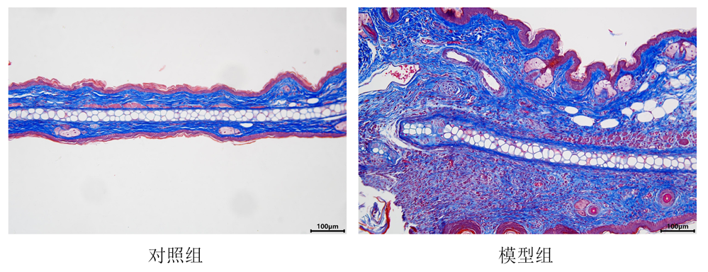
人皮肤深层创伤后通过纤维性修复的方式进行愈合。该过程中,创面基底肉芽组织增生,支持创缘表皮增殖,并向创面中央迁移,最终覆盖创面,完成愈合。由于皮肤的修复能力有一定的限度,大面积皮肤缺损往往愈合时间较长;同时,一些基础疾病可能会干扰创伤愈合的进程,使伤口迁延不愈,这些问题目前在临床上仍缺乏良好的对策。皮肤伤口的纤维性修复虽然恢复了皮肤的完整性和表皮的屏障作用,但主要是通过肉芽组织增生填补皮肤的缺损,愈合后不可避免地遗留瘢痕。皮肤伤口愈合后产生的普通癫痕,在形成后迅速讲入成熟期,期间细胞发生凋亡、胶原重排、血管密度降低,瘢痕颜色逐渐变淡、质地变软。若皮肤创伤愈合过程中炎症反应过度,或创面受到机械张力牵拉,则可能诱导增生性瘢痕的产生。增生性瘢痕的增生期明显,期间细胞增殖活跃、胶原大量沉积、多种生长因子(如转化生长因子31、胰岛素样生长因子1等)异常高表达,导致瘢痕隆起、颜色发红、质地变硬、易产生挛缩,可导致患者局部外观和功能受损,并产生严重的心理影响,是临床一大难题。
材料和方法:
ICR小鼠(雌性,6-8周龄)
造模方法:用角膜环钻在小鼠耳腹面做一切口,将切口内的组织取下,14天后成功制备鼠耳增生性瘢痕模型。
评价指标:大体观察、HE染色、Masson染色、温哥华瘢痕评分
验证:
耳部大体观察

皮肤组织HE染色

皮肤组织Masson染色

温哥华瘢痕评分












