相关产品推荐更多 >
万千商家帮你免费找货
0 人在求购买到急需产品
- 详细信息
- 文献和实验
- 技术资料
- 免疫原:
peptide
- 亚型:
IgG1
- 形态:
Liquid
- 保存条件:
-20℃
- 克隆性:
mAb
- 适应物种:
Human
- 保质期:
1年
- 目录编号:
TD-P20374
- 级别:
科研级
- 库存:
88
- 供应商:
武汉天德
- 宿主:
Mouse
- 应用范围:
ICC、IHC
- 靶点:
详询
- 抗体英文名:
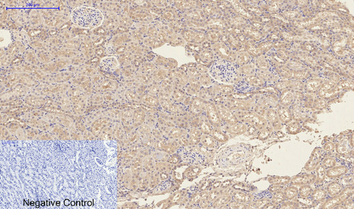
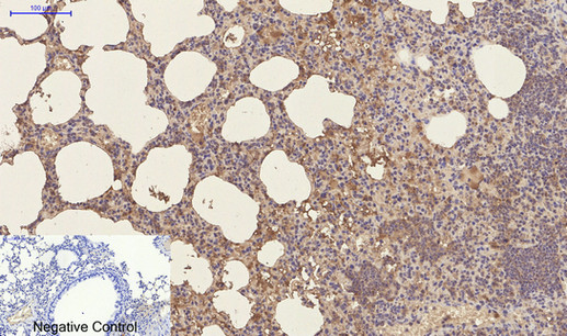
Mouse Monoclonal Antibody to CD23
- 抗体名:
CD23
- 规格:
100ul
Mouse Monoclonal Antibody to CD23
Description |
|
| This receptor has essential roles in the regulation of IgE production and in the differentiation of B-cells (it is a B-cell-specific antigen). | |
Specification |
|
| Aliases | FCER2; CD23A; CLEC4J; FCE2; IGEBF; Low affinity immunoglobulin epsilon Fc receptor; BLAST-2; C-type lectin domain family 4 member J; Fc-epsilon-RII; Immunoglobulin E-binding factor; Lymphocyte IgE receptor; CD23 |
| Entrez GeneID | 2208 |
| Swissprot | P06734 |
| clone | 10G2 |
| Host/Isotype | Mouse IgG1 |
| Antibody Type | Primary antibody |
| Storage | Store at 4°C short term. Aliquot and store at -20°C long term. Avoid freeze/thaw cycles. |
| Species Reactivity | Human,Mouse,Rat |
| Immunogen | Synthetic Peptide of CD23 |
| Formulation | Liquid in PBS containing 50% glycerol, 0.5% BSA and 0.02% sodium azide, pH 7.3. |
Application |
|
| IHC | 1/50-1/100 |
| ICC | 1/50-1/200 |
Product Image |
|
|
|
|
|
|
|
风险提示:丁香通仅作为第三方平台,为商家信息发布提供平台空间。用户咨询产品时请注意保护个人信息及财产安全,合理判断,谨慎选购商品,商家和用户对交易行为负责。对于医疗器械类产品,请先查证核实企业经营资质和医疗器械产品注册证情况。
文献和实验CD23 分子 CD23 常用单克隆抗体或代号: B6,MHM6,Leu20;(Fce RⅡ) 主要表达细胞: Bm,Ba,Ma,Eo,DC,Pt [B] 分子质量(kDa)和结构: gp45(C- lectin SF) 功 能: 参与IgE生成的调节,调节B细胞分化、粘附 CD23 Aka low affinity IgE receptor Regulates IgE
上海西唐生物科技有限公司 021-55229872, 65333639 www.westang.com 人可溶性CD23 分子 ( sCD23 )ELISA 试剂盒 ( 用于血清、血浆、细胞培养上清液和其它生物体液内 ) 原理 本实验采用双抗体夹心 ABC-ELISA 法。用抗人 sCD23 单抗包被于酶标板上,标准品和样品中的 sCD23与单抗结合,加入生物素化的抗人
Nature Cancer I 生物标志物多参数评估mTLS预测实体瘤免疫治疗效果
TLS 成熟度,需要对 CD8、CD4、CD20、CD21 和 CD23 进行多参数分析。 阻断 PD-1 受体与其主要配体 PD-L1 之间的相互作用具有显著抗癌作用,已有多种抗 PD-1 或抗 PD-L1 药物被批准用于多种实体瘤治疗。然而,大多数接受抗 PD-1 或抗 PD-L1 单克隆抗体的患者并没有从中获益。 免疫组织化学、肿瘤突变负荷 (TMB) 和微卫星不稳定性状态评估的 PD-L1 表达状态是迄今为止唯一被批准用于指导抗 PD-1 治疗的伴随诊断标志物。这些方法并不能有效区分出可能
技术资料暂无技术资料 索取技术资料










