万千商家帮你免费找货
0 人在求购买到急需产品
- 详细信息
- 文献和实验
- 技术资料
- 形态:
Liquit
- 保存条件:
-20℃
- 克隆性:
单克隆
- 适应物种:
Human,(predicted:Mouse,Rat,)
- 保质期:
1年
- 抗原来源:
peptiede
- 目录编号:
TDCCM-0151
- 级别:
科研级
- 库存:
88
- 供应商:
武汉天德
- 宿主:
鼠
- 浓度:
1mg/ml
- 抗体英文名:
CA125
- 抗体名:
CA125
- 规格:
1ml工作液

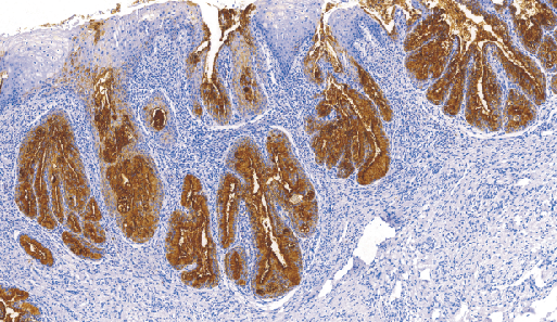
CA125 鼠抗人卵巢癌抗原单克隆抗体
CA125是与卵巢癌细胞相关的膜表面糖蛋白。卵巢、宫颈、子宫内膜、乳腺、胃肠道及甲状腺腺瘤均有表达。几乎所有的卵巢浆液性囊腺瘤阳性,而卵巢粘液性(肠型) 肿瘤阳性率很低,主要用于卵巢癌及其转移癌的研究。
- 货号:TDCCM-0151
- 克隆号:OC125
- 阳性部位:胞质,胞膜
- 适用组织:石蜡切片
- 预处理:热修复
风险提示:丁香通仅作为第三方平台,为商家信息发布提供平台空间。用户咨询产品时请注意保护个人信息及财产安全,合理判断,谨慎选购商品,商家和用户对交易行为负责。对于医疗器械类产品,请先查证核实企业经营资质和医疗器械产品注册证情况。
文献和实验间接法免疫荧光组织化学染色步骤 1.检测抗原法以单层细胞培养标本为例介绍此法的染色步骤: (1)取出细胞贴附生长的小盖片,用预热的PBS冲洗2次; (2)4%多聚甲醛(或冷丙酮)固定5~10分钟,晾干; (3)0.01MPBS(pH 7.4)漂洗3次,每次5分钟。 (4)0.3%Triton X-100孵育,室温20分钟,PBS漂洗2次(细胞膜抗原可省略此步骤); (5)非免疫血清(或15%小牛血清)孵育,室温10分钟; (6)滴加特异性一抗(如小鼠抗
stem cell公司MACS产品主要技术有以下几类:一、EasySep® 磁性正选或负选细胞,不需柱子;二、StemSep® 磁性正负分选,需要柱子;三、RosetteSep® 免疫梯度离心分选,不需磁极,不需柱子;四、SpinSep®负选产品 。以下一一介绍。一、EasySep®磁性正选或负选细胞,不需柱子用于正、负选人或其它种类动物的细胞EasySep® 是一种新型而高效的免疫磁珠细胞分选技术,具有单克隆抗体的特异性和无分离柱磁性系统的简便性。靶细胞表面特异性的抗原抗体反应为富集细胞提供
,以该抗体序列作为改造的基础,所以REAfinity抗体亲和力更高、特异性更好;REAfinity抗体本身背景值低、抗体与荧光素结合的优良工艺,二者保证了抗体的高染色指数。 美天旎 REAfinityTM 重组抗体——为流式而生 什么是REAfinity 抗体? REAfinity 抗体是一种重组基因工程改造抗体,是将传统的小鼠或大鼠杂交瘤来源的单克隆抗体的抗原结合区(Fab)与经过突变的人 IgG1 的恒定区(Fc)进行基因重组而成。 将传统的小鼠或大鼠杂交瘤来源的单克隆抗体的抗原结合区序列
技术资料暂无技术资料 索取技术资料










