相关产品推荐更多 >
万千商家帮你免费找货
0 人在求购买到急需产品
- 详细信息
- 文献和实验
- 技术资料
- 免疫原:
peptide
- 亚型:
IgG2a
- 形态:
Liquid
- 保存条件:
-20℃
- 克隆性:
mAb
- 适应物种:
Human
- 保质期:
1年
- 目录编号:
TD-31520
- 级别:
科研级
- 库存:
88
- 供应商:
武汉天德
- 宿主:
Mouse
- 应用范围:
FCM、ELISA、IHC、ICC
- 靶点:
详询
- 抗体英文名:
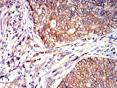
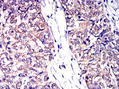
Mouse Monoclonal Antibody to CD53
- 抗体名:
CD53
- 规格:
100ul/50ul
| 规格: | 100ul | 产品价格: | ¥2180.0 |
|---|---|---|---|
| 规格: | 50ul | 产品价格: | ¥1280.0 |
Mouse Monoclonal Antibody to CD53
Description | |
| The protein encoded by this gene is a member of the transmembrane 4 superfamily, also known as the tetraspanin family. Most of these members are cell-surface proteins that are characterized by the presence of four hydrophobic domains. The proteins mediate signal transduction events that play a role in the regulation of cell development, activation, growth and motility. This encoded protein is a cell surface glycoprotein that is known to complex with integrins. It contributes to the transduction of CD2-generated signals in T cells and natural killer cells and has been suggested to play a role in growth regulation. Familial deficiency of this gene has been linked to an immunodeficiency associated with recurrent infectious diseases caused by bacteria, fungi and viruses. Alternative splicing results in multiple transcript variants. | |
Specification | |
| Aliases | MOX44; TSPAN25 |
| Entrez GeneID | 963 |
| Swissprot | P19397 |
| clone | 7A8D3 |
| WB Predicted band size | 24.3kDa |
| Host/Isotype | Mouse IgG2a |
| Antibody Type | Primary antibody |
| Storage | Store at 4°C short term. Aliquot and store at -20°C long term. Avoid freeze/thaw cycles. |
| Species Reactivity | Human |
| Immunogen | Purified recombinant fragment of human CD53 (AA: extra mix) expressed in E. Coli. |
| Formulation | Purified antibody in PBS with 0.05% sodium azide |
Application | |
|
WB
| 1/500 - 1/2000 |
| IHC | 1/200 - 1/1000 |
| FCM | 1/200 - 1/400 |
| ELISA | 1/10000 |
Product Image | |
|
|
|
|
|
风险提示:丁香通仅作为第三方平台,为商家信息发布提供平台空间。用户咨询产品时请注意保护个人信息及财产安全,合理判断,谨慎选购商品,商家和用户对交易行为负责。对于医疗器械类产品,请先查证核实企业经营资质和医疗器械产品注册证情况。
文献和实验CD53 分子 CD53 常用单克隆抗体或代号: HI36,MEM- 53,HD77 主要表达细胞: Leu,BM [NL] 分子质量(kDa)和结构: gp32- 40(TM4- SF) 功 能: B细胞活化,可能参与膜转运 CD53 Most specific and reliable pan-leukocyte marker May transduce CD
CD26 、 CD30 、 CD32 、 CD43 、 CD45 、 CD45RA 、 CD45RB 、 CD45RC 、 CD45RO 、 CD46 、 CD48 、 CD52 、 CD53 、 CD55 、 CD59 、 CD70 、 CD71 、 CD97 、 CD98 、 CD100 、 CDw108 、 CD
CD1-CD8、CD27、CD28、CD38、CD39、CDw60、CD45、CD45RA、CD45RB、CD45RO、CD98、CD99、CD99R、CD100、CDw101 B细胞 CD10、CD19-CD24、CD37、CD40、CD53、CD72-CD75、CDw76、CD77、CD78、CD79a、CD79b、CD80-CD83、CDw84、CD85、CD
技术资料暂无技术资料 索取技术资料














