相关产品推荐更多 >
万千商家帮你免费找货
0 人在求购买到急需产品
- 详细信息
- 文献和实验
- 技术资料
- 形态:
Liquit
- 保存条件:
-20℃
- 克隆性:
单克隆
- 适应物种:
Human,(predicted:Mouse,Rat,)
- 保质期:
1年
- 抗原来源:
peptiede
- 目录编号:
TDCCM-1160
- 级别:
科研级
- 库存:
88
- 供应商:
武汉天德
- 宿主:
鼠
- 浓度:
1mg/ml
- 抗体英文名:
CD152/CTLA-4
- 抗体名:
CD152/CTLA-4
- 规格:
1ml工作液

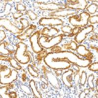
CD152/CTLA-4鼠抗人CD152/CTLA-4单克隆抗体
CTLA-4又被称为CD152,是一种免疫系统的蛋白受体,主要辅助抑制免疫系统对外界刺激的反应。CD152主要表达于T细胞的表面,类似于T细胞协同刺激蛋白(CD28)。CD152基因的突变与很多疾病的发生相关,如胰岛素依赖型糖尿病、脂泻病、格雷夫斯病桥本氏甲状腺炎、全身性红斑狼疮、甲状腺相关眼眶病、原发性胆汁性肝硬化和其他的自身免疫疾病。
- 货号:TDCCM-1160
- 克隆号:BSB88
- 阳性部位:胞质
- 适用组织:石蜡切片
- 预处理:热修复
风险提示:丁香通仅作为第三方平台,为商家信息发布提供平台空间。用户咨询产品时请注意保护个人信息及财产安全,合理判断,谨慎选购商品,商家和用户对交易行为负责。对于医疗器械类产品,请先查证核实企业经营资质和医疗器械产品注册证情况。
文献和实验1. 用途用于病理组织标本的石蜡包埋2. 工作特征2.1 工作电源供应:电压115V/60Hz或230V/50Hz,约800VA2.2 工作环境温度:18℃~35℃2.3 温度控制功能单位 温度范围 独立加热控制 独立温度控制 预热时间石蜡存储库 45~70℃±1℃ + + 4h 模块加热器 35~70℃±1℃ + + 1h 盒式箱 45~70℃±1℃ + + 1.5h 工作区 45~70℃±1℃ + + 1h 冷板 -5℃
CD11a/CD11b/CD11c 分子 CDlla 常用单克隆抗体或代号:MHM24, 2F12; CRIS―3(LFA―lα链,整合素α1) 主要表达细胞:Leu[A5] 分子质量(kDa)和结构:spl80(整合素α) 功 能:与1CAM-l(CD54)、ICAM-2(CDl02)、ICAM-3(C1350)结合,介导细胞黏附;与JAMl结合,参与白细胞穿过内皮细胞
R&D Systems:如何提高MSC的扩增且不损失其分化潜能
- M E M 培养基(Invitrogen,Carlsbad)。将1.25×105量级的hMSCs接种于一个T75长颈瓶,在细胞汇聚之前让细胞生长3至4天。在培养期末,培养于不同条件的hMSCs同时用胰蛋白酶/EDTA溶液收集。对细胞计数,并且用下面的公式计算扩增倍数。重新培养时,将1.25×105量级的hMSCs接种于一个新的T75长颈瓶,并用适当的培养基培养。每次传代后对细胞进行计数。 抗体。藻红蛋白(PE)连接的小鼠抗人CD90和CD105的单克隆抗体(mAbs),PE非连接的山
技术资料暂无技术资料 索取技术资料










