相关产品推荐更多 >
万千商家帮你免费找货
0 人在求购买到急需产品
- 详细信息
- 文献和实验
- 技术资料
- 供应商:
上海联祖
- 库存:
45
- 规格:
100ml 500ml
| 产品名称 | 规格 | 货号 |
| 原代精原细胞培养体系 | 100ml 500ml | LZ-PX10654 |
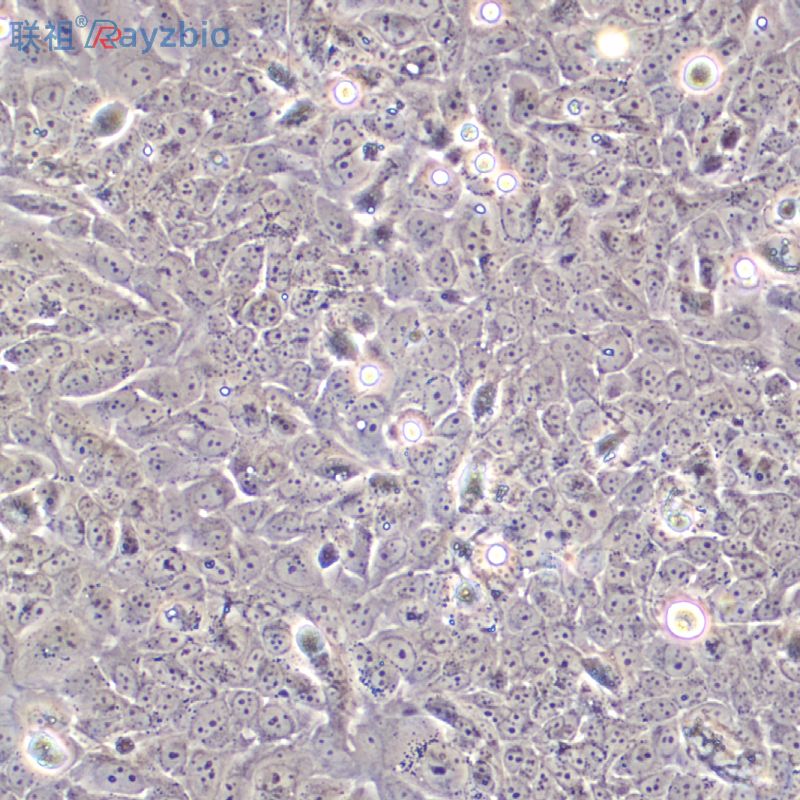
原代精原细胞培养体系是一个为体外生长的人、大鼠、小鼠、兔等哺乳动物的精原细胞设计的理想的完全培养基方案。本体系是一个基于碳酸氢盐的缓冲体系,可以在孵育的5%的CO2的气体环境下维持一个围绕pH7.2的酸碱缓冲体系。本体系是一个无菌的液体混合系统,其中包含必须和非必须氨基酸、维生素、激素、生长因子、微量元素和一些其他的有机和无机化合物以及胎牛血清(10%)。本培养体系是基于固定配方配制的液态培养体系,可以为体外培养的人、大鼠、小鼠、兔等哺乳动物的精原细胞提供一个确定适宜的平衡营养环境,
运输和保存
放置于含有生物冰袋的保温箱中低温运输(体系中的各组分请按上述列表中的条件进行储存)
产品使用
1) 本产品仅能用于科研
2) 本产品未通过直接用于活体动物和人的审核
3) 本产品未通过用于活体诊断的审核
| c-myc(Human c-myc Oncogene product) ELISA Kit 人c-myc癌基因产物Multi-class antibodies规格: 48T | EXTL2: 外生性骨疣样蛋白2抗体 0.2ml |
| IL5RA/CD125: 白介素-5受体α链抗体IL-5Rα 0.1ml | 软骨细胞Many types of cells包装:5 × 105次方(1ml) |
| Rhesus antibody Rh GLP-1 胰高血糖素样肽-1抗体 规格 0.1ml | EB病毒转化的人B淋巴细胞;KMYB |
| PE-Cy7 PE-Cy7标记的兔抗生物素抗体IgG 0.1ml | 色标法检测试剂盒NO |
| VA ELISA Kit 大鼠维生素A 96T | 人胚胎眼巩膜成纤维细胞;HFSF |
| Rhesus antibody Rh RNF128 环指蛋白128抗体 规格 0.2ml | BxPC-3 人原位胰腺腺癌细胞 |
| Anti-CD69/CLEC2C/AIM/FITC 荧光素标记活化诱导分子CD69抗体IgGMulti-class antibodies规格: 0.2ml | 人支气管平滑肌细胞RNAHBSMC miRNA5 μg |
| Anti-Synapsin I /FITC 荧光素标记神经突触素1抗体IgGMulti-class antibodies规格: 0.2ml | 内皮细胞培养基ECM |
| Phospho-PLC gamma 1(Ser1248): 0酸化0酯酶Cγ1抗体 0.1ml | 叙利亚仓鼠皮肤细胞;GH-S1 |
| Anti-KLF8/FITC 荧光素标记KLF样转录因子8抗体IgGMulti-class antibodies规格: 0.2ml | hDPSCs, 人前磨牙牙髓干细胞 |
