相关产品推荐更多 >
万千商家帮你免费找货
0 人在求购买到急需产品
- 详细信息
- 文献和实验
- 技术资料
- 供应商:
上海联祖
- 库存:
25
- 规格:
1*125ml 500ml
| 产品名称 | 规格 | 货号 |
| MM.1R 细胞专用培养基 | 1*125ml 500ml | LZ-PX11176 |
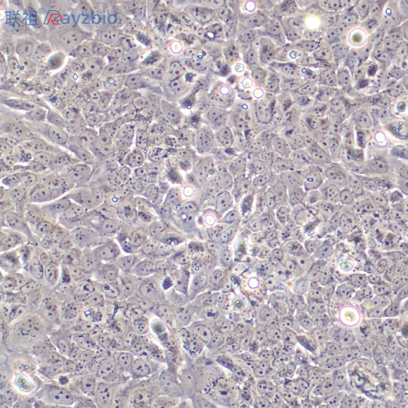
MM.1R 细胞专用培养基由团队精心优化,经过长期测试,本产品可保持MM.1R 细胞最佳的生长状态。
本产品中已包含MM.1R 细胞生长所需的各种成分,无需添加任何成分,可直接用于MM.1R 细胞的培养。
产品主要成分
1640 基础培养基 445 mL
特级胎牛血清 50 mL
P/S青霉素-链霉素 5 mL
运输和保存
运输:放置于含有生物冰袋的保温箱中低温运输
保存方法:2℃~8℃,避光,保存2个月;-20℃,避光,保存6个月。
干冰运输及复苏好存活细胞
(1)1mL冻存管包装干冰运输,收到后-80度冰箱保存过夜后转入液氮或直接复苏,若发现干冰已挥发干净、冻存管瓶盖脱落、破损及细胞有污染,请立即与我们联系。
(2)T25瓶复苏的存活细胞常温发货,收到后按照细胞接收后的处理方法操作。
| RAGEF2: RAGEF2蛋白抗体 0.1ml | CK18(Cytokeratin 18) 细胞角蛋白18抗原(C端)Multi-class antibodies规格: 0.5ml |
| Anti-GFAP/FITC 荧光素标记胶质纤维酸性蛋白抗体IgGMulti-class antibodies规格: 0.2ml | EB病毒转化的人B淋巴细胞;KMY0903 新生儿表皮角化细胞完全培养基 100mL |
| u-T4 ELISA Kit 大鼠高敏甲状腺素 96T | EGFR Others Human 人 EGFR / ErbB1 人细胞裂解液 (阳性对照) |
| Rhesus antibody Rh IgM/Alexa Fluor 555 Alexa Fluor 555标记的兔抗鸡IgM 规格 0.1ml | SK-OV-3(人卵巢癌细胞) 5×106cells/瓶×2 小鼠 Alpha 1 Aiypsin / SerpinA1a 人细胞裂解液 (阳性对照) |
| CD200: 膜糖蛋白CD200抗体 0.1ml | CST3 Others Mouse 小鼠 CST3 / Cystatin-C / Cystatin-3 人细胞裂解液 (阳性对照) |
| Rhesus antibody Rh C1orf187 1号染色体开放阅读框187抗体 规格 0.2ml | IFNAR1 Others Human 人 IFNAR1 / IFNAR 人细胞裂解液 (阳性对照) |
| 5-NT(Mouse 5-Nucleotidase) ELISA Kit 小鼠5核苷酸酶Multi-class antibodies规格: 48T | GRK6 Others Human 人 GRK6 / GPRK6 杆状病毒-昆虫细胞裂解液 (阳性对照) |
| DNER: 脑表皮生长因子跨膜蛋白DNER抗体 0.1ml | PDGFRB Others Human 人 PDGFRB / PDGFR-1 / CD140b 人细胞裂解液 (阳性对照) |
| Anti-JAK1 蛋白质酪氨酸激酶JAK-1抗体Multi-class antibodies规格: 0.2ml | EDNRB Others Human 人 EDNRB / Endothelin B Receptor 人细胞裂解液 (阳性对照) |
| Anti-Chloramphenicol/FITC 荧光素标记抗氯霉素抗体IgGMulti-class antibodies规格: 0.2ml | 中国仓鼠卵巢细胞系;CHO-TGF-beta-3/2000 Carrying Psv2-beta-TGF |
| APC70: 转录激活蛋白crsp70抗体 0.2ml | CM-R085大鼠表皮角化细胞完全培养基100mL |
| 周期蛋白依赖激酶抑制因子1C抗体 Anti-Cdkn1c/p57/Kip2 0.2ml | 小鼠树突状细胞肉瘤低转移细胞(VAP33-GFP融合蛋白稳定过表达);DG6-VAP33-GFP |
| MM.1R 细胞专用培养基Rhesus antibody Rh hemagglutinin protein/H 麻疹病毒血凝素抗体 规格 0.2ml | CL-0422RBL-1(大鼠嗜碱性粒细胞性白血病细胞)5×106cells/瓶×2 |
| Beta-Amyloid(1-16) β淀粉样肽1-16(多肽蛋白) 0.5mg | 大鼠心肌细胞完全培养基 100mL |
| Ly-6G/Gr-1: 淋巴细胞抗原6G抗体 0.2ml | CM-H030人外周血白细胞完全培养基100mL |
风险提示:丁香通仅作为第三方平台,为商家信息发布提供平台空间。用户咨询产品时请注意保护个人信息及财产安全,合理判断,谨慎选购商品,商家和用户对交易行为负责。对于医疗器械类产品,请先查证核实企业经营资质和医疗器械产品注册证情况。
文献和实验相关实验
树突状细胞培养操作步骤 准备补充剂 将补充剂混合物在 15~25℃ 解冻。在无菌条件下用移液枪小心地将补充剂混合物混匀。然后,把补充剂混合物全部加到基础培养基中。盖上瓶子,轻轻混匀直到形成均一的混合物。DC生成培养基所附带的相应的细胞因子组合包含有成分A和B,它们都是以100X 的原液状态运输的。 注意:此时不要将化合物B加入培养基中。 DC基础培养基不带细胞因子,因此使用时必须另外自行添加。 新鲜分离的单核 DC 细胞的传代 对于新鲜分离自外
细胞培养的基本步骤都有哪些?复苏、传代、冻存的基本操作是什么样的?如果你刚刚开始细胞培养实验,想要建立稳定的细胞培养流程,快来听Dr. 赛的讲解吧。
PromoCell MSC分化培养操作步骤 一、向神经细胞分化的操作流程 1、将塑料培养器用纤维连接蛋白包被根据操作手册,用纤维连接蛋白(C-43050)包被合适的组织培养瓶。使用浓度为10μg/ml。2、接种间充质干细胞用MSC生长培养基(C-28010)在用纤维连接蛋白包被过的培养瓶中接种培养,接种密度为4000个/cm2。3、培养间充质干细胞将细胞培养至80%的饱和度,每48小时更换一次培养基。4、诱导间充质干细胞用MSCU经细胞分化培养基(C-28015)诱导培养,用MSC
技术资料暂无技术资料 索取技术资料
MM.1R 细胞专用培养基
¥3000 - 6900










