相关产品推荐更多 >
万千商家帮你免费找货
0 人在求购买到急需产品
- 详细信息
- 文献和实验
- 技术资料
- 供应商:
上海联祖
- 库存:
24
- 规格:
1*125ml 500ml
| 产品名称 | 规格 | 货号 |
| SHP-77 细胞专用培养基 | 1*125ml 500ml | LZ-PX11292 |
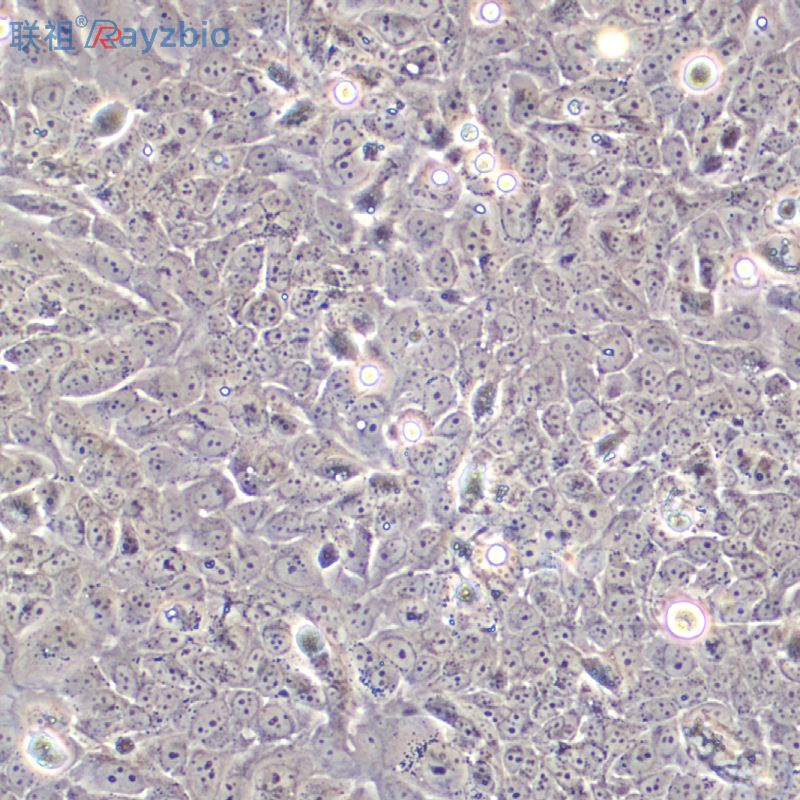
SHP-77 细胞专用培养基由团队精心优化,经过长期测试,本产品可保持SHP-77 细胞最佳的生长状态。
本产品中已包含SHP-77 细胞生长所需的各种成分,无需添加任何成分,可直接用于SHP-77 细胞的培养。
产品主要成分
1640 基础培养基 435 mL
特级胎牛血清 50 mL
P/S青霉素-链霉素 5 mL
Sodium Pyruvate酸钠 5 mL
GlutaMAX-1谷氨酰胺 5 mL
运输和保存
运输:放置于含有生物冰袋的保温箱中低温运输
保存方法:2℃~8℃,避光,保存1个月;-20℃,避光,保存3个月。
干冰运输及复苏好存活细胞
(1)1mL冻存管包装干冰运输,收到后-80度冰箱保存过夜后转入液氮或直接复苏,若发现干冰已挥发干净、冻存管瓶盖脱落、破损及细胞有污染,请立即与我们联系。
(2)T25瓶复苏的存活细胞常温发货,收到后按照细胞接收后的处理方法操作。
| IFN- Gamma(Human Interferon Gamma) ELISA Kit 人γ干扰素Multi-class antibodies规格: 48T | ETV6: 转录因子ETV6抗体 0.2ml |
| Integrin beta 1: 整合素β1/Integrin β1抗体 0.1ml | CL-0246YAC-1(小鼠淋巴瘤细胞)5×106cells/瓶×2 |
| Rhesus antibody Rh Goat Anti-Chicken IgG/PE-Cy5.5 PE-Cy5.5标记的羊抗鸡IgG 规格 0.1ml | 2BS细胞,胚肺细胞 人前列腺癌细胞,VLcop细胞 人肾小管上皮细胞;HKC |
| IgG/FITC FITC标记的兔抗羊IgG 0.3ml | APP-PS1细胞,人APP-PS1双基因转染细胞株(HEK293) 宋内氏志贺氏菌(Sh.sonnei) 山羊肾上皮样细胞;DG-K1 |
| PI Ab-IgG/IgM(human phosphatidylinositol antibody IgG/IgM) ELISA Kit 人0脂酰肌醇抗体IgG/IgM 96T | 非洲绿猴肾细胞系/HCV-NS4B;Vero-HCV-NS4B 人肝癌细胞,SK-HEP-1细胞 95-D(高转移肺癌细胞) |
| Rhesus antibody Rh S100A10 S100钙结合蛋白A10抗体 规格 0.2ml | 白细胞介素-10超家族 |
| Anti-CCL16/HCC-4/FITC 荧光素标记巨噬细胞炎性蛋白16抗体IgGMulti-class antibodies规格: 0.2ml | 大鼠肝细胞;BRL 3A |
| Anti-CEA/Gold 胶体金离子标记鼠抗人癌胚抗原单克隆抗体(包被)IgGMulti-class antibodies规格: 0.2ml | BC-020(人癌细胞) 5×106cells/瓶×2 |
| phospho-PDHA1(Ser293): 0酸化酸脱氢酶α1抗体 0.1ml | 大鼠骨髓间充质干细胞(BMSCs) Rattus |
