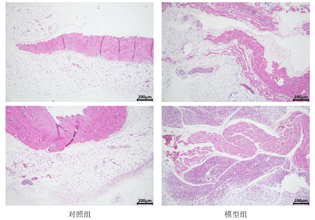
气囊模型是研究炎症的常用模型,也常作为一种对骨科生物材料较敏感的体内模型,用来检验磨损微粒刺激引起的细胞和炎症因子反应。以往制作气囊慢性炎症所采用的方法有在气囊里包埋棉花、小鼠软骨或注射细胞碎片等,虽能达到慢性炎症的效果,但此类模型有致炎因子复杂,操作难度较大,容易引起继发细菌感染等弊端。通过在气囊里注入脂多糖或卡介苗的方法可以较好克服这些弊端,能较好地模拟在单一致炎因子存在的情况下引起的慢性炎症状态。与关节慢性炎症相比,气囊的注药容量大,不仅可以对炎症分泌物进行生化分析,还可以对炎症组织中细胞、血管生成情况进行相关分析等同,且不影响小鼠正常活动。
材料和方法:
C57BL/6小鼠(雄性,25-30g)
造模方法:皮下注入空气后于第7天向两侧气囊中分别注入LPS,1周后补注液体1次成功制备皮下气囊慢性炎症模型。
评价指标:HE染色
验证:
皮肤组织HE染色













