相关产品推荐更多 >
万千商家帮你免费找货
0 人在求购买到急需产品
- 详细信息
- 文献和实验
- 技术资料
- 形态:
Liquit
- 保存条件:
-20℃
- 克隆性:
单克隆
- 适应物种:
Human,(predicted:Mouse,Rat,)
- 保质期:
1年
- 抗原来源:
peptiede
- 目录编号:
TDCVR-0011
- 级别:
科研级
- 库存:
88
- 供应商:
武汉天德
- 宿主:
兔
- 浓度:
1mg/ml
- 抗体英文名:
Vascular Endothelial Griowth Factor(VEGF)
- 抗体名:
Vascular Endothelial Griowth Factor(VEGF)
- 规格:
1ml工作液

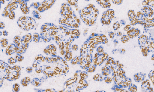
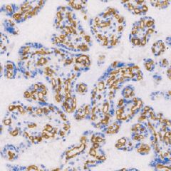
Vascular Endothelial Griowth Factor(VEGF)兔抗人血管内皮生长因子单克隆抗体
血管内皮生长因子(VEGF)是一种重要的信号蛋白,主要参与血管的生成。它可以改变内皮细胞基因的活化形式增强血管通透性,诱导血管生成。其主要应用于各种肿瘤组织中血管生成的研究,它的表达与肿瘤的恶性程度呈正相关。
- 货号:TDCVR-0011
- 克隆号:RBT-VEGF
- 阳性部位:胞质
- 适用组织:石蜡组织
- 预处理:热修复
风险提示:丁香通仅作为第三方平台,为商家信息发布提供平台空间。用户咨询产品时请注意保护个人信息及财产安全,合理判断,谨慎选购商品,商家和用户对交易行为负责。对于医疗器械类产品,请先查证核实企业经营资质和医疗器械产品注册证情况。
文献和实验抗体使用小技巧_技术资料_丁香通 (biomart.cn)
tissue,human testis tissue,human brain tissue IF:Hela,HepG2 另外有 HRP、FITC、Bintin 标记的多抗对应货号分别为: CSB-PA07179B0Rb、CSB-PA07179C0Rb、CSB-PA07179D0Rb 兔抗人淀粉样肽 beta A4 蛋白单克隆抗体 货号:CSB-MA0019501A0m 识别
通过抑制能够刺激新血管形成的所谓“血管内皮生长因子”,使肿瘤组织无法获得所需的血液、氧和其他养分而最终“饿死”,以达到抗癌功效。FDA在2004.2.26批准该药)。 2002年3月5日古巴分子免疫学中心(CIM,古巴哈瓦那)和它的商业分支机构CIMAB SA(www.cim.sld.cu)的人源化单克隆抗体TheraCIM h-R3(作为与放疗联合使用的药物,治疗晚期头颈癌)获得了古巴国家药品权威部门即古巴政府药品质量控制中心(CECMED,古巴哈瓦那)的癌症快速通道审批通过。2004年2月
一、实验原理 将抗C5a单克隆抗体包被固相聚苯乙烯板,加入经聚乙二醇(PEG)处理的待测样本,然后依次加入兔抗人C5a-IgC多克隆抗体和过氧化物酶标记的猪抗兔IsC,再加入底物2,2’-连氮-双(3-乙基苯骈唑啉-6-磺酸盐)(ABTS)和H2O2显色,于酶标仪405 mn处测定每分钟光密度增加量(OD/min),以OD/min为纵坐标,C5a标准晶浓度为横坐标绘制标准曲线图,求出待测样本中C5a的含量。 二、实验试剂 1. PBSPH7.2
技术资料暂无技术资料 索取技术资料










