相关产品推荐更多 >
万千商家帮你免费找货
0 人在求购买到急需产品
- 详细信息
- 文献和实验
- 技术资料
- 供应商:
上海联祖
- 库存:
22
- 规格:
1*125ml 500ml
| 产品名称 | 规格 | 货号 |
| U87MG+RFP 细胞专用培养基 | 1*125ml 500ml | LZ-PX10669 |
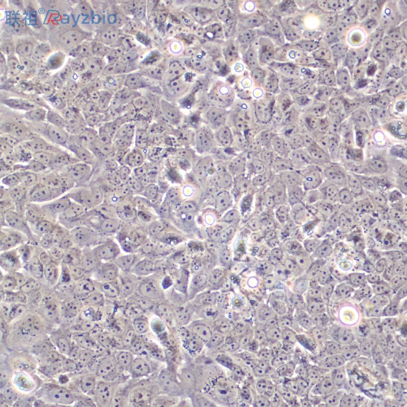
U87MG+RFP 细胞专用培养基由团队精心优化,经过长期测试,本产品可保持U87MG+RFP细胞最佳的生长状态。
本产品中已包含U87MG+RFP 细胞生长所需的各种成分,无需添加任何成分,可直接用于U87MG+RFP 细胞的培养。
产品主要成分
MEM基础培养基 435 mL
特级胎牛血清 50 mL
MEM NEAA非必需氨基酸 5 mL
GlutaMAX-1谷氨酰胺 5 mL
P/S青霉素-链霉素 5 mL
运输和保存
运输:放置于含有生物冰袋的保温箱中低温运输
保存方法:2℃~8℃,避光,保存1个月;-20℃,避光,保存3个月。
干冰运输及复苏好存活细胞
(1)1mL冻存管包装干冰运输,收到后-80度冰箱保存过夜后转入液氮或直接复苏,若发现干冰已挥发干净、冻存管瓶盖脱落、破损及细胞有污染,请立即与我们联系。
(2)T25瓶复苏的存活细胞常温发货,收到后按照细胞接收后的处理方法操作。
| REC8: 减数分裂重组蛋白家族REC8抗体 0.2ml | Caspase-12(hunman) 半胱胺酸蛋白酶蛋白-12抗原(人)Multi-class antibodies规格: 0.5mg |
| Anti-GSR/GRase/FITC 荧光素标记谷胱甘肽还原酶抗体IgGMulti-class antibodies规格: 0.2ml | 人羊膜上皮细胞裂解物HAmEpiCL |
| FA ELISA Kit 大鼠叶酸 96T | 人胚肾细胞;293 Cells, low passage |
| Rhesus antibody Rh APC APC标记的兔抗生物素抗体IgG 规格 0.1ml | 人细胞;Hela S3 [HeLaS3] |
| c-fos: c-fos抗体 0.1ml | 恒河猴肾细胞;RM-1 |
| Rhesus antibody Rh C CBL 原癌基因CBL2抗体 规格 0.2ml | 小鼠卵巢成纤维细胞完全培养基 100mL |
| SP-R(Mouse substance P receptor) ELISA Kit 小鼠P物质受体Multi-class antibodies规格: 48T | SV40转化的非洲绿猴肾细胞;COS-7 |
| FBXO36: FBXO36 F-box蛋白相关蛋白36抗体 0.2ml | 人胚肺成纤维细胞;MRC-5 |
| Anti-Mannan Binding Lectin 甘露聚糖结合凝集素抗体Multi-class antibodies规格: 0.2ml | 中国仓鼠卵巢细胞(亚系克隆);CHO 1beta9,12.5 Clone 36 |
| Anti-COX-2/FITC 荧光素标记前列腺素氧化环化酶2抗体IgGMulti-class antibodies规格: 0.2ml | ACHN人肾细胞腺癌细胞 ACHN human renal cell carcinoma cells MEM培养基(GIBCO)+10%FBS |
| APS: APS抗体 0.1ml | HT-29细胞,人结肠癌细胞 人胚肾细胞,293细胞 肾系膜细胞Many types of cells包装:5 ×105次方(1ml) |
| 结直肠癌缺失基因抗体 Anti-DCC 1ml | TF-1细胞,人血液白血病细胞 615小鼠状肺腺癌瘤株,P615细胞 人少突胶质前体细胞裂解物HOPCL |
| U87MG+RFP 细胞专用培养基Rhesus antibody Rh HAGHL 羟基酰谷胱甘肽水解酶样蛋白抗体 规格 0.2ml | 家猫肺细胞;FCA-L1 羊膜细胞,Ha Fe细胞 BaF3细胞,小鼠原B细胞株 |
| IgG/Alexa Fluor 350 Alexa Fluor 350标记的兔抗水貂IgG 0.1ml | FGF21 Protein Mouse 重组小鼠 FGF21 / Fibroblast Growth Factor 21 蛋白 (His 标签) |
| KCNMB1: 钙激活通道蛋白β1抗体 0.2ml | 小鼠单核巨噬细胞白血病细胞;RAW 264.7 [RAW264.7 |
风险提示:丁香通仅作为第三方平台,为商家信息发布提供平台空间。用户咨询产品时请注意保护个人信息及财产安全,合理判断,谨慎选购商品,商家和用户对交易行为负责。对于医疗器械类产品,请先查证核实企业经营资质和医疗器械产品注册证情况。
文献和实验相关实验
体,后续培养后收集的细胞上清中的外泌体不确定是从细胞分泌的还是血清中来的,影响结果的准确性。 2. 营养:细胞培养是需要一定的营养的,那么如果不加血清,单独只用基础培养基,就会导致细胞处于饥饿状态,严重影响细胞生长,甚至出现吞噬外泌体的现象,影响实验结果。 3. 杂蛋白:去外泌体胎牛血清可以很好地解决 1、2 中涉及的问题,但还会存在杂蛋白影响蛋白定量结果,导致数据偏高,影响后续实验的准确性。如果使用外泌体专用无血清培养基(专门针对外泌体获取的培养基,化学成分明确,类似于完全培养基的一种
树突状细胞培养操作步骤 准备补充剂 将补充剂混合物在 15~25℃ 解冻。在无菌条件下用移液枪小心地将补充剂混合物混匀。然后,把补充剂混合物全部加到基础培养基中。盖上瓶子,轻轻混匀直到形成均一的混合物。DC生成培养基所附带的相应的细胞因子组合包含有成分A和B,它们都是以100X 的原液状态运输的。 注意:此时不要将化合物B加入培养基中。 DC基础培养基不带细胞因子,因此使用时必须另外自行添加。 新鲜分离的单核 DC 细胞的传代 对于新鲜分离自外
细胞培养的基本步骤都有哪些?复苏、传代、冻存的基本操作是什么样的?如果你刚刚开始细胞培养实验,想要建立稳定的细胞培养流程,快来听Dr. 赛的讲解吧。
技术资料暂无技术资料 索取技术资料
U87MG+RFP 细胞专用培养基
¥3000 - 6900










