相关产品推荐更多 >
万千商家帮你免费找货
0 人在求购买到急需产品
- 详细信息
- 文献和实验
- 技术资料
- 形态:
Liquit
- 保存条件:
-20℃
- 克隆性:
单克隆
- 适应物种:
Human,(predicted:Mouse,Rat,)
- 保质期:
1年
- 抗原来源:
peptiede
- 目录编号:
TDCPM-0260
- 级别:
科研级
- 库存:
88
- 供应商:
武汉天德
- 宿主:
鼠
- 浓度:
1mg/ml
- 抗体英文名:
PCNA
- 抗体名:
PCNA
- 规格:
1ml工作液

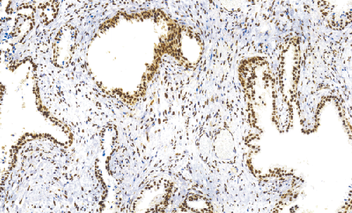
PCNA鼠抗人增殖细胞核抗原单克隆抗体
增殖细胞核抗原(PCNA)是一个分子量为36KD的蛋白,在种属间高度保守。PCNA可作为DNA聚合酶8的辅因子,作用于细胞周期的S期和与DNA损伤修复机制相关的DNA合成。PCNA分子半衰期超过20小时,因此,可以在非周期细胞,如GO期细胞中检测到PCNA。
- 货号:TDCPM-0260
- 克隆号:PC10
- 阳性部位:胞核
- 适用组织:石蜡切片
- 预处理:热修复
风险提示:丁香通仅作为第三方平台,为商家信息发布提供平台空间。用户咨询产品时请注意保护个人信息及财产安全,合理判断,谨慎选购商品,商家和用户对交易行为负责。对于医疗器械类产品,请先查证核实企业经营资质和医疗器械产品注册证情况。
文献和实验上海西唐生物科技有限公司 021-55229872, 65333639 www.westang.com 人增殖细胞核抗原 (PCNA)ELISA 试剂盒 ( 用于血清、血浆、细胞培养上清液和其它生物体液内 ) 原理 本实验采用双抗体夹心 ABC-ELISA 法。用抗人 PCNA 单抗包被于酶标板上,标准品和样品中的 PCNA与单抗结合,加入生物素化的抗人 PCNA ,形成免疫
上海西唐生物科技有限公司 021-55229872, 65333639 www.westang.com 小鼠增殖细胞核抗原 (PCNA)ELISA 试剂盒 ( 用于血清、血浆、细胞培养上清液和其它生物体液内 ) 原理 本实验采用双抗体夹心 ABC-ELISA 法。用抗小鼠 PCNA 单抗包被于酶标板上,标准品和样品中的 PCNA与单抗结合,加入生物素化的抗小鼠
上海西唐生物科技有限公司 021-55229872, 65333639 www.westang.com 大鼠增殖细胞核抗原 (PCNA)ELISA 试剂盒 ( 用于血清、血浆、细胞培养上清液和其它生物体液内 ) 原理 本实验采用双抗体夹心 ABC-ELISA 法。用抗大鼠 PCNA 单抗包被于酶标板上,标准品和样品中的 PCNA 与单抗结合,加入生物素化的抗大鼠 PCNA ,形成免疫复合物连接在板上
技术资料暂无技术资料 索取技术资料