| Anti-IL-20RB/IL-20R2/FITC 荧光素标记白介素20受体β链抗体IgGMulti-class antibodies规格: 0.2ml | ADAM9 Others Mouse 小鼠 ADAM9 人细胞裂解液 (阳性对照) |
| GHRP-Ghrelin ELISA Kit 大鼠生长激素释放肽ghrelin 96T | GPT2 Others Rat 大鼠 GPT2 杆状病毒-昆虫细胞裂解液 (阳性对照) |
| Rhesus antibody Rh Plectin 网蛋白抗体 规格 0.2ml | CD40LG Others Rat 大鼠 CD40L / CD154 / TNFSF5 人细胞裂解液 (阳性对照) |
| SHP-77 细胞专用培养基C9ORF91: 9号染色体开放阅读框91抗体 0.2ml | HAVCR2 Others Cynomolgus 食蟹猴 TIM3 / HAVCR2 人细胞裂解液 (阳性对照) |
| Rhesus antibody Rh ATP6V1G2/V-ATPase G2 氢离子转运ATP合成酶6G抗体 规格 0.2ml | A3(人T淋巴细胞白血病细胞) 5×106cells/瓶×2 子宫癌组织源性原代细胞Many types of cells包装:5 × 105次方(1ml)/1ml |
| LF/LTF (Rabbit Lactoferrin) ELISA Kit 兔乳铁传递蛋白/乳铁蛋白Multi-class antibodies规格: 96T | TNFSF13B Others Human 人 BAFF / TNFSF13B 人细胞裂解液 (阳性对照) |
风险提示:丁香通仅作为第三方平台,为商家信息发布提供平台空间。用户咨询产品时请注意保护个人信息及财产安全,合理判断,谨慎选购商品,商家和用户对交易行为负责。对于医疗器械类产品,请先查证核实企业经营资质和医疗器械产品注册证情况。
文献和实验体,后续培养后收集的细胞上清中的外泌体不确定是从细胞分泌的还是血清中来的,影响结果的准确性。 2. 营养:细胞培养是需要一定的营养的,那么如果不加血清,单独只用基础培养基,就会导致细胞处于饥饿状态,严重影响细胞生长,甚至出现吞噬外泌体的现象,影响实验结果。 3. 杂蛋白:去外泌体胎牛血清可以很好地解决 1、2 中涉及的问题,但还会存在杂蛋白影响蛋白定量结果,导致数据偏高,影响后续实验的准确性。如果使用外泌体专用无血清培养基(专门针对外泌体获取的培养基,化学成分明确,类似于完全培养基的一种
食尸鬼 SHP2的分子量到底是多少啊,有的抗体说明书上是70KD,有的是64KD,我看的文献却说是68KD,到底是多少啊,不同细胞的会有差别吗,怎么这么大? 另外有的资料上说理论值是70KD,理论值是啥意思 weixiaozhu 食尸鬼 wrote: SHP2的分子量到底是多少啊,有的抗体说明书上是70KD,有的是64KD,我看的文献却说是68KD,到底是多少啊,不同细胞的会有差别
树突状细胞培养操作步骤 准备补充剂 将补充剂混合物在 15~25℃ 解冻。在无菌条件下用移液枪小心地将补充剂混合物混匀。然后,把补充剂混合物全部加到基础培养基中。盖上瓶子,轻轻混匀直到形成均一的混合物。DC生成培养基所附带的相应的细胞因子组合包含有成分A和B,它们都是以100X 的原液状态运输的。 注意:此时不要将化合物B加入培养基中。 DC基础培养基不带细胞因子,因此使用时必须另外自行添加。 新鲜分离的单核 DC 细胞的传代 对于新鲜分离自外
技术资料暂无技术资料 索取技术资料