| MIP-5(Human macrophage inflammatory protein 5) ELISA Kit 人巨噬细胞炎性蛋白5 96T | SKOV-3/DDP细胞,卵巢癌顺铂耐药株 人卵巢癌细胞,Ovary细胞 人真皮微血管内皮细胞cDNAHDMEC cDNA |
| Rhesus antibody Rh phospho-TSC1(Ser505) 0酸化结节性硬化症蛋白1抗体 规格 0.1ml | Rb细胞,人视网膜母细胞瘤 宛氏拟青霉 人癌细胞;MDA-MB-468 |
| 原代精原细胞培养体系BAI1: 脑特异性血管生成抑制蛋白1抗体 0.2ml | 婆罗门牛皮肤成纤维样细胞;BOS-4 白血病原髓细胞,HL-60细胞 Dami(巨核细胞白血病细胞) |
| Rhesus antibody Rh ARHG7 p21活化蛋白激酶ARHG7抗体 规格 0.2ml | IL1B Protein Canine 重组狗 IL-1 beta / IL1B 蛋白 |
| LH Poultry ELISA Kit LH 禽类酶联免疫ELISA试剂盒Multi-class antibodies规格: 96T | tTA基因修饰的小鼠畸胎瘤细胞(B类);F9-CAG-tTA-4D6 |
干冰运输及复苏好存活细胞
(1)1mL冻存管包装干冰运输,收到后-80度冰箱保存过夜后转入液氮或直接复苏,若发现干冰已挥发干净、冻存管瓶盖脱落、破损及细胞有污染,请立即与我们联系。
(2)T25瓶复苏的存活细胞常温发货,收到后按照细胞接收后的处理方法操作。
风险提示:丁香通仅作为第三方平台,为商家信息发布提供平台空间。用户咨询产品时请注意保护个人信息及财产安全,合理判断,谨慎选购商品,商家和用户对交易行为负责。对于医疗器械类产品,请先查证核实企业经营资质和医疗器械产品注册证情况。
文献和实验相关实验
在细胞生物学领域,原代细胞培养作为解开生命奥秘的重要工具,要求实验者遵循一系列关键的注意事项以确保可靠的实验结果。 本文将深入探讨如何在原代细胞培养过程中应用这些关键要点: 原代培养要重点注意无菌操作,所用器械需提前高压灭菌; 鼠胚原代培养时,获取组织较少,建议在冷光源体视显微镜下操作; 原代细胞培养过程比较慢,培养时间最少需要一周的时间。若 2 天后可能会出现培养基变黄的现象,且无漂浮物,排除污染,属于正常现象。这是因为细胞在贴壁生长过程中释放了 CO2 和其他物质导致培养液 PH
如何为自己心爱的细胞选择合适的基础培养基?如何为挑剔的细胞添加合适的添加剂?如何切换血清?让自己宝贝的细胞愉快生长,答案就在这节课中。还等什么呢,快来听 Dr. 赛的讲解吧。
bahai 各位老师好,最近在做阴道壁鳞状细胞的原代培养,一直不见起色,培养不成功,情况就是没有任何细胞长出来,特来请教大家。 看了好多文献,看了很多细胞培养的资料,咨询过很多同学,然后做了多次,都是没有细胞,呵呵 现在有这么几个问题: 1:培养基的选择: 文献中都说用的是K-SFM培养基,我现在是用了K-SFM培养基和DMEM/F12两种培养基同时做,希望对比一下两种培养基的情况。 结果都是
技术资料暂无技术资料 索取技术资料
原代精原细胞培养体系
¥3000 - 6900










