万千商家帮你免费找货
0 人在求购买到急需产品
- 详细信息
- 文献和实验
- 技术资料
- 供应商:
上海联祖
- 库存:
54
- 生长状态:
贴壁生长
- 是否是肿瘤细胞:
否
- 规格:
T25培养瓶
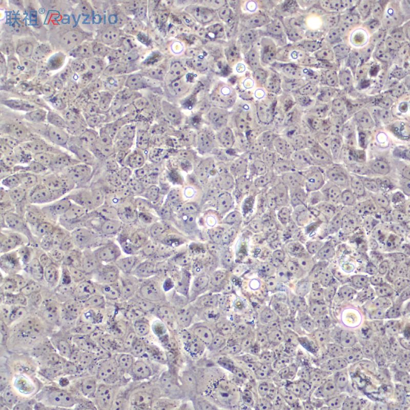
| 细胞名称 | 羊子宫内膜上皮细胞 |
| 货号 | LZ-YX10571 |
| 规格 | T25培养瓶 |
| 培养条件 | 温度:37℃ |
| 种属 | 动物原代细胞 |
| 运输 | 常温 |
公司正在出售的产品:
| 人脐静脉内皮细胞;HUV-EC | 猕猴皮肤细胞;MMS7 人淋巴胚胎性癌细胞,Cates-1B细胞 MDA-MB-453(癌细胞) |
| 人细胞;Hela P10s-11F 大鼠血管外膜成纤维细胞完全培养基 100mL | RASGEF1A: 鸟嘌呤核苷酸交换因子rasgef1a抗体 0.2ml |
| Promocell C-27417 Preadipocyte Growth Medium KIT, 前脂肪细胞生长培养基套装 500ml | Anti-HA tag/HRP 辣根过氧化物酶标记HA tag标签抗体IgGMulti-class antibodies规格: 0.2ml |
| 大鼠嗜碱性粒细胞性白血病细胞;RBL-1 | Orexin A(Human Orexin A) ELISA Kit 人阿立新A 96T |
| 小肠隐窝上皮细胞Many types of cells包装:5 × 105次方(1ml) | Rhesus antibody Rh APC APC标记的兔抗亲和素 规格 0.1ml |
| NCI-H1688(人典型小细胞肺癌细胞) 5×106cells/瓶×2 | C16orf57: 16号染色体开放阅读框57抗体 0.2ml |
| CL-0026ARPE-19(人视网膜上皮细胞)5×106cells/瓶×2 | Rhesus antibody Rh BTBD19 BTB/POZ结构域蛋白19抗体 规格 0.2ml |
| 双位点HC-kit受体细胞株;DMF7 | A Beta1-40(Mouse amyloid beta peptide 1-40) ELISA Kit 小鼠β淀粉样蛋白Multi-class antibodies规格: 48T |
| 人肾成纤维细胞完全培养基 100mL | ENTPD2: CD39样蛋白1抗体 0.2ml |
| 小肠血管内皮细胞Many types of cells包装:5 × 105次方(1ml) | Anti-LIR-6 白细胞免疫球蛋白样受体6抗体Multi-class antibodies规格: 0.2ml |
| Raw264.7, 小鼠单核巨噬细胞白血病细胞 Mouse | Anti-CRHR1/CRFR1/FITC 荧光素标记促肾上腺皮质释放激素受体1抗体IgGMulti-class antibodies规格: 0.2ml |
| 大鼠胚胎心肌细胞;H9c2(2-1) 胶质瘤细胞,SHG-44细胞 W6/32细胞,小鼠B细胞杂交瘤细胞 | ATG4D: 自噬相关蛋白4D抗体 0.2ml |
| 羊子宫内膜上皮细胞CCL5 Protein Human 重组人 CCL5 / RAES 蛋白 (His & mucin 标签) | 兔抗人鸟苷三0酸酶-发动蛋白2抗体 Anti-Dynamin 2 0.1ml |
