相关产品推荐更多 >
万千商家帮你免费找货
0 人在求购买到急需产品
- 详细信息
- 文献和实验
- 技术资料
- 免疫原:
Recombinant human CELA3B protein fragment (around aa 82-238)
- 亚型:
IgG1
- 形态:
Liquid
- 保存条件:
Store as concentrated solution. Centrifuge briefly prior to opening vial. For short-term storage (1-2 weeks), store at 4ºC. For long-term storage, aliquot and store at -20ºC or below. Avoid multiple freeze-thaw cycles.
- 克隆性:
Monoclonal
- 标记物:
Unconjugated
- 保质期:
12 months from the shipping date of the product.
- 抗原来源:
Human
- 目录编号:
GTX04445
- 级别:
Primary Antibodies
- 库存:
Available
- 供应商:
GeneTex
- 宿主:
Mouse
- 应用范围:
IHC-P
- 浓度:
0.2 mg/ml (Please refer to the vial label for the specific concentration.)
- 抗体英文名:
Elastase 3B antibody [MSVA-410M] HistoMAX
- 抗体名:
Elastase 3B 抗体 [MSVA-410M] HistoMAX
- 规格:
500 μl
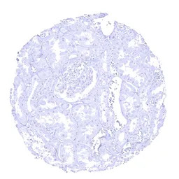
IHC-P analysis of human kidney tissue section using GTX04445 Elastase 3B antibody [MSVA-410M] HistoMAX.
Elastase 3B immunostaining is absent in kidney tissue.
IHC-P analysis of human pancreas tissue section using GTX04445 Elastase 3B antibody [MSVA-410M] HistoMAX.
Normal pancreas with strong Elastase 3B positivity of acinar cells.
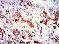
IHC-P analysis of human pancreatic acinar cell carcinoma tissue section using GTX04445 Elastase 3B antibody [MSVA-410M] HistoMAX.
Acinar cell carcinoma of the pancreas exhibiting a strong Elastase 3B immunostaining of all tumor cells.
风险提示:丁香通仅作为第三方平台,为商家信息发布提供平台空间。用户咨询产品时请注意保护个人信息及财产安全,合理判断,谨慎选购商品,商家和用户对交易行为负责。对于医疗器械类产品,请先查证核实企业经营资质和医疗器械产品注册证情况。
文献和实验【资源】全面归类网址:毕赤酵母表达各种来源蛋白(细菌,真菌,植物,人类等)
euphauseraseS, 500 μg/L, α-MF, active358Leech hirudin-albumin fusion proteinS, 15 mg/L, α-MF, active475Lumbricus rubellus serine proteaseS, α-MF, active474Nematode anticoagulant protein c2Active367Nematode elastase inhibitorsS, active390Nippostrongylus
技术资料暂无技术资料 索取技术资料







![Renin antibody [3E2B11C4]](https://img1.dxycdn.com/2022/0328/725/2055941633508700453-14.jpg!wh200)

![TBP antibody [1TBP18]](https://img1.dxycdn.com/2022/0328/584/4603874016458300453-14.jpg!wh200)

