相关产品推荐更多 >
万千商家帮你免费找货
0 人在求购买到急需产品
- 详细信息
- 文献和实验
- 技术资料
- 免疫原:
peptide
- 亚型:
IgG1
- 形态:
Liquid
- 保存条件:
-20℃
- 克隆性:
mAb
- 适应物种:
Human
- 保质期:
1年
- 目录编号:
TD-31935
- 级别:
科研级
- 库存:
88
- 供应商:
武汉天德
- 宿主:
Mouse
- 应用范围:
FCM、ELISA、IHC、WB、ICC
- 靶点:
详询
- 抗体英文名:
Mouse Monoclonal Antibody to CD45R
- 抗体名:
CD45R
- 规格:
100ul/50ul
| 规格: | 100ul | 产品价格: | ¥2180.0 |
|---|---|---|---|
| 规格: | 50ul | 产品价格: | ¥1280.0 |
Mouse Monoclonal Antibody to CD45R
Description |
|
| The protein encoded by this gene is a member of the protein tyrosine phosphatase (PTP) family. PTPs are known to be signaling molecules that regulate a variety of cellular processes including cell growth, differentiation, mitosis, and oncogenic transformation. This PTP contains an extracellular domain, a single transmembrane segment and two tandem intracytoplasmic catalytic domains, and thus is classified as a receptor type PTP. This PTP has been shown to be an essential regulator of T- and B-cell antigen receptor signaling. It functions through either direct interaction with components of the antigen receptor complexes, or by activating various Src family kinases required for the antigen receptor signaling. This PTP also suppresses JAK kinases, and thus functions as a regulator of cytokine receptor signaling. Alternatively spliced transcripts variants of this gene, which encode distinct isoforms, have been reported. | |
Specification |
|
| Aliases | PTPRC; LCA; LY5; B220; L-CA; T200; CD45; GP180 |
| Entrez GeneID | 5788 |
| Swissprot | P08575 |
| clone | 2H3E2 |
| WB Predicted band size | 147.5kDa |
| Host/Isotype | Mouse IgG1 |
| Antibody Type | Primary antibody |
| Storage | Store at 4°C short term. Aliquot and store at -20°C long term. Avoid freeze/thaw cycles. |
| Species Reactivity | Human, Mouse, Rat |
| Immunogen | Purified recombinant fragment of human CD45R (AA: extra 378-577) expressed in E. Coli. |
| Formulation | Purified antibody in PBS with 0.05% sodium azide |
Application |
|
| WB | 1/500 - 1/2000 |
| IHC | 1/200-1/1000 |
| ICC | 1/200 - 1/1000 |
| FCM | 1/200-1/400 |
| ELISA | 1/10000 |
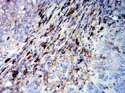
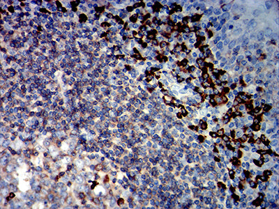
Product Image |
|
|
|
|
|
|
|
|
|
|
风险提示:丁香通仅作为第三方平台,为商家信息发布提供平台空间。用户咨询产品时请注意保护个人信息及财产安全,合理判断,谨慎选购商品,商家和用户对交易行为负责。对于医疗器械类产品,请先查证核实企业经营资质和医疗器械产品注册证情况。
文献和实验附表1),但还有一些重要的Ly抗原尚无相应的CD编号,如Ly- 6A、- 6C、- 6D、- 6E、- 6G,Ly- 49- A、- C、- D、- E、- I,Ly- 51,Ly- 76和Ly- 77等。(三) 某些人和小鼠CD 分子编号相同,但功能有所差别1. B细胞 CD45R/B220(相应mAb为RA3- 6B2)是小鼠全B细胞最常用标记,也表达于活化T细胞、活化NK细胞和NK祖细胞。CD19是B细胞较特异的标记。2. T细胞 小鼠重要的T细胞标记有Thy- 1(CD90)和成熟T
8, CD14, CD19; 小鼠: CD4, CD8a, CD14, CD45R/B220, CD90.2 (Thy1.2), CD11b, Ly-6G. ë 利用Streptavidin连接的磁珠,只需选配biotin标记的所需单抗,就能分离更多种类细胞 新货聚焦: 现在,BD PMG又推出用于分离小鼠造血干细胞/祖细胞的新试剂mouse lineage panel。 其中包括5种biotin标记单抗
与细胞表面相应抗原特异性结合而使细胞被磁珠间接捕获,从而达到分离。这种磁珠使研究者可根据自己需要选择生物素标记的各种单抗去分离目的细胞,应用范围更广泛,使用更灵活。 十、不同物种磁珠分离试剂 1、人CD3,CD4,CD8,CD14,CD19; 2、小鼠CD4,CD8a,CD14,CD45R/B220,CD90.2(Thy1.2),CD11b,Ly-6G。利用Streptavidin连接的磁珠,只需选配biotin标记的所需单抗
技术资料暂无技术资料 索取技术资料









