烫伤48h后兔平均动脉压降低,但仍在正常范围内,中心动脉压变化不明显,而总外周血管阻力明显上升,其原因可能是冻伤后血管内大量的血浆样液体渗出引起低血容量。烫伤的应激刺激与低血容量均可反射性引起交感-肾上腺髓质系统的兴奋。另外,低血容量可引起肾素-血管紧张素-醛固酮系统的激活,此现象与犬烧伤并发多器官功能衰竭模型的指标变化相似。虽然本方法复制的模型平均动脉压仍在正常范围内,但其已经发生器官功能损害,提示在临床上救治烧伤患者时,以血压作为评判指标具有一定的局限性,患者在血压下降前有可能已出现多器官功能衰竭。模型动物肺功能指标呈下降趋势,肺毛细血管通透性增高,但没有达到呼吸衰竭程度,在临床上如有吸入性损伤时的肺损伤程度有可能很高。
材料和方法:
日本大耳白兔(雌雄不限,2-2.5 Kg)
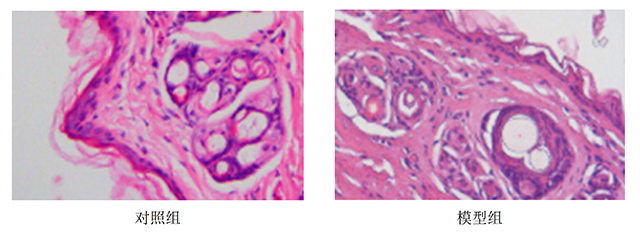
造模方法:热水92℃烫伤30%面积,构建三度烫伤模型。
评价指标:ELISA检测、HE染色
验证:
ELISA检测

皮肤组织HE染色