| P19细胞,小鼠畸胎瘤细胞 MCF7(癌细胞) 人横纹肌肉瘤细胞;A-204 | Rhesus antibody Rh H1N1 Hemagglutinin 2 甲型流感病毒血凝素抗体 规格 0.1ml |
| 黑人Butt淋巴瘤细胞;RAJI | IgG/FITC FITC标记的兔抗长爪沙鼠IgG 0.3ml |
注意事项:
1.收到细胞后,若发现干冰已挥发干净、冻存管瓶盖脱落、破损及细胞有污染,请立即与我们系。
2.收到细胞先不开瓶盖,瓶身擦拭酒精后放在培养箱静置2-4小时(视细胞密度而定)稳定细胞状态。接着在倒置显微镜下观察细胞生长情况,并对细胞进行不同倍数拍照(建议收细胞时就整体外观拍一张照片,观察培养基的颜色和是否有漏液情况,随后在显微镜下拍下细胞状态,100*,200*各一张),观察记录细胞在运输过程中是否有污染情况。作为我方进行销售依据。
3.由于细胞状态受环境、操作和运输等多方面因素影响,故本公司只保证客户收到细胞后一周内的细胞状态,故客户需要售后时需出示收到细胞的时间证明及客户提供收货时间和发现问题后客服人员沟通的时间证明,期间间隔时间不能大于7天。
4.所有动物细胞均视为有潜在的生物危害性,必须在二级生物安全台内操作,并请注意防护,所有废液及接触过此细胞的器皿需要灭菌后方能丢弃。
5.客户在细胞培养过程中任何问题可联系我们在线客服,我们随时给予解答。
风险提示:丁香通仅作为第三方平台,为商家信息发布提供平台空间。用户咨询产品时请注意保护个人信息及财产安全,合理判断,谨慎选购商品,商家和用户对交易行为负责。对于医疗器械类产品,请先查证核实企业经营资质和医疗器械产品注册证情况。
文献和实验【讲座】精品文献讲座第一讲---三苯氧胺在子宫内膜癌的调节机制
雌激素相关靶基因的表达,而且调控一系列独特的基因表达,进而发现PAX2基因在介导雌激素和三苯氧胺刺激的子宫内膜细胞的增殖和癌变过程中起着关键作用。此外,他们还发现PAX2只在子宫内膜癌细胞中被雌激素和三苯氧胺激活表达,而在正常的子宫内膜上皮细胞中则不能被雌激素和三苯氧胺激活,这种差异是由于与癌症相关的PAX2基因启动子低甲基化造成的。 实验设计(括号内为实验的意义和感想): 1. 确定基因芯片处理时间 子宫内膜癌上皮细胞Ⅰ期,Ⅱ期分别原代培养 预实验3小时产生最大量的雌激素受体的靶基因
免疫反应,同时已知也是妊马血清生殖腺刺激激素(pregnant mare’s serum go- nadotropin,PMSG)产生的重要部位,所以与上皮绒毛胎盘是有区别的。像牛或羊一类的反刍动物的胎盘也是结缔组织绒毛性,在内膜上形成称为子宫肉阜(caruncle)的丘状体。此组织与子宫内膜杯的关系并不十分清楚。
阴道脱落细胞多数为宫颈及阴道上皮,较少见子宫内膜细胞。阴道细胞学检查在脱落细胞中应用最为广泛。 (一)正常脱落上皮细胞 1.鳞状上皮细胞:从外阴向内直至子宫颈外口的黏膜均被覆鳞状上皮。在其脱落细胞中可见底层、中层、表层3层细胞,细胞形态与正常脱落的鳞状上皮细胞基本相同。阴道上皮细胞形态变化与卵巢激素关系密切相关。 (1)底层细胞:分为内底层和外底层细胞。阴道涂片一般不见内底层细胞,仅在哺乳期、闭经后,阴道高度萎缩或糜烂、创伤时才见。 外底层细胞根据来源
技术资料暂无技术资料 索取技术资料










